bogdana.ki Опубликовано 19 июня, 2019 Поделиться Опубликовано 19 июня, 2019 5 дней назад установили имплант. Врач говорит, что все хорошо, снимок сделать отказался. Сделала самостоятельно. Посмотрите, пожалуйста, все ли хорошо. Уже 4й день температура, насморк, горло красное. Спасибо Ссылка на комментарий
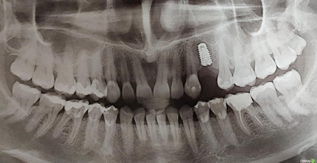
bogdana.ki Опубликовано 19 июня, 2019 Автор Поделиться Опубликовано 19 июня, 2019 Фото снимка Ссылка на комментарий
red_butler Опубликовано 19 июня, 2019 Поделиться Опубликовано 19 июня, 2019 по снимку все хорошо. Если есть сомнения покажитесь своему врачу и ЛОРу Ссылка на комментарий
Рекомендуемые сообщения
Для публикации сообщений создайте учётную запись или авторизуйтесь
Вы должны быть пользователем, чтобы оставить комментарий
Создать аккаунт
Зарегистрируйте новый аккаунт в нашем сообществе. Это очень просто!
Регистрация нового пользователяВойти
Уже есть аккаунт? Войти в систему.
Войти