Перейти к содержанию
Стоматология для всех

Подскажите, нет ли периодонтита по снимку


Igor1989

Рекомендуемые сообщения

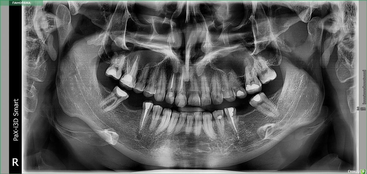
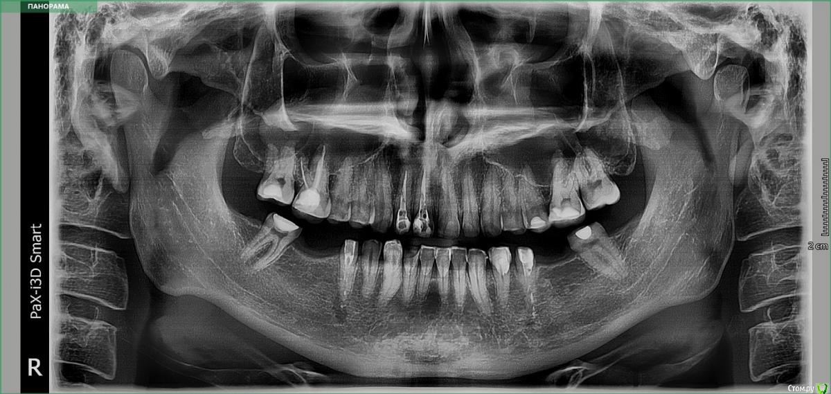
Подскажите пожалуйста, не видно ли периодонтита по снимку - два 5 нижних зуба? 1,2 сверху хорошо каналы запломбированы? Ставили 4 стекловолоконных штифта, готовим нижние зубы для установки двух мостов из диоксида циркония по бокам, на 8 нижних и 10 верхних - керамические виниры. На данный момент беспокоит ноющая боль на 4 или 5 нижнем зубе слева. Первый снимок - до обточки зубов, второй - после обточки и установки штифтов.

post-58174-0-29449400-1562731559_thumb.jpg

post-58174-0-53082800-1562731572_thumb.jpg

Ссылка на комментарий

Для публикации сообщений создайте учётную запись или авторизуйтесь

Вы должны быть пользователем, чтобы оставить комментарий

Создать аккаунт

Зарегистрируйте новый аккаунт в нашем сообществе. Это очень просто!

Регистрация нового пользователя

Войти

Уже есть аккаунт? Войти в систему.

Войти
×
×
  • Создать...
Вверх