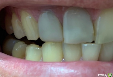
yavaso Опубликовано 11 июля, 2019 Поделиться Опубликовано 11 июля, 2019 Приветствую! лет 10-13 назад были установлены шкива(так вроде называется). 2 шт. проходил примерно лет 5, потом зубы потемнели. Примерно 4 года назад знакомая девочка за 30 минут мне отреставрировала 2 зуба! они стали в цвет с остальными, так проходил 3 года и опять потемнели. (что именно делала не знаю, думаю подточила старые, налипила материал и закрепила его( извиняюсь что не профессиональными терминами объясняю))Сейчас пришел в стоматологию, мне говорят можно так же сделать как в прошлый раз, 5 тыс за оба. потом посмотрели и сказали что в цвет не попадут (так как будет виден сквозь материал потемневший корень, вернее то что вместо него), и лучше ставить виниры по 7тыс, когда согласился и на них, сказали ставить коронки надо по 11тыс. В замешательстве, так как не пойму что они постоянно изменяют способ лечения так сказать. скажите, какой есть способ реставрации этих двух пробелов во рту)? и какая примерно стоимость? спасибо Ссылка на комментарий
St. Опубликовано 11 июля, 2019 Поделиться Опубликовано 11 июля, 2019 Добрый день. Зубы в цвете изменены достаточно сильно. Коронки будут прочнее и недежнее чем просто пломбы , да и по цвету лучше.Перед их постановкой нужно обязательно сделать рентген снимок корней этих зубов чтобы посмотреть как они пролечены и нет ли воспаления вокруг них. Если нужно каналы перелечивают и только после этого делают коронки\виниры. Вопросы цены по правилам форума не обсуждаются Ссылка на комментарий
hogsmeed Опубликовано 14 июля, 2019 Поделиться Опубликовано 14 июля, 2019 коронки однозначно Ссылка на комментарий
red_butler Опубликовано 20 июля, 2019 Поделиться Опубликовано 20 июля, 2019 Тему можно закрывать? Ссылка на комментарий
Рекомендуемые сообщения
Для публикации сообщений создайте учётную запись или авторизуйтесь
Вы должны быть пользователем, чтобы оставить комментарий
Создать аккаунт
Зарегистрируйте новый аккаунт в нашем сообществе. Это очень просто!
Регистрация нового пользователяВойти
Уже есть аккаунт? Войти в систему.
Войти