mediis Опубликовано 24 июня, 2019 Поделиться Опубликовано 24 июня, 2019 Здравствуйте! 07.06.2019 мне удалили одновременно два зуба - 7-й и 8-й на нижней челюсти справа с одномоментной имплантацией 7-го. Во время анестезии я почувствовала пронизывающую боль, как электрическим током в районе 2 и 3-го зубов снизу справа, как будто игла задела нерв. После окончания действия анестезии и до настоящего момента отсутствует чувствительность этих 2,3,4-го зубов, онемела правая половина нижней губы и часть подбородка в этой зоне. И еще, появился белый треугольник на лице в районе носогубной части. Нечувствительные зубы ломит, есть ощущение распирания в районе импланта.Посмотрите пожалуйста снимок, вернётся ли чувствительность? Что делать? Врач уверяет, что все отлично, порекомендовал пропить нейромультивит. К сожалению, могу отправить только ссылки на файл. До операции - https://cloud.mail.ru/stock/2UZAKrd1ainvCmjJm9cKMi9Y После - https://cloud.mail.ru/stock/GfEAhknzD8Q61eww4mqRcGc2 Ссылка на комментарий
red_butler Опубликовано 24 июня, 2019 Поделиться Опубликовано 24 июня, 2019 выкладывайте срезы Кт Ссылка на комментарий
mediis Опубликовано 24 июня, 2019 Автор Поделиться Опубликовано 24 июня, 2019 Подскажите пожалуйста, каким образом можно получить срезы КТО? Ссылка на комментарий
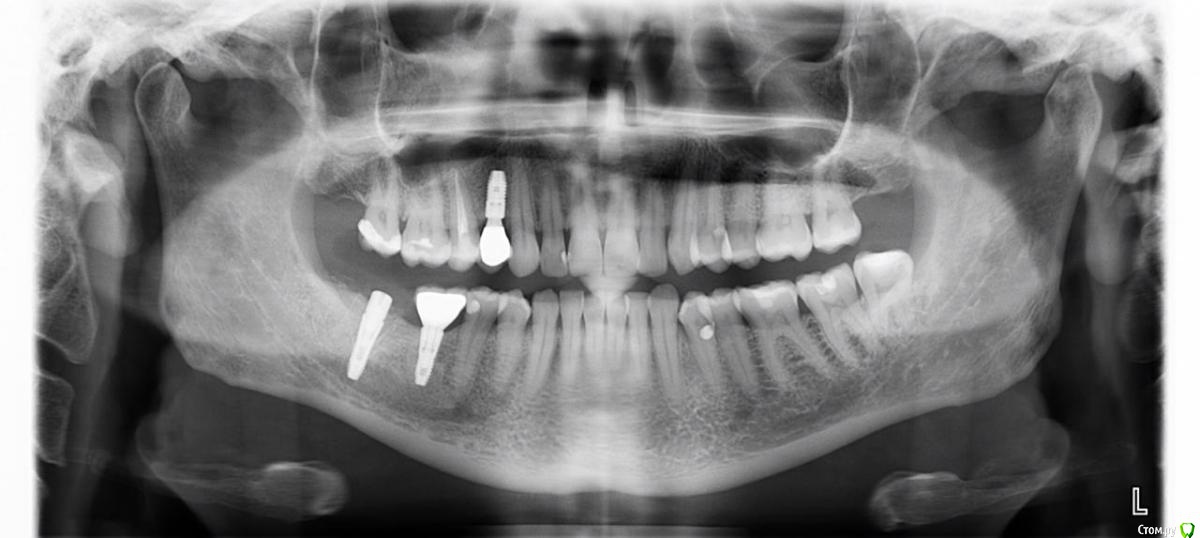
mediis Опубликовано 24 июня, 2019 Автор Поделиться Опубликовано 24 июня, 2019 (изменено) Вот снимки после удаления 7-го и 8-го и одномоментной имплантантации 7-го и до операции. Изменено 24 июня, 2019 пользователем mediis Ссылка на комментарий
red_butler Опубликовано 25 июня, 2019 Поделиться Опубликовано 25 июня, 2019 я бы убрал имплант в позиции 4.7 2 Ссылка на комментарий
mediis Опубликовано 25 июня, 2019 Автор Поделиться Опубликовано 25 июня, 2019 Спасибо за отклик! Ссылка на комментарий
Bier Опубликовано 26 июня, 2019 Поделиться Опубликовано 26 июня, 2019 Да, имплантат нужно убрать Ссылка на комментарий
mediis Опубликовано 28 июня, 2019 Автор Поделиться Опубликовано 28 июня, 2019 Спасибо, уважаемые доктора, за ответы! Удалила имплант 25.06.19. Кто-нибудь знает контакты хорошего стоматоневролога в Москве? Подскажите!!! Ссылка на комментарий
red_butler Опубликовано 8 июля, 2019 Поделиться Опубликовано 8 июля, 2019 Как Вы? Ссылка на комментарий
Рекомендуемые сообщения
Для публикации сообщений создайте учётную запись или авторизуйтесь
Вы должны быть пользователем, чтобы оставить комментарий
Создать аккаунт
Зарегистрируйте новый аккаунт в нашем сообществе. Это очень просто!
Регистрация нового пользователяВойти
Уже есть аккаунт? Войти в систему.
Войти