Перейти к содержанию
Стоматология для всех

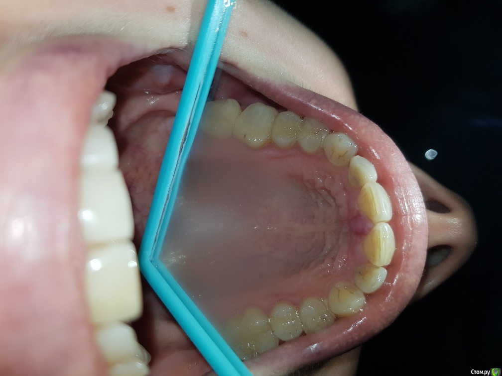
воспалился резцовый сосочек


Рекомендуемые сообщения

Здравствуйте. 10 мая 2019 года мне сделали эстетическую реставрацию диастемы между передними зубами. Через 2 дня воспалился резцовый сосочек. Лечили Метрогил Дента, Холисал, полоскание солью, пародонтолог прижигал сосочек 3 раза. Ничего не помогло. Сделали КТ- все в норме, была на консультации у хирурга - ничего не видят, проблему не могут найти. Два раза шлифовали пломбу. Помогите установить причину. КТ по ссылке на гугл диске
https://drive.google.com/open?id=1cG...eCy2X_WCLvn4rN

post-58052-0-01420300-1561453155_thumb.jpg

post-58052-0-88761800-1561453156_thumb.jpg

Ссылка на комментарий

Для публикации сообщений создайте учётную запись или авторизуйтесь

Вы должны быть пользователем, чтобы оставить комментарий

Создать аккаунт

Зарегистрируйте новый аккаунт в нашем сообществе. Это очень просто!

Регистрация нового пользователя

Войти

Уже есть аккаунт? Войти в систему.

Войти
×
×
  • Создать...
Вверх