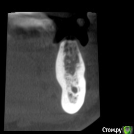
dentikl Опубликовано 20 июня, 2019 Поделиться Опубликовано 20 июня, 2019 35 удалили 26 октября 2018.Обострение гранулематозного пт.Посоветуйте плз,сейчас-1)крутить2)ждать ( сколько?)3)ревизироватьспасибо Ссылка на комментарий
Irouil Опубликовано 20 июня, 2019 Поделиться Опубликовано 20 июня, 2019 Ревизировать и крутить Ссылка на комментарий
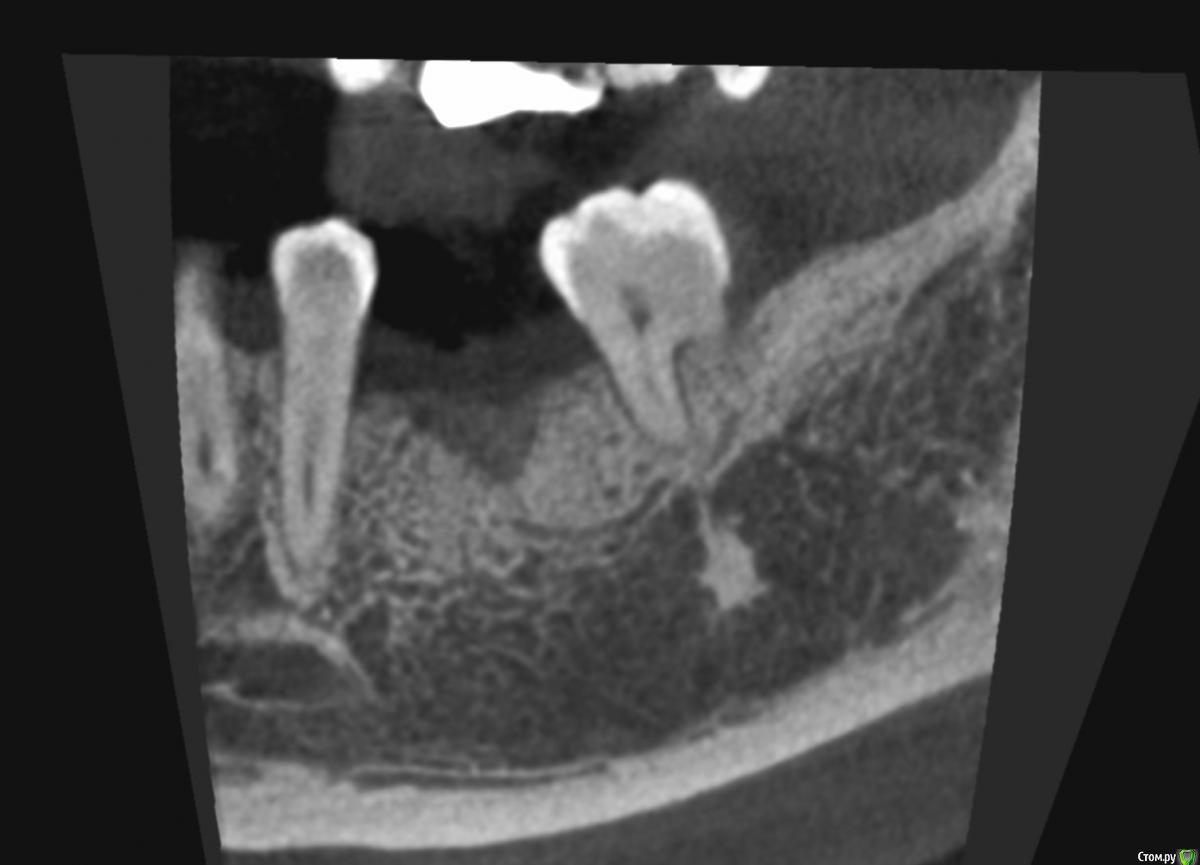
vgraev Опубликовано 20 июня, 2019 Поделиться Опубликовано 20 июня, 2019 во время операции будет понятно, если кость сформировалась - без проблем. когда сверлом проходить будете - поймете. если есть какие-то мягкотканные разрастания надо бы их убрать обязательно. у меня случай был , вывели пломбировочный материал за верхушку, зуб периодонтитный под удаление, убрал зуб , кюретаж как положено,через 3 месяца по кт пару крупинок пломбировочного осталось, думаю, когда сверлить буду ,уберу его по мере препарирования ложа под импл. поставил ,вроде все хорошо. через 3 недели пациентка с клиникой периостита вялотекущего, кт сделал - разрежение в области верхушки имплантата ( поднял литературу ,оказалось апикальный периимплантит) сделал разрез, кюреткой прошел к верхушке имплантата - был пломбировочный с примесью гноя. закончилось все хорошо, запротезировали уже. но с тех пор всегда проверяю дно ложа, когда есть опасения какие-то Ссылка на комментарий
dentikl Опубликовано 20 июня, 2019 Автор Поделиться Опубликовано 20 июня, 2019 (изменено) Ревизировать и крутитьодновременно?крутить чуть дистальнее или в ту же лунку? Изменено 20 июня, 2019 пользователем dentikl Ссылка на комментарий
dentikl Опубликовано 20 июня, 2019 Автор Поделиться Опубликовано 20 июня, 2019 во время операции будет понятноесли мягкотканные -кюретаж и жду? Ссылка на комментарий
Irouil Опубликовано 20 июня, 2019 Поделиться Опубликовано 20 июня, 2019 одновременно?крутить чуть дистальнее или в ту же лунку?Одновременно Препарируйте туда, куда нужно, там апикально до канала достаточно твёрдых тканей чтобы стабилизировать. Естественно, все мягкое и непотребное выскрести. 3 Ссылка на комментарий
vgraev Опубликовано 21 июня, 2019 Поделиться Опубликовано 21 июня, 2019 если мягкотканные -кюретаж и жду? там же пятистеночный дефект будет - соответственно можно сразу ставить, позиционировать ,как посоветовал Irouil, правильно с точки зрения будущей ортопедической конструкции Ссылка на комментарий
Valerkaa Опубликовано 21 июня, 2019 Поделиться Опубликовано 21 июня, 2019 (изменено) dentikl, извините, что влезаю в вашу тему, не хочу создавать похожую) коллеги, посоветуйте, пожалуйста, к чему готовиться. После удаления прошло 3 месяца (удаление было вне обострения, корни в слизистой практически были). Это грануляции скорее всего? раскрыться, кюретаж и подождать? Сколько ждать по времени? Заранее спасибо. Изменено 21 июня, 2019 пользователем Valerkaa 1 Ссылка на комментарий
dentikl Опубликовано 22 июня, 2019 Автор Поделиться Опубликовано 22 июня, 2019 Еще вопрос,если позволите-если я все таки решу разделить вмешательства кюретаж,а через 3 месяца имплантация,байос класть под мембрану или просто под сгустком? Ссылка на комментарий
Irouil Опубликовано 22 июня, 2019 Поделиться Опубликовано 22 июня, 2019 ИМХО там у Вас уже кость, расщепляйтесь над этим местом и мясом прикройте, будет круче чем в лучших домах Лондона Ссылка на комментарий
Рекомендуемые сообщения
Для публикации сообщений создайте учётную запись или авторизуйтесь
Вы должны быть пользователем, чтобы оставить комментарий
Создать аккаунт
Зарегистрируйте новый аккаунт в нашем сообществе. Это очень просто!
Регистрация нового пользователяВойти
Уже есть аккаунт? Войти в систему.
Войти