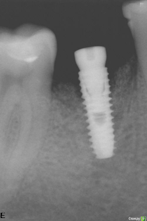
Kirill85 Опубликовано 22 июля, 2019 Поделиться Опубликовано 22 июля, 2019 Добрый день. Ситуация такая, установили имплант и во время приживления имплант оголился. Сейчас установили формировать десны, но десна не наростала и была видна резьба имплант. Сделали пластику десны, после снятия швов десна снова сползла и опять оголяется резьба имплант. Есть ли смысл устанавливать корону на такой имплант или нужно все переделывать? Ссылка на комментарий
Kirill85 Опубликовано 22 июля, 2019 Автор Поделиться Опубликовано 22 июля, 2019 Вот фото и снимок Ссылка на комментарий
red_butler Опубликовано 22 июля, 2019 Поделиться Опубликовано 22 июля, 2019 Удалять 3 Ссылка на комментарий
chervoncevdaniil Опубликовано 22 июля, 2019 Поделиться Опубликовано 22 июля, 2019 Удалять+1 Ссылка на комментарий
red_butler Опубликовано 25 июля, 2019 Поделиться Опубликовано 25 июля, 2019 тему можно закрывать? Ссылка на комментарий
Рекомендуемые сообщения
Для публикации сообщений создайте учётную запись или авторизуйтесь
Вы должны быть пользователем, чтобы оставить комментарий
Создать аккаунт
Зарегистрируйте новый аккаунт в нашем сообществе. Это очень просто!
Регистрация нового пользователяВойти
Уже есть аккаунт? Войти в систему.
Войти