Перейти к содержанию
Стоматология для всех

Повторное лечение каналов


Zubik14

Рекомендуемые сообщения

Здравствуйте!

 

Зуб 14 депульпирован два месяца назад. Месяц назад установлена постоянная пломба. До сих пор беспокоит: боль при накусывании (сильно проявляется при попадании на зуб твердой пищи), боль при постукивании или при легком касании языком или зубной щеткой, кратковременная боль при проведении зубной нитью между 14 и 15 зубом (то же самое ощущение было еще задолго до удаления нерва). 

Десна над этим зубом постоянно болит (ощущаю этот дискомфорт даже когда умываю лицо и слегка дотрагиваюсь до этой области). 

 

Обращалась к нескольким специалистам, порекомендовали подождать еще 3-4 месяца. Но пугает, что пока не наблюдаю никакого улучшения.

 

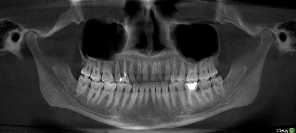
Прикрепляю не очень удачные скриншоты из КТ, которая была сделана через 4 дня после пломбировки каналов. К сожалению, других снимков на руках нет, только КТ. 

 

Посоветуйте, пожалуйста, что можно предпринять в данной ситуации, чтобы избавиться от болей, но сохранить зуб? Есть ли смысл повторно пролечить каналы? Или показаться пародонтологу, так как беспокоит десна? Не похожи ли симптомы на трещину зуба?

Расставаться с зубом крайне не хочется, ведь еще совсем недавно на нем не было ни одной пломбы и он даже не беспокоил. Тем более уже есть кандидат на удаление - 36 зуб (депульпирован лет 7 назад, теперь кариес корня).

 

Огромное спасибо. 

post-58215-0-93459700-1563461560_thumb.jpg

post-58215-0-74686000-1563461568_thumb.jpg

post-58215-0-40814600-1563461576_thumb.jpg

post-58215-0-92104400-1563461580_thumb.jpg

Изменено пользователем Zubik14
Ссылка на комментарий

 

 

Обращалась к нескольким специалистам, порекомендовали подождать еще 3-4 месяца

Поддерживаю. По снимку все выглядит хорошо. 

Ссылка на комментарий
  • 3 месяца спустя...

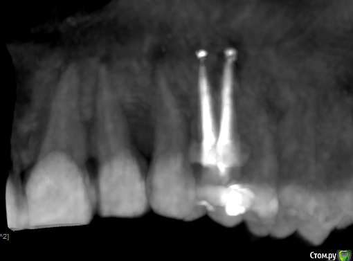
Добрый день! Прошло полгода с момента депульпирования, но ситуация не изменилась.

Неделю назад сделала КТ, по итогам которой на соседнем 15 зубе обнаружен кариес - сразу же его залечили. По 14 зубу ничего не сказали. 

Спустя несколько дней после лечения возникла сильная боль во всей правой челюсти. Дома попыталась рассмотреть КТ - кажется, что с зубом 14 все плохо.

 

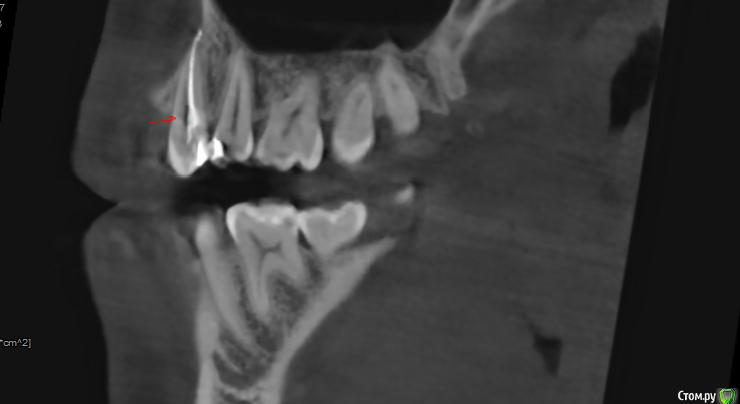
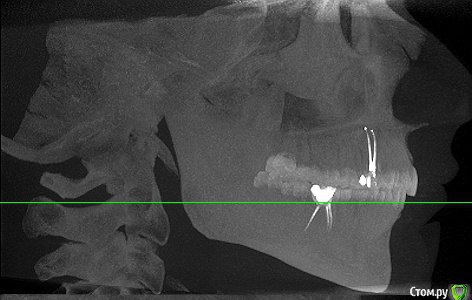
Прикрепляю скриншоты КТ. Подскажите, пожалуйста, что это может быть под красной стрелкой на снимках 2 и 3? 

 

Очень надеюсь на ответ. 

post-58215-0-07795200-1573918584_thumb.png

post-58215-0-06349000-1573918592_thumb.png

post-58215-0-59155600-1573918890_thumb.png

Ссылка на комментарий

Рентген - это дополнительный метод исследования и диагностики. Поэтому только на основании снимка и субъективных ощущений пациента невозможно поставить диагноз и дать полный правильный ответ. Мне было бы важно также посмотреть состояние соседних зубов, особенно зуба 1.5 (перкуссия, подвижность, состояние тканей пародонта, витальность, патологическая стираемость, температурные пробы...). Делать упор только на леченный 1.4 зуб неправильно. Хотя допускаю, что и он может быть причиной всех болезненных ощущений (например трещина в корне, вывод материала, перфорация боковой стенки, близость гайморовой пазухи, лор статус, неврологический статус.... Да чего только не может быть). 

КТ также необходимо внимательно рассматривать полностью, а не отдельные "срезы".

Иногда причиной болей может быть локальный пародонтит. Например между зубами 1.4 и 1.5 (как Вы и писали в начале топика). Снимаем воспаление, и вся симптоматика уходит (было не один раз такое в моей практике). Поэтому при подобных жалобах также провожу локальное исследование тканей пародонта, в том числе пародонтальных карманов и межзубных промежутков наиболее вероятных "зачинщиков" боли.

Ссылка на комментарий

Для публикации сообщений создайте учётную запись или авторизуйтесь

Вы должны быть пользователем, чтобы оставить комментарий

Создать аккаунт

Зарегистрируйте новый аккаунт в нашем сообществе. Это очень просто!

Регистрация нового пользователя

Войти

Уже есть аккаунт? Войти в систему.

Войти
×
×
  • Создать...
Вверх