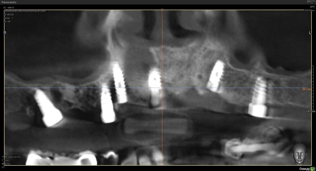
Витторио Орлионе Опубликовано 24 июня, 2019 Поделиться Опубликовано 24 июня, 2019 (изменено) Здравствуйте, уважаемые коллеги, позвольте обратиться за советом.Ситуация такова: 3 месяца назад были удалены все корни зубов на верхней челюсти, установлены 3 импланта MIS seven 1.4, 1.1, 2.6 с заглушками торк на момент установки составлял 35-40 Н/см, а взамен всех остальных нкр Biooss S, Biogide в связи с дегистенциями в области удаленных корней 1.6, 1.3, 2.4. Через 3 месяца планируется имплантация ещё 3 импланта с немедленной нагрузкой. А пока можно ли уже сейчас сделать временную конструкцию без вреда для костной пластики и какую? Изменено 24 июня, 2019 пользователем Витторио Орлионе Ссылка на комментарий
Витторио Орлионе Опубликовано 26 июня, 2019 Автор Поделиться Опубликовано 26 июня, 2019 Что ничего уже нельзя сделать, только ждать?! И всё так убого получилось, что даже комментировать нечего?! Ссылка на комментарий
колесников Опубликовано 26 июня, 2019 Поделиться Опубликовано 26 июня, 2019 Можно съемный на локаторах,но зачем,на 3 мес приличный перерасход Ссылка на комментарий
hogsmeed Опубликовано 27 июня, 2019 Поделиться Опубликовано 27 июня, 2019 А все сразу вместе с несъемными времяшками на имплантах побоялись делать?Насколько нужна временная конструкция пациенту если уже согласился 3 месяца ходить без зубов? Ссылка на комментарий
Витторио Орлионе Опубликовано 27 июня, 2019 Автор Поделиться Опубликовано 27 июня, 2019 А все сразу вместе с несъемными времяшками на имплантах побоялись делать?Насколько нужна временная конструкция пациенту если уже согласился 3 месяца ходитьтам была целая история, получилось так, что ещё три имланта в области 1.6, 1.3 и 2.4 сильно заглубил, после удаления были дегистенции вестибулярно, а мембан не было для их закрытия, в итоге эти импланты выкрутил и НКР, а пациентКА - родственница, жалуется на то что язык некуда деть, нижняя челюсть устаёт, жевать хочется, смеяться и улыбаться. Ссылка на комментарий
hogsmeed Опубликовано 27 июня, 2019 Поделиться Опубликовано 27 июня, 2019 Понятно, как я вижу вариантов несколько1 - крутить остальные импланты и нагружать все 6 временным мостом, как по мне у этого варианта одни плюсы2 - на 3 имплантах шарики или локаторы3 - просто съемный 2 последних варианта - прямая угроза вашей НКР Ссылка на комментарий
Витторио Орлионе Опубликовано 27 июня, 2019 Автор Поделиться Опубликовано 27 июня, 2019 (изменено) Понятно, как я вижу вариантов несколько1 - крутить остальные импланты и нагружать все 6 временным мостом, как по мне у этого варианта одни плюсы2 - на 3 имплантах шарики или локаторы3 - просто съемный 2 последних варианта - прямая угроза вашей НКРзначит и правда только ждать дальнейшей имплантации Изменено 27 июня, 2019 пользователем Витторио Орлионе Ссылка на комментарий
Тимур86 Опубликовано 27 июня, 2019 Поделиться Опубликовано 27 июня, 2019 Опора пойдёт на шарики, уберете пластмассу вестибулярно в области нкр и проблем не будет Ссылка на комментарий
Витторио Орлионе Опубликовано 2 июля, 2019 Автор Поделиться Опубликовано 2 июля, 2019 Огромное спасибо всем, кто откликнулся, для меня очень важно было услышать мнение профессионалов. Ссылка на комментарий
Рекомендуемые сообщения
Для публикации сообщений создайте учётную запись или авторизуйтесь
Вы должны быть пользователем, чтобы оставить комментарий
Создать аккаунт
Зарегистрируйте новый аккаунт в нашем сообществе. Это очень просто!
Регистрация нового пользователяВойти
Уже есть аккаунт? Войти в систему.
Войти