Miramar Опубликовано 28 июня, 2019 Поделиться Опубликовано 28 июня, 2019 Здравствуйте!Была у меня верхняя восьмёрка, на которую почему-то напал кариес аж в трёх местах. Я ходила к нескольким стоматологам-терапевтам с просьбой вылечить кариес, но они отказывались, аргументируя тем, что этот зуб мне не нужен, т. к. он не участвует в жевании (под ним зуба нет, а точнее - нижняя восьмёрка лежит в десне), и что один из кариесов в труднодоступном месте (не знаю, как это на спец. терминах - на дальнем краю зуба). Мне было жалко удалять зуб, но он уже начинал болеть, и я пошла к хирургу, который мне его удалил. После удаления я обнаружила, что у меня изменилась форма щеки на стороне удалённого зуба - она стала меньше, как бы втянулась. Теперь другая щека кажется, по сравнению с ней, припухшей. Сказать, что я расстроена - ничего не сказать... Разница, конечно, не в сантиметрах, но я её вижу. Подозреваю, что со временем кость на месте удалённой восьмёрки рассосётся и асимметрия лица усилится ((( Неужели науке неизвестны такие последствия удаления восьмёрок, что меня никто не предупредил об этом? Я бы до последнего искала терапевта, который взялся бы за лечение. Но это ещё не всё. Появилась другая проблема: седьмой зуб стал резать мне внутреннюю сторону щеки. При жевании и не только, это случается и при открытии и закрытии рта, и при полоскании. Это может случаться по несколько раз в день. На внутренней стороне щеки остаются ранки, иногда - тёмно-красные шишки, которые потом исчезают, до следующего раза. Я ходила к терапевту, он немного подшлифовал край семёрки, чтобы сделать его менее острым. Но это не очень помогло. Видимо, восьмёрка отводила щеку от остальных зубов, а теперь щека прямо "подлазит" под семёрку. Подскажите, пожалуйста, что мне делать.1) Грозит ли мне дальнейшая асимметрия лица, и если да, что можно предпринять?2) Как избежать травмирования внутренней стороны щеки? 1 Ссылка на комментарий
red_butler Опубликовано 28 июня, 2019 Поделиться Опубликовано 28 июня, 2019 http://forum.stom.ru/topic/20613-sovety-patcientam-obiazatelno-k-prochteniiu/ Ссылка на комментарий
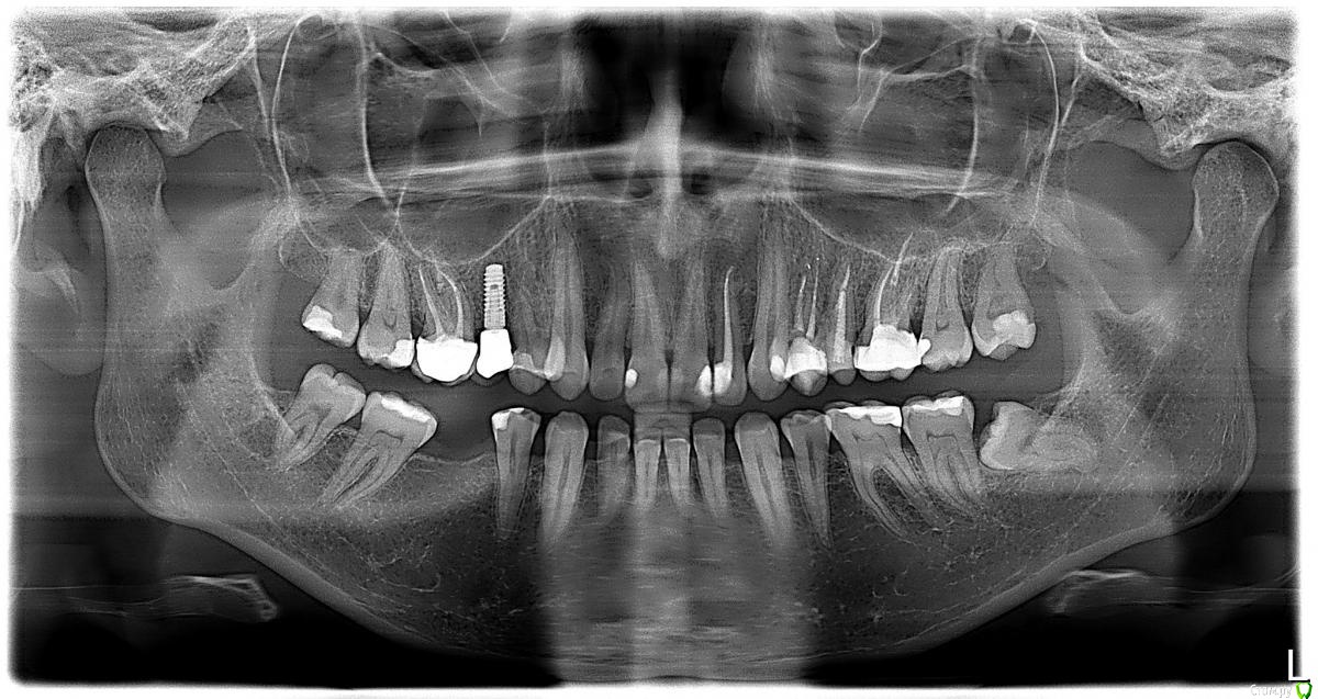
Miramar Опубликовано 28 июня, 2019 Автор Поделиться Опубликовано 28 июня, 2019 http://forum.stom.ru/topic/20613-sovety-patcientam-obiazatelno-k-prochteniiu/ Вы хотите сказать, что Вам нужен рентген? Чего именно? Я же не знаю, что мне говорить в ренген-кабинете. У меня есть КТ и панорамный снимок с ещё не удалённой восьмёркой. Ссылка на комментарий
red_butler Опубликовано 28 июня, 2019 Поделиться Опубликовано 28 июня, 2019 Вы хотите сказать, что Вам нужен рентген?Нужны объективные данные, панорамный rg и фото Ссылка на комментарий
Miramar Опубликовано 28 июня, 2019 Автор Поделиться Опубликовано 28 июня, 2019 Вот пока панорамный снимок с неудалённой восьмёркой. Она у меня была слева сверху; на снимке, получается, справа. Фото пока не понимаю, с какого ракурса сделать. Ссылка на комментарий
Miramar Опубликовано 30 июня, 2019 Автор Поделиться Опубликовано 30 июня, 2019 Вот фото по проблеме травмирования щеки (как смогла). Повторюсь: пока была восьмёрка, проблем с щекой не было; сейчас щека залазит под зуб, как только начинаю закрывать рот. Возможно, травмирует не только семёрка, но и шестёрка, т. к. под ней тоже ранки. Ссылка на комментарий
Рекомендуемые сообщения
Для публикации сообщений создайте учётную запись или авторизуйтесь
Вы должны быть пользователем, чтобы оставить комментарий
Создать аккаунт
Зарегистрируйте новый аккаунт в нашем сообществе. Это очень просто!
Регистрация нового пользователяВойти
Уже есть аккаунт? Войти в систему.
Войти