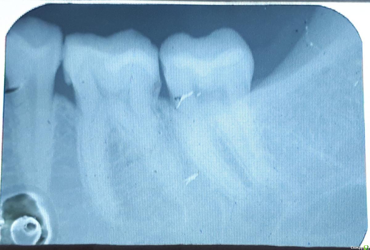
Яковлева Ксения Опубликовано 28 июля, 2019 Поделиться Опубликовано 28 июля, 2019 (изменено) Здравствуйте, уважаемые врачи! 3 недели назад мне запломбировали глубокий кариес в 6 и 7 нижних зубах с правой стороны. До этого эти зубы не беспокоили и не болели. И вот уже 3 недели меня беспокоют ноющие боли. Болит как в течение дня, так и вечером. Когда ем, то твердую пищу больно пережевывать этой стороной, Но болит терпимо. Стоматолог, который пломбировал, считает что так реагирует именно 7 зуб. Он также чувствителен на холодную пищу, на горячее не реагирует. Пломбу уже дважды подпиливали по прикусу, покрывали специальным составом для снижения чувствительности. Я также принимала нимесил в течение 5 дней по рекомендации врача для снижения боли и чистила зубы Сендодином. По рентгену стоматолог сказал, что все хорошо, но если будет и дальше так зуб беспокоить, то стоит его депульпировать (рентген прилагаю). 27.07.2019 я пошла в частную поликлинику, где мне сделали прицельную компьютерную томографию, которая показала, что пломбы как бы не плотно прилегают к зубу. Стоматолог в частной клинике предложил перелечить пломбы. После приема вечером правая сторона разболелась сама по себе, отдавая то в верхнюю челюсть, то под нижнюю челюсть, то в область уха. Болел где-то с 23:30 до 01:30 ночи. Имеет ли смысл перелечивать пломбы на причинных зубах или это пульпит и стоит просто депульпировать 7 зуб? И если перелечивать, не рассверлят ли мне еще глубже полости когда будут снимать пломбы и не приведет ли это к пульпиту? Буду очень признательна вам за консультацию. Фотографии проекций КТ прилагаю. Стрелочками карандашом показаны проблемные места на зубах. Изменено 28 июля, 2019 пользователем Яковлева Ксения Ссылка на комментарий
___49___ Опубликовано 28 июля, 2019 Поделиться Опубликовано 28 июля, 2019 Здравствуйте. Качество фото оставляет желать лучшего. Исходя из клиники , что вы описали Вам желательно провести несколько дополнительных клинических исследований , на основании которых можно будет установить более точный диагноз и соответственно выбрать лечение....с лечением затягивать не советую. Ссылка на комментарий
Яковлева Ксения Опубликовано 28 июля, 2019 Автор Поделиться Опубликовано 28 июля, 2019 (изменено) Здравствуйте. Качество фото оставляет желать лучшего. Исходя из клиники , что вы описали Вам желательно провести несколько дополнительных клинических исследований , на основании которых можно будет установить более точный диагноз и соответственно выбрать лечение....с лечением затягивать не советую. Здравствуйте! А о каких конкретно дополнительных исследованиях идет речь? Мне уже сделали ренгтен и компьютерную томографию. После этого предложили в 1-ой клинике депульпировать, во 2-ой перепломбировать. В понедельник записалась в клинику, где предложили перепломбировать, потому что терять зуб не хочу. Попробую перезалить фотографии P.S. Почему-то фото с КТ загружается только вверх-ногами. Несколько раз перезаливала. Все равно так. Прошу прощения за неудобство Изменено 28 июля, 2019 пользователем Яковлева Ксения Ссылка на комментарий
red_butler Опубликовано 30 июля, 2019 Поделиться Опубликовано 30 июля, 2019 А о каких конкретно дополнительных исследованиях идет речь? Термометрия хладагентом и возможно ЭОД Ссылка на комментарий
Яковлева Ксения Опубликовано 30 июля, 2019 Автор Поделиться Опубликовано 30 июля, 2019 Термометрия хладагентом и возможно ЭОД Была вчера в клинике. Делали термометрию. И простукивали оба зуба. Реагирует на холодное. Но не сильно. У меня смазанные ощущения были. Когда вот подули воздухом, 7 зуб дернул. Врач решил, что все-таки пульпит в 7 зубе и подозрение, что в 6. Его больше волнует, что зуб сам по себе болит и боль иррадирует. ЭОД не делали. Видимо придется депульпировать((((( Ссылка на комментарий
red_butler Опубликовано 30 июля, 2019 Поделиться Опубликовано 30 июля, 2019 Термометрию нужно проводить сверхнизкими температурами, около - 40’. Просто подуть не достаточно Ссылка на комментарий
Яковлева Ксения Опубликовано 30 июля, 2019 Автор Поделиться Опубликовано 30 июля, 2019 (изменено) Термометрию нужно проводить сверхнизкими температурами, около - 40’. Просто подуть не достаточноНет, такое не делали. Нанесли какой-то холодный состав на кусочек ваты и прикладывали к зубам, чтобы определить реакцию. То есть это может быть еще и не пульпит? Изменено 30 июля, 2019 пользователем Яковлева Ксения Ссылка на комментарий
St. Опубликовано 30 июля, 2019 Поделиться Опубликовано 30 июля, 2019 Нанесли какой-то холодный состав на кусочек ваты и прикладывали к зубам, чтобы определить реакцию. Да это именно та проба о которой писали выше (с холодом -40) 1 Ссылка на комментарий
Яковлева Ксения Опубликовано 31 июля, 2019 Автор Поделиться Опубликовано 31 июля, 2019 (изменено) Да это именно та проба о которой писали выше (с холодом -40) Тогда картина была неоднозначной. Но по другим признакам и по жалобам (длительные самопроизвольные боли, боли во время еды и реакция на холодную пищу) стоматолог предположил пульпит? А если не пульпит, что еще может такую боль давать? Прием у меня следующий только через 2 недели. Это ничего, что буду так долго ходить? Зуб ноет Изменено 31 июля, 2019 пользователем Яковлева Ксения Ссылка на комментарий
St. Опубликовано 31 июля, 2019 Поделиться Опубликовано 31 июля, 2019 Имеет ли смысл перелечивать пломбы на причинных зубах или это пульпит и стоит просто депульпировать 7 зуб? судя по вашему описанию это пульпит 1 Ссылка на комментарий
red_butler Опубликовано 31 июля, 2019 Поделиться Опубликовано 31 июля, 2019 Прием у меня следующий только через 2 недели. Это ничего, что буду так долго ходить? Зуб ноет я бы 2 недели не ждал... 1 Ссылка на комментарий
Яковлева Ксения Опубликовано 31 июля, 2019 Автор Поделиться Опубликовано 31 июля, 2019 судя по вашему описанию это пульпит А есть ли вероятность сохранить зуб живым? Такое бывает? Или уже все - казнить, нельзя помиловать((((( Ссылка на комментарий
red_butler Опубликовано 31 июля, 2019 Поделиться Опубликовано 31 июля, 2019 А есть ли вероятность сохранить зуб живым? Такое бывает? Или уже все - казнить, нельзя помиловать(((((судя по клинической картине - нельзя, но не забывайте что по интернету диагнозы не ставят 1 Ссылка на комментарий
Рекомендуемые сообщения
Для публикации сообщений создайте учётную запись или авторизуйтесь
Вы должны быть пользователем, чтобы оставить комментарий
Создать аккаунт
Зарегистрируйте новый аккаунт в нашем сообществе. Это очень просто!
Регистрация нового пользователяВойти
Уже есть аккаунт? Войти в систему.
Войти