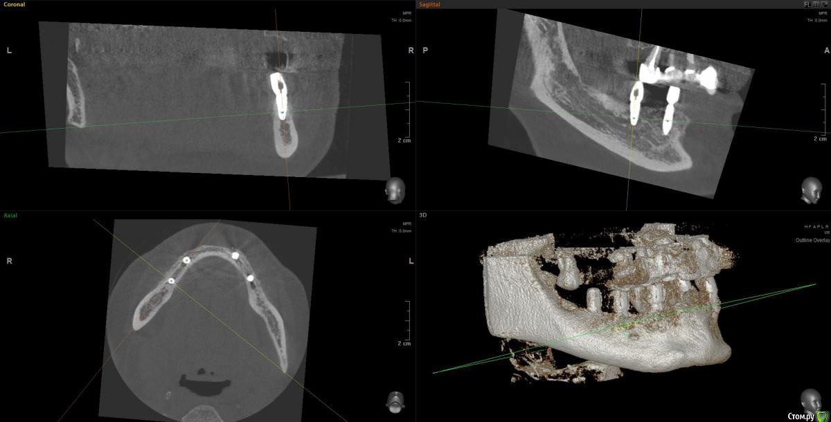
Kostoprav Опубликовано 14 июня, 2019 Поделиться Опубликовано 14 июня, 2019 Ксено+ауто +i prf, поверх титановых мембран перикард. кт через 5 мес.при и создании прикрепленки использовалась свиная дерма отечественного производителя 4 Ссылка на комментарий
Дмитрий М Опубликовано 16 июня, 2019 Поделиться Опубликовано 16 июня, 2019 спасибо за кейс подскажите то это Ссылка на комментарий
Kostoprav Опубликовано 17 июня, 2019 Автор Поделиться Опубликовано 17 июня, 2019 спасибо за кейс подскажите то это что это.jpgсвоя прикрепленная слизистая 1 Ссылка на комментарий
Ethan Hunt Опубликовано 17 июня, 2019 Поделиться Опубликовано 17 июня, 2019 а когда стало можно все имплантаты внизу в таком виде объединять? Это же не верх и гуляет челюсть больше намного 1 Ссылка на комментарий
Nazim_NV86 Опубликовано 19 июня, 2019 Поделиться Опубликовано 19 июня, 2019 а когда стало можно все имплантаты внизу в таком виде объединять? Это же не верх и гуляет челюсть больше намногоМожет наоборот ? Ссылка на комментарий
Neilrus Опубликовано 20 июня, 2019 Поделиться Опубликовано 20 июня, 2019 а есть фото после снятия швов со свиной кожи? Как она выглядит после приживления, цвет, текстура Ссылка на комментарий
L.E.S.I.K. Опубликовано 20 июня, 2019 Поделиться Опубликовано 20 июня, 2019 при и создании прикрепленки использовалась свиная дерма отечественного производителя Эта та отечественная ксенодерма, которую используют комбустиологи? Ссылка на комментарий
Kostoprav Опубликовано 20 июня, 2019 Автор Поделиться Опубликовано 20 июня, 2019 фото после выложу чуть позже после того как все заживет насчет комбустиологов не думаю что они ее используют поскольку продается небольшими кусочками Ссылка на комментарий
vgraev Опубликовано 20 июня, 2019 Поделиться Опубликовано 20 июня, 2019 спасибо за клинический случай! скажите,пожалуйста, это сетки,фиксированные заглушками, или смарт билдеры со спейсерами? Ссылка на комментарий
Ethan Hunt Опубликовано 20 июня, 2019 Поделиться Опубликовано 20 июня, 2019 Может наоборот ?может Карла Миша почитаете? Ссылка на комментарий
Тимур86 Опубликовано 20 июня, 2019 Поделиться Опубликовано 20 июня, 2019 Не поделитесь что он пишет? Конструкция обречена на провал? Ссылка на комментарий
АнтонТЛТ Опубликовано 20 июня, 2019 Поделиться Опубликовано 20 июня, 2019 Ничего не обречено на провал)Верхняя челюсть состоит из двух частей, которые между собой двигаются. Поэтому не рекомендуется связывать в одну конструкцию правую и левую сторону. Карл Миш конечно крутой чувак, но некоторые данные в его книге уже устарели. 3 Ссылка на комментарий
Ethan Hunt Опубликовано 20 июня, 2019 Поделиться Опубликовано 20 июня, 2019 Ничего не обречено на провал)Верхняя челюсть состоит из двух частей, которые между собой двигаются. Поэтому не рекомендуется связывать в одну конструкцию правую и левую сторону.Карл Миш конечно крутой чувак, но некоторые данные в его книге уже устарели.а нижняя не двигается? вроде как вращение челюсти в суставе большей подвижностью сопровождается нежели верхней 1 Ссылка на комментарий
АнтонТЛТ Опубликовано 20 июня, 2019 Поделиться Опубликовано 20 июня, 2019 а нижняя не двигается? вроде как вращение челюсти в суставе большей подвижностью сопровождается нежели верхнейДвигается относительно черепа, а не протеза зафиксированного на ней. Речь же про конструкцию. 2 Ссылка на комментарий
