Talita Опубликовано 23 июля, 2019 Поделиться Опубликовано 23 июля, 2019 (изменено) Здравствуйте! Возникла срочная необходимость до конца этой недели принять решение по имплантации всей верхней челюсти. Ситуация катастрофическая - отвалились оба моста, перекрывавшие ВЧ полностью, причем вместе с частью опорных зубов и вкладок, все висит на темп бонде и отваливается через день (так жить нельзя!). КТ тут https://yadi.sk/d/9eHIVzE2dBCxLAА 7 августа мне уезжать в отпуск - с зубами или без них (но хотелось бы хоть с какими-то зубами))Посетила несколько имплантологов с намерением на этой же неделе сделать операцию. Предлагались разные варианты - но сложность заключается в том, что, во-первых,сейчас у меня есть только 300 000 р. (и кредит брать - не вариант, разве что - рассрочку в той же клинике), а во-вторых, для меня невыносима перспектива носить 6-8 месяцев съемный протез (мне важна хорошая дикция и невыносимо тошнит при одном воспоминании о ношении пластинки для исправления прикуса, хотя с тех пор прошло уже 35 лет... в общем, перекрытие нёба недопустимо).В общем, наиболее приемлемым представляется вариант поставить "Всё на 4 или 6" с временным протезом, а потом подкопить ещё на несколько имплантов и сделать нечто, приближенное к классике. Или сразу закладываться на классику (6-8 имплантов), но пытаться найти временный протез, не перекрывающий нёбо.В связи с этим - прошу экспертной оценки:- возможно ли поставить "All on 4 / All on 6" (по сути - съемный бюгельный протез, привинченный на импланты), а потом переделать его, поставив мост, в котором будут зубы с приемлемой эстетикой?- есть ли альтернативы при установке 6-8 имплантов "по классике" съемному протезу с перекрытием нёба? Возможно ли на те же импланты поставить временный протез типа All on 4 ? (даже если им особо нельзя будет жевать,перебьюсь полгода на кефире))Есть ли принципиальная разница при All on 4 между Нобелем и корейцами-израильтянами? Понятно, что у дилеров Нобеля ответ предсказуем, но надеюсь, что на форуме есть профессионалы и с другим опытом. (разница по ценам - колоссальная, на Нобеле - от 300 т.р. по акции, на Osstem - 150 т.р. по базовой стоимости)Прошу совета!(да, я пациентка-идиотка, прошу строго не судить, я в истерике и ступоре от внезапной беззубости... предыдущая конструкция стоила кучу денег, простояла всего 9 лет - подозреваю из-за того, что протезистка решила зачем-то депульпировать все зубы под коронками) - просто достало слушать, что нищебродам, не накопившим миллион-полтора на импланты, надо ставить съемники и не выёживаться... Всё же надеюсь, что есть и другое решение, позволяющее сделать более-менее нормальные зубы при оплате за первый этап не более 300 т.р. и последующих выплатах не более 100 т.р. в месяц (и без съемника типа Акри-фри почти на год невыносимой жизни). Изменено 23 июля, 2019 пользователем Talita Ссылка на комментарий
колесников Опубликовано 23 июля, 2019 Поделиться Опубликовано 23 июля, 2019 Все на 4 иначе уже не переделать. Все на 6 вполне себе конструкция,зачем ее переделывать не совсем понял. Кт не смотрел,но сделать все на 6 на корейцах и с нагрузкой думаю вполне под ваш бюджет Ссылка на комментарий
Bier Опубликовано 24 июля, 2019 Поделиться Опубликовано 24 июля, 2019 Вы не совсем верно понимаете, при все на 4х протез прикручен к имплантатам, но нёбо открыто (то, что и вызывает дискомфорт). Переделать уже не получится т.к. в большинстве случаев проводится редукция кости значительная по этой методике.Все на 6 это уже полноценная конструкция переделывать ее не нужно. Можно сделать на любых имплантатах, просто на нобеле удобнее, ну и не у всех систем есть длинные имплантаты, которые иногда нужны для allon4 (18-22мм), например, у корейских систем максимальный - 13-14мм. В целом я вам рекомендую не гнать лошадей, а сделать все в спокойном режиме после отпуска. 3 Ссылка на комментарий
