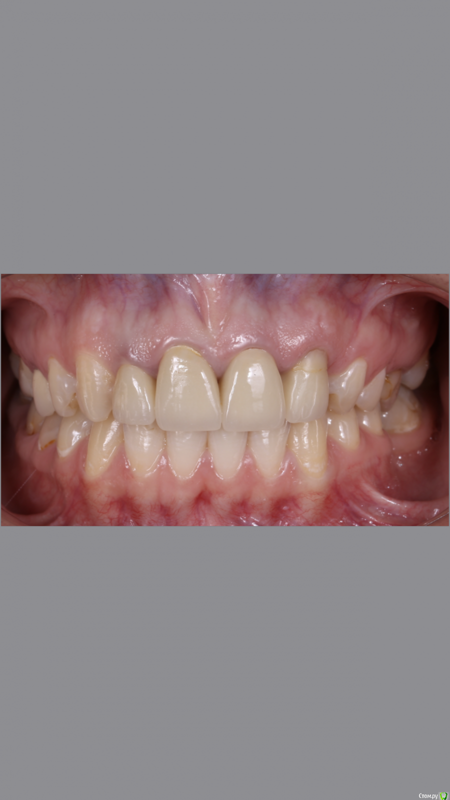
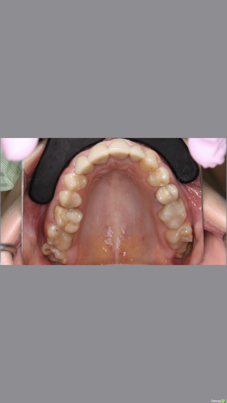
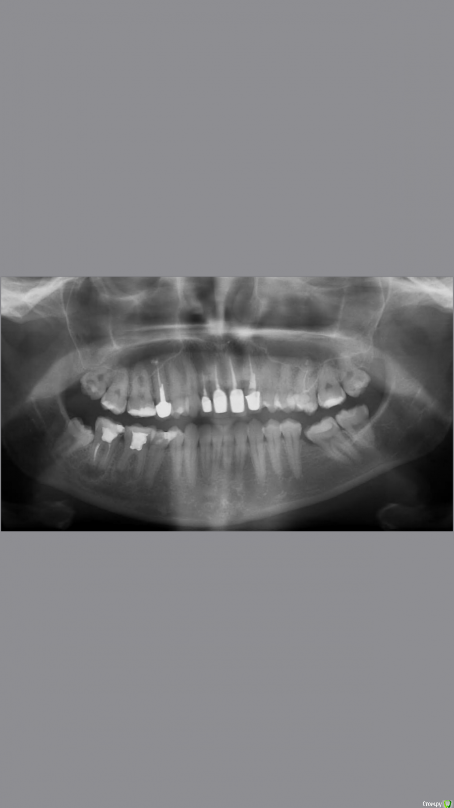
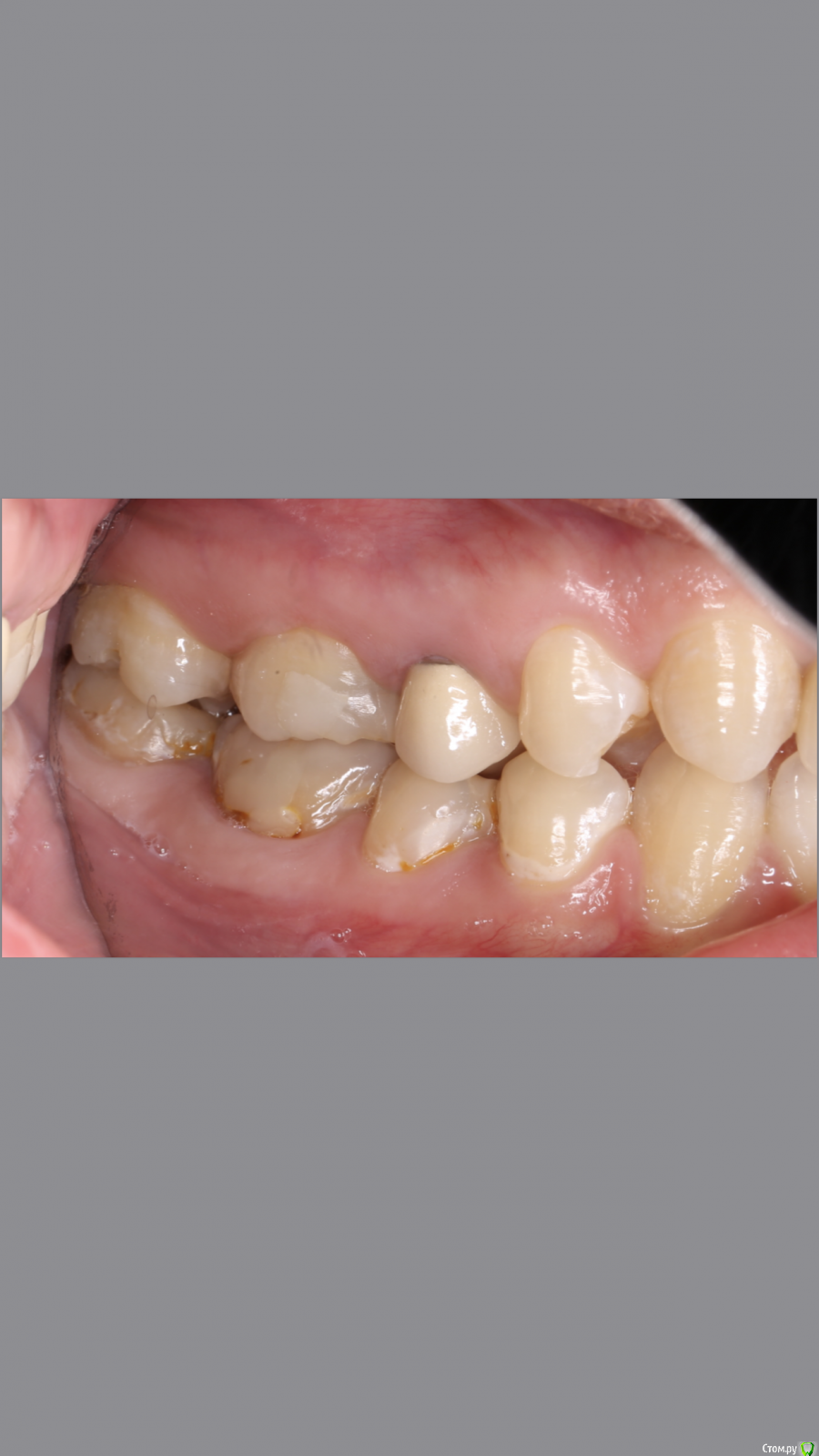
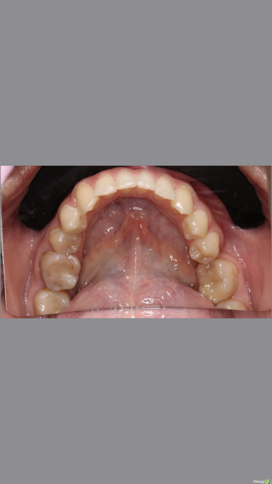
