Перейти к содержанию
Стоматология для всех

5 ортодонтов. 5 разных мнений. И что же делать?


bogdana.ki

Рекомендуемые сообщения

Все началось с того, что в 10 лет я поняла, что при улыбке у меня не поднимается верхняя губа и верхние зубы не видно, ну может на 1 мм. Так я ходила 20 лет с комплексом улыбки. А в 30, попав к новому стоматологу, врач предложила мне сделать художественные реставрации и удлинить верхние зубы. И тут началось.

Нельзя удлинить левый верхний, потому что нижние пошли а наклон, и он упирается в левый нижний.

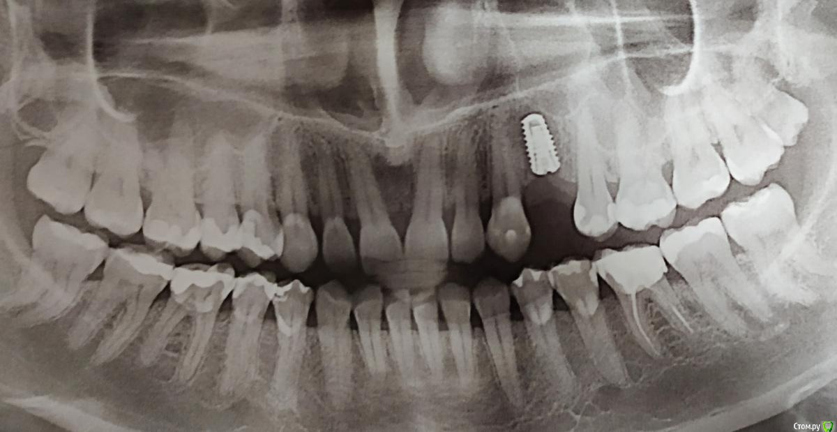
Потом мне ещё удалили 4ку, и я замечталась двигать зубы, чтобы не ставить имплант. Но все отговорили, в итоге поставила имплант на днях.

1 ортодонт сказала, что все вообще отлично, а нижние подровнять реставрациями.

2 ортодонт сказала, что просто ставим брекеты и все за 8 месяцев приводим в норму.

3 сказала, что с прикусом все ок, вот только передние 4 немного кривые, но задвинуть их нет возможности, потому что все плотно после появления восьмерок и бонусом одной 9-ки.

Первые три врача смотрели меня без снимков.

4, посмотрев мои снимки, сказала, что на вид все просто, но если начинать просчеты, то не все так просто. И в моем случае система Invisalign лучшее решение. Она очень много всего рассказала, долго писать, но ее мнение понравилось больше всего. Проблема только в том, что капы носить два года, а у меня сейчас есть ночная от бруксизма и я постоянно на утро просипаюсь с болями в животе от того, что во рту что-то есть и сильное слюноотделение.

5 врач, вообще был ни о чем. Сказал, что сами решайте нужны вам брекеты или нет, и 8ки уменьшите, а то они у вас бруксизм и вызывают.

Возможно, тут мне ещё что-то посоветуют. Спасибо.

post-58015-0-10502400-1561039256_thumb.jpg

post-58015-0-08588800-1561039264_thumb.jpg

post-58015-0-55399100-1561039286_thumb.jpg

Ссылка на комментарий

Для публикации сообщений создайте учётную запись или авторизуйтесь

Вы должны быть пользователем, чтобы оставить комментарий

Создать аккаунт

Зарегистрируйте новый аккаунт в нашем сообществе. Это очень просто!

Регистрация нового пользователя

Войти

Уже есть аккаунт? Войти в систему.

Войти
×
×
  • Создать...
Вверх