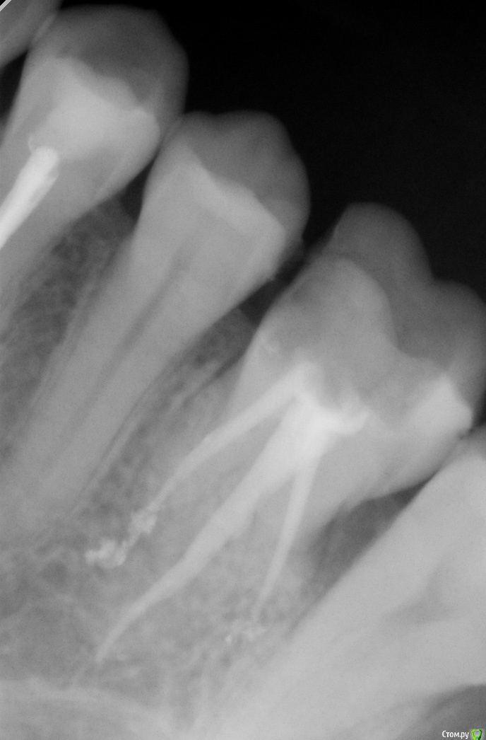
Barbina Опубликовано 30 июня, 2019 Поделиться Опубликовано 30 июня, 2019 Здравствуйте, уважаемые доктора. Помогите пожалуйста. Лечили пульпит в 6 зубе. По итогу спустя время боль не проходит полностью, зуб чувствителен. Лечащий врач проблемы не видит на снимке. Ссылка на комментарий
АнтонТЛТ Опубликовано 30 июня, 2019 Поделиться Опубликовано 30 июня, 2019 На что реагирует зуб? На температурные раздражители или при накусывании? Ссылка на комментарий
Barbina Опубликовано 1 июля, 2019 Автор Поделиться Опубликовано 1 июля, 2019 На что реагирует зуб? На температурные раздражители или при накусывании?При накусывание и надавливании есть боль. Во время пользования зубной нити по контактам тоже больно и на холодное реагирует.Ещё скажите, на снимке мне кажется, что пломбировочный материал выходит за пределы корня, я права? Ссылка на комментарий
АнтонТЛТ Опубликовано 1 июля, 2019 Поделиться Опубликовано 1 июля, 2019 Материал немного выведен, но это не критично. Возможно не пройден один канал, советую сделать КТ в области этого зуба.На счёт зубной нити, там контактный пункт не восстановлен между 5 и 6 зубами. Судя по объему разрушения зуб желательно покрыть коронкой или керамической накладкой. 1 Ссылка на комментарий
Barbina Опубликовано 1 июля, 2019 Автор Поделиться Опубликовано 1 июля, 2019 Спасибо большое Ссылка на комментарий
Рекомендуемые сообщения
Для публикации сообщений создайте учётную запись или авторизуйтесь
Вы должны быть пользователем, чтобы оставить комментарий
Создать аккаунт
Зарегистрируйте новый аккаунт в нашем сообществе. Это очень просто!
Регистрация нового пользователяВойти
Уже есть аккаунт? Войти в систему.
Войти