kuznetsovaev Опубликовано 19 июля, 2019 Поделиться Опубликовано 19 июля, 2019 Здравствуйте, какое исследование мне сделать чтобы сюда выложить результаты , подскажите пожалуйста. И вообще к какому врачу идти. Сегодня утром проснулась с болью справа, как будто 8 нижний зуб болит, но его давно удалили. Боли в покое нет, а при жевании даже сыра болит. Если жевать слева, не сильно открывая рот и не откусывать, то болит меньше. Жевать справа просто невозможно. В 2017г поставили мне вместо 6 и 7 нижних зубов справа импланты с пересадкой кости, а также 6 и 7 верх лево с предварительным синус-лифтингом. Может болеть имплант или что-то там за это время не хорошее образовалось... Ссылка на комментарий
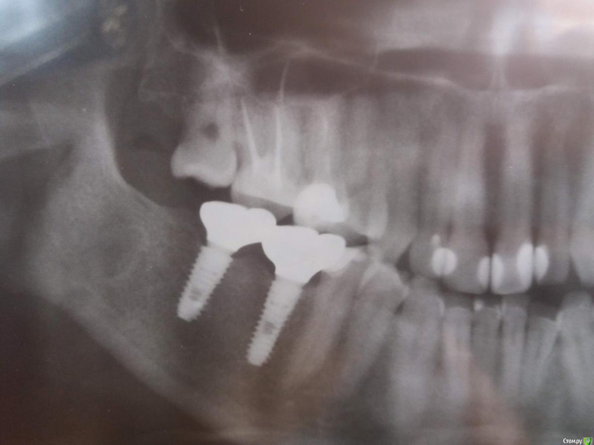
kuznetsovaev Опубликовано 19 июля, 2019 Автор Поделиться Опубликовано 19 июля, 2019 Хирург говорит пейте найз. Даже на снимок не направил. Сделала ОПТГ сама. Посмотрите пожалуйста. Ссылка на комментарий
kuznetsovaev Опубликовано 19 июля, 2019 Автор Поделиться Опубликовано 19 июля, 2019 Не могу добавить еще фото, мало места на форуме. Ссылка на комментарий
kuznetsovaev Опубликовано 19 июля, 2019 Автор Поделиться Опубликовано 19 июля, 2019 Это левая сторона Ссылка на комментарий
red_butler Опубликовано 19 июля, 2019 Поделиться Опубликовано 19 июля, 2019 Нужно исключить дисфункцию височно нижнечелюстного сустава, обратитесь к ортопеду гнатологу 1 Ссылка на комментарий
Рекомендуемые сообщения
Для публикации сообщений создайте учётную запись или авторизуйтесь
Вы должны быть пользователем, чтобы оставить комментарий
Создать аккаунт
Зарегистрируйте новый аккаунт в нашем сообществе. Это очень просто!
Регистрация нового пользователяВойти
Уже есть аккаунт? Войти в систему.
Войти