Pavel-Pskov Опубликовано 21 июня, 2019 Поделиться Опубликовано 21 июня, 2019 Наверное имелось ввидучто то типа скручивания, где то похожую инфу слышал, но уже не вспомню. Ссылка на комментарий
Ethan Hunt Опубликовано 21 июня, 2019 Поделиться Опубликовано 21 июня, 2019 Двигается относительно черепа, а не протеза зафиксированного на ней. Речь же про конструкцию.имел в виду то, что при открывании рта половины челюсти нижней больше двигаются чем верхней. Потому верх можно целую конструкцию, а низ нет 1 Ссылка на комментарий
Тимур86 Опубликовано 21 июня, 2019 Поделиться Опубликовано 21 июня, 2019 Половины нижней челюсти двигаются? Вы точно доктор? 1 Ссылка на комментарий
L.E.S.I.K. Опубликовано 21 июня, 2019 Поделиться Опубликовано 21 июня, 2019 Миш не рекомендует объединять 4 импланта на полностью беззубой челюсти- если 2 установлены кпереди от ментальных отверстий и по одному дистально от ментальных на каждой стороне, мотивирую это скручиванием челюсти во время функции. 1 Ссылка на комментарий
Kostoprav Опубликовано 28 июня, 2019 Автор Поделиться Опубликовано 28 июня, 2019 спасибо за клинический случай! скажите,пожалуйста, это сетки,фиксированные заглушками, или смарт билдеры со спейсерами?сетки фиксировал спейсерами Ссылка на комментарий
Bier Опубликовано 28 июня, 2019 Поделиться Опубликовано 28 июня, 2019 Вы что на доктора напали? Нижняя челюсть изгибается во время открывания и закрывания рта, и процесса жевания. и действительно ряд авторов не рекомендует соединять имплантаты стоящие по разные стороны от ментального отверстия.И большое количество авторов вообще при протезировании полных дуг н.челюсти не устанавливают имплантаты дистальнее ментальных отверстий.Тем не менее и объединенные конструкции существуют. С большими сроками наблюдений их показывал Арам Давидян. 1 Ссылка на комментарий
pit Опубликовано 29 июня, 2019 Поделиться Опубликовано 29 июня, 2019 По поводу сгибов, разгибов и скручиваний нижней челюсти во время открытия и закрытия рта. Мне почему-то кажется, я даже уверен, что они не существенны для зубного ряда. По идее, если при максимальном открытии рта, происходит изменение геометрии нижней челюсти, которое влияет на зубной ряд, то в области максимальной «подвижности», между премолярами изменятся апроксимальные контактные пункты. При максимальном открытии рта контакт между премолярами, теоретически, должен становиться слабее( даже временно появляется трема).))) Правильно?) У всех здесь есть нижняя челюсть). Зубная нить, думаю, тоже). Предлагаю простой эксперимент: пройти контакт между премолярами и вывести нить один раз при максимально прикрытом рте, а другой раз при максимально открытом. И, субъективно, сравнить ощущение. Также, повторить у 100 пациентов разного пола и возраста на осмотрах. Я так сделал сразу же как ознакомился с исследованием, мои субъективные ощущения не дали подтверждения этому феномену). 2 Ссылка на комментарий
Рекомендуемые сообщения
Для публикации сообщений создайте учётную запись или авторизуйтесь
Вы должны быть пользователем, чтобы оставить комментарий
Создать аккаунт
Зарегистрируйте новый аккаунт в нашем сообществе. Это очень просто!
Регистрация нового пользователяВойти
Уже есть аккаунт? Войти в систему.
Войти