Talita Опубликовано 24 июля, 2019 Автор Поделиться Опубликовано 24 июля, 2019 Вы не совсем верно понимаете, при все на 4х протез прикручен к имплантатам, но нёбо открыто (то, что и вызывает дискомфорт). Переделать уже не получится т.к. в большинстве случаев проводится редукция кости значительная по этой методике.Все на 6 это уже полноценная конструкция переделывать ее не нужно. Можно сделать на любых имплантатах, просто на нобеле удобнее, ну и не у всех систем есть длинные имплантаты, которые иногда нужны для allon4 (18-22мм), например, у корейских систем максимальный - 13-14мм. В целом я вам рекомендую не гнать лошадей, а сделать все в спокойном режиме после отпуска.Я была бы рада "не гнать лошадей", но мост из 10 зубов на двух опорных (один из которых уже шатается) месяц не протянет (а я уезжаю почти на месяц) - и велик риск оказаться в отпуске без зубов вообще((Про "All on 4" я, разумеется, понимаю, что он не перекрывает нёбо и т.д. - сложность в том, что эстетика выходит сомнительная, полгода потерпеть можно, но потом хотелось бы поставить что-то без перекрытия десны (или - с минимальным её перекрытием). Но спасибо, что внесли ясность насчет того, что переделать не получится.... так что 4 отпадает, только на 6-ти. Хотя имплантолог, у которого я побывала сегодня, вообще не берётся одномоментную делать - из-за пародонтита, воспалений вокруг корней и прочих факторов риска типа многолетнего курения в анамнезе... при этом он показался мне самым честным и добросовестным из всех, с кем я за эти дни пообщалась (и единственным, кто тщательно изучил многострадальную челюсть, не ограничившись просмотром снимков и КТ - тех, кто не заглядывая в рот, обещает всё поставить за 1 день без проблем наилучшим образом, я как-то опасаюсь)). Так что в результате - пытаюсь смириться с мыслью о 8 месяцах мучений со съемным протезом (ортопед предлагает иммедиат-протез на временно оставленных двух крайних зубах с приклеиванием на Корегу и возможностью через месяц-полтора перебазировать его под временные мини-импланты - что думаете о таком варианте?). Или всё же стоит рискнуть на "All on 6"? Я в замешательстве: хочется решить проблему сразу, но страшно нарваться в результате на ещё бОльшие проблемы... Ссылка на комментарий
колесников Опубликовано 24 июля, 2019 Поделиться Опубликовано 24 июля, 2019 (изменено) После удаления зубов и глухого ушивания,добиться розовой эстетики будет очень сложно. Проще сохранить то что сейчас есть (объём и уровень десны)благодаря оставшимся корням. Съёмный протез только ухудшит ситуацию.Пародонтит,периапекальная резорбция,курение-затруднят заживление вне зависимости от того будет ли это просто удаление или удаление с имплантацией,а также будет ли это имплантация с ушиваетесь или с нагрузкой. В случае с нагрузкой,однако,заживает быстрее . Нет зубов-нет пародонтита. После удаления зуба и препарирования ложа под имплант ,будут удалены периапикальные очаги. Вот курение гораздо хуже. Придется воздержаться.я за немедленную нагрузку Изменено 24 июля, 2019 пользователем колесников 1 Ссылка на комментарий
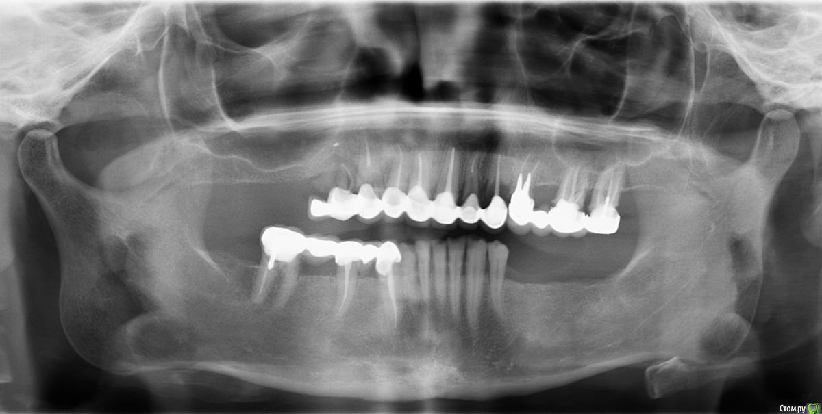
Bier Опубликовано 24 июля, 2019 Поделиться Опубликовано 24 июля, 2019 дальнейшее обсуждение без снимков будет закрыто. 1 Ссылка на комментарий
Talita Опубликовано 24 июля, 2019 Автор Поделиться Опубликовано 24 июля, 2019 дальнейшее обсуждение без снимков будет закрыто.Я выложила в первом сообщении ссылку на архив с КТ ( “DICOM” там нет). Панорамный снимок прикрепляю. Ссылка на комментарий
