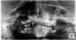
Анна Жол Опубликовано 25 июня, 2019 Поделиться Опубликовано 25 июня, 2019 Здравствуйте! Недавно делали пантоортограмму сыну 8 лет, в связи с тем что передний верхний молочный резец никак не хочет меняться на коренной. Диагностика показала, что зуб находится в десне в перевернутом состоянии! В 5 лет была травма- удар по верхней челюсти. Зубы остались на месте, но один был перебит в районе корня, куда в дальнейшем был вставлен штифт (на данный момент этот зуб уже удален). Наблюдаемся у ортодонта в поликлинике, носим пластинку для выравнивания соседнего зуба и расширяем челюсть, чтоб зубы не сдвигались на пустое место. По поводу перспектив доктор конкретики не дает. Что делать в нашей ситуации? Есть ли возможность вытащить зуб из десны с помощью брекетов или имплантация в 18 лет? И если не трудно объясните причины, почему он перевернулся, это так был заложено изначально, или последствия травмы? Есть томограмма в эл. виде, не знаю как загрузить сюда Ссылка на комментарий
Дмитрий Л. Опубликовано 30 июня, 2019 Поделиться Опубликовано 30 июня, 2019 Надо смотреть кт Ссылка на комментарий
Рекомендуемые сообщения
Для публикации сообщений создайте учётную запись или авторизуйтесь
Вы должны быть пользователем, чтобы оставить комментарий
Создать аккаунт
Зарегистрируйте новый аккаунт в нашем сообществе. Это очень просто!
Регистрация нового пользователяВойти
Уже есть аккаунт? Войти в систему.
Войти