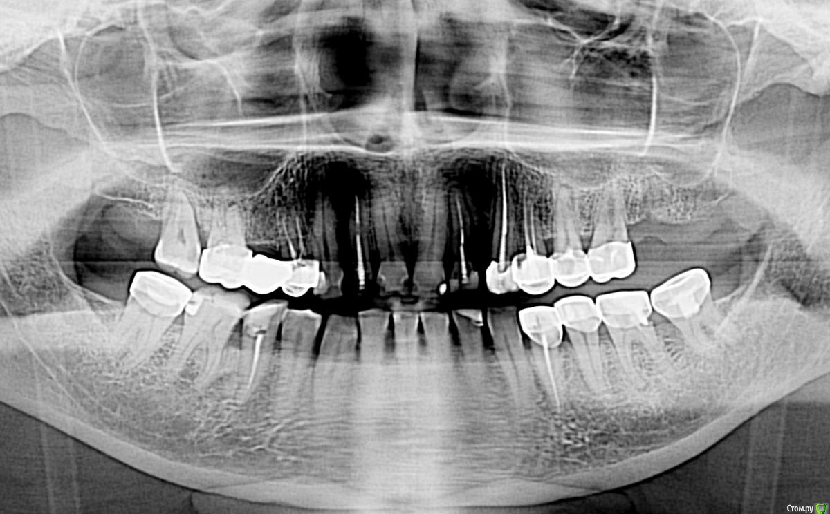
НАТА1976 Опубликовано 26 июля, 2019 Поделиться Опубликовано 26 июля, 2019 Здравствуйте,Поскольку уже второй год мне проводят лечение пародонтоза, но улучшения не наступают. Беспокоят: кровоточивость,припухлость десен, болезненные ощущения и чувство дискомфорта при нажатии в районе носо-губной складки справа. Самостоятельно приняла решение сделать панорамный снимок, но мой лечащий доктор сказал, что такие снимки не читает. И предлагает после окончания курса лечения пародонтоза ставить коронки. В частной клинике, где сделала снимок, утверждают, что нужна операция. Ситуация осложняется тем, что проживая в сельской местности, не имею возможности получить консультацию других специалистов очно. Помогите пожалуйста разобраться в ситуацииЕсть ли кисты на снимке?Нужна ли операция? или удаление зубов?Кто из специалистов занимается такими заболеваниями хирург- стоматолог или это уже челюстно лицевая хирургия? Можно ли подобные манипуляции делать в условиях частной стоматологии? Или лучше попытаться получить направление в краевую больницу. Ссылка на комментарий
hogsmeed Опубликовано 26 июля, 2019 Поделиться Опубликовано 26 июля, 2019 мой лечащий доктор сказал, что такие снимки не читает. это как? У вас стоят штампованные коронки, лечить десну с такими коронками в большинстве случаев тщетно.Нужна обычная санация полости рта. Ссылка на комментарий
НАТА1976 Опубликовано 26 июля, 2019 Автор Поделиться Опубликовано 26 июля, 2019 это как? У вас стоят штампованные коронки, лечить десну с такими коронками в большинстве случаев тщетно.Нужна обычная санация полости рта.Нет оборудования, что-бы диск посмотреть..а на бумажном носителе сказал,что нечитаемо. Ссылка на комментарий
hogsmeed Опубликовано 26 июля, 2019 Поделиться Опубликовано 26 июля, 2019 Ну да на бумаге не видно Ссылка на комментарий
dentikl Опубликовано 26 июля, 2019 Поделиться Опубликовано 26 июля, 2019 мне проводят лечение пародонтоза, но улучшения не наступают. разрешите врачам снять штамповки.И "парадантозу" сразу наступит улучшение Ссылка на комментарий
сирена Опубликовано 26 июля, 2019 Поделиться Опубликовано 26 июля, 2019 (изменено) Есть киста в области 12 зуба(в переднем отделе справа),если Ваш врач этого не видит и собирается покрыть этот зуб коронкой,это очень печально.Езжайте в город и получите там консультацию нормального врача(стоматолога-хирурга).Слева тоже есть какой то очаг между передними зубами,надо уточнить прицельным снимком или компьютерной томографией. Изменено 26 июля, 2019 пользователем сирена Ссылка на комментарий
Рекомендуемые сообщения
Для публикации сообщений создайте учётную запись или авторизуйтесь
Вы должны быть пользователем, чтобы оставить комментарий
Создать аккаунт
Зарегистрируйте новый аккаунт в нашем сообществе. Это очень просто!
Регистрация нового пользователяВойти
Уже есть аккаунт? Войти в систему.
Войти