Talita Опубликовано 24 июля, 2019 Автор Поделиться Опубликовано 24 июля, 2019 (изменено) После удаления зубов и глухого ушивания,добиться розовой эстетики будет очень сложно. Проще сохранить то что сейчас есть (объём и уровень десны)благодаря оставшимся корням. Съёмный протез только ухудшит ситуацию.Пародонтит,периапекальная резорбция,курение-затруднят заживление вне зависимости от того будет ли это просто удаление или удаление с имплантацией,а также будет ли это имплантация с ушиваетесь или с нагрузкой. В случае с нагрузкой,однако,заживает быстрее .Нет зубов-нет пародонтита. После удаления зуба и препарирования ложа под имплант ,будут удалены периапикальные очаги. Вот курение гораздо хуже. Придется воздержаться.я за немедленную нагрузкуДа понятно, что от курения воздержусь, тем более, что в отпуске это по-любому легче. И идея немедленной нагрузки мне по понятным причинам нравится больше самоистязания съемным протезом - но пугает, во-первых, перспектива довести эти инфекционные очаги до флегмоны какой-нибудь, а во-вторых (что реальнее, но печальнее) - перспектива того, что импланты не интегрируются, и месяца через 2, когда первичная фиксация иссякнет, всё просто повываливается (но денег срочно с этим что-то сделать уже не будет - за месяц после отпуска мне больше 100-120 тыс. не заработать). Тут, конечно, можно требовать переделать по гарантии (но если не повезет с доктором, то никакие гарантии не сработают) Изменено 24 июля, 2019 пользователем Talita Ссылка на комментарий
hogsmeed Опубликовано 24 июля, 2019 Поделиться Опубликовано 24 июля, 2019 В условиях цейтнота я бы вам с 13 по 27 зуб закрыл времяшками (под этим временным единым мостом удаляется 22 23 как самые срочные)В области 14 15 16 имплантация с пластикой и синусом если вы только на самолете не летите, либо вообще пока только 14 15.А потооооооом..... спокойненько решается все остальное. И мне кажется редукция под все на 4 здесь будет не большая, хотя у меня с ними мало опыта 2 Ссылка на комментарий
Bier Опубликовано 24 июля, 2019 Поделиться Опубликовано 24 июля, 2019 надо сделать времяшки и ехать в отпуск. Ну на щадящей диете посидите. Потом уже имплантация. Тут можно обойтись без удаления всех зубов либо, если удалить все, то делать природоподобную конструкцию без исскуственной десны (скорее всего) 1 Ссылка на комментарий
Talita Опубликовано 24 июля, 2019 Автор Поделиться Опубликовано 24 июля, 2019 Да, наверное, в такой спешке лучше не заниматься таким серьезным вопросом, как имплантация...тем более, что на самолете буду летать не единожды.Но прошу уточнить: "времяшки" - это временный пластиковый мост или съемный протез? Мост, боюсь, цеплять особо не на что: из того, что хоть как-то годится под временные опоры, остались зубы слева под отдельным мостом (24,26,27?) и резец 21 - остальные сломаны практически под корень, вкладки и штифты повылетали. Или всё же возможно на эти останки что-то на месяц прицепить? Я, если честно, уже не верю, что из этих зубов что-то удастся сохранить (потому что все доктора, кто видел их в реале, однозначно за удаление). Но надеюсь сделать "природоподобную конструкцию без искусственной десны", и хотелось бы ее сделать одномоментно...И спасибо вам за ответы - а то я что-то совсем запаниковала, теперь хоть слегка успокоилась) Ссылка на комментарий
Bier Опубликовано 24 июля, 2019 Поделиться Опубликовано 24 июля, 2019 пластиковый мост можно сделать Ссылка на комментарий
red_butler Опубликовано 25 июля, 2019 Поделиться Опубликовано 25 июля, 2019 тоже кажется часть зубов можно сохранить Ссылка на комментарий
Talita Опубликовано 25 июля, 2019 Автор Поделиться Опубликовано 25 июля, 2019 (изменено) тоже кажется часть зубов можно сохранитьХотелось бы верить. Завтра пойду к имплантологу и ортопеду обсуждать, могут ли сделать пластиковый мост, обязательно ещё раз поинтересуюсь. Тем более, что запланировано слегка ощупать все обломки, чтобы понять, насколько размягчился дентин Изменено 25 июля, 2019 пользователем Talita Ссылка на комментарий
red_butler Опубликовано 21 октября, 2019 Поделиться Опубликовано 21 октября, 2019 Тему можно закрывать? Ссылка на комментарий
Рекомендуемые сообщения
Для публикации сообщений создайте учётную запись или авторизуйтесь
Вы должны быть пользователем, чтобы оставить комментарий
Создать аккаунт
Зарегистрируйте новый аккаунт в нашем сообществе. Это очень просто!
Регистрация нового пользователяВойти
Уже есть аккаунт? Войти в систему.
Войти