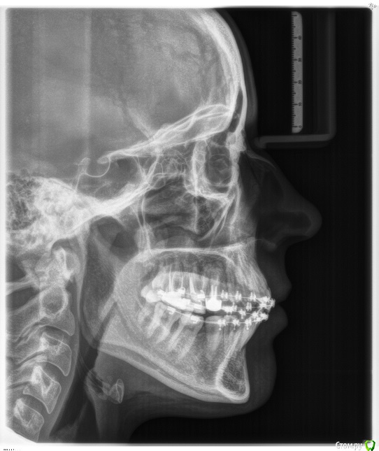
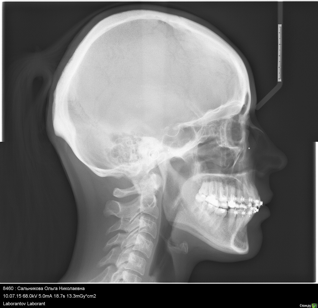
on1976 Опубликовано 18 июля, 2019 Поделиться Опубликовано 18 июля, 2019 (изменено) Добрый день!У меня огромная проблема,Я попала в чудовищную ситуацию в лечении зубов брекетами и вот это длится уже 4 года.По итогу на сегодняшний день, у меня проблемы со здоровьем, депрессия, очень изменилось лицо и прочие последствия.Случайно наткнулась на статьи о "ALF ортодонтия" и прочла об основателе ортокраниодонтии и данного метода в России Алексее Олеговиче Савинове, Skip, но найти информацию и записаться на приём я нигде не могу. А мне важно его мнение по моей ситуации. Сил моих уже больше нет лечиться поскольку улучшений нет. Помогите найти координаты и записаться на приём Савинову.Я прикрепляю файлы ренгена. Может кто выразит своё мнение. (приложенные сними на начальном этапе лечения, сейчас изменения есть, но общая картина изменилась в худшую сторону.)Ортокраниодонтия как последняя надежда! Буду благодарна если получу от вас обратную связьмой тел 89272818180e-mail: on1976@yandex.ru С уважением Сальникова Ольга. Изменено 18 июля, 2019 пользователем on1976 Ссылка на комментарий
АнтонТЛТ Опубликовано 18 июля, 2019 Поделиться Опубликовано 18 июля, 2019 Skip на форуме, иногда появляется Ссылка на комментарий
red_butler Опубликовано 20 июля, 2019 Поделиться Опубликовано 20 июля, 2019 http://forum.stom.ru/user/131-skip/Напишите в личку Ссылка на комментарий
Force Опубликовано 20 июля, 2019 Поделиться Опубликовано 20 июля, 2019 Ортокраниодонтия - это альтернативная ортодонтия, то есть по факту - те же возможности, но другими методиками. В вашем случае прямые показания к ортогнатической хирургии. В Астрахани есть хороший ортодонт - пишите в личку Ссылка на комментарий
on1976 Опубликовано 23 июля, 2019 Автор Поделиться Опубликовано 23 июля, 2019 Спасибо. Написала, но тишина. Может знаете другой способ связи (телефон например)? Ссылка на комментарий
on1976 Опубликовано 23 июля, 2019 Автор Поделиться Опубликовано 23 июля, 2019 Ортокраниодонтия - это альтернативная ортодонтия, то есть по факту - те же возможности, но другими методиками. В вашем случае прямые показания к ортогнатической хирургии. В Астрахани есть хороший ортодонт - пишите в личкуТак -то оно так, но в течении 4 лет ношения брекетов, положение стало меняться, и я задумалась о возможности решения альтернативным способом, перекос верхней части стал меньше. Возможно это можно решить ALF капой? Ссылка на комментарий
Дмитрий Л. Опубликовано 1 августа, 2019 Поделиться Опубликовано 1 августа, 2019 Абсолютно симметричного лица не бывает. За 4 года лицо меняется у всех людей. Скажите "стоп", сделайте паузу, абстрагируйтесь на месяцок. По крайней мере жалоб кроме кривого карандаша я не прочёл. Попробуйте поменять карандаш на розу. Там стебель податливый, перекос не будет заметен.А если серьёзно, то улыбка у вас красивая. Ссылка на комментарий
Рекомендуемые сообщения
Для публикации сообщений создайте учётную запись или авторизуйтесь
Вы должны быть пользователем, чтобы оставить комментарий
Создать аккаунт
Зарегистрируйте новый аккаунт в нашем сообществе. Это очень просто!
Регистрация нового пользователяВойти
Уже есть аккаунт? Войти в систему.
Войти