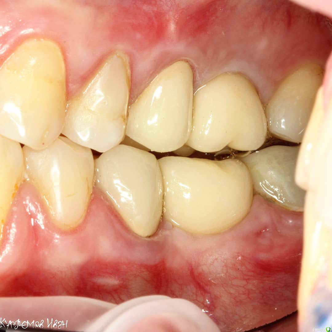
IvanK Опубликовано 24 июня, 2019 Поделиться Опубликовано 24 июня, 2019 Коррекция контура стт (свободным соединительнотканным трансплантатом) 9 Ссылка на комментарий
АнтонТЛТ Опубликовано 24 июня, 2019 Поделиться Опубликовано 24 июня, 2019 Ты куда пропал?)) 2 Ссылка на комментарий
Большой Зеленый Опубликовано 24 июня, 2019 Поделиться Опубликовано 24 июня, 2019 В засаде он)) 2 Ссылка на комментарий
IvanK Опубликовано 24 июня, 2019 Автор Поделиться Опубликовано 24 июня, 2019 Ты куда пропал?))я тут, просто не всегда)) Ссылка на комментарий
IvanK Опубликовано 24 июня, 2019 Автор Поделиться Опубликовано 24 июня, 2019 В засаде он))так и есть!)) Скоро выстрелю) Ссылка на комментарий
Дмитрий М Опубликовано 25 июня, 2019 Поделиться Опубликовано 25 июня, 2019 Коррекция контура стт (свободным соединительнотканным трансплантатом)спасибо что делитесь работами есть этапы операции, как делали? конверт? Ссылка на комментарий
Рекомендуемые сообщения
Для публикации сообщений создайте учётную запись или авторизуйтесь
Вы должны быть пользователем, чтобы оставить комментарий
Создать аккаунт
Зарегистрируйте новый аккаунт в нашем сообществе. Это очень просто!
Регистрация нового пользователяВойти
Уже есть аккаунт? Войти в систему.
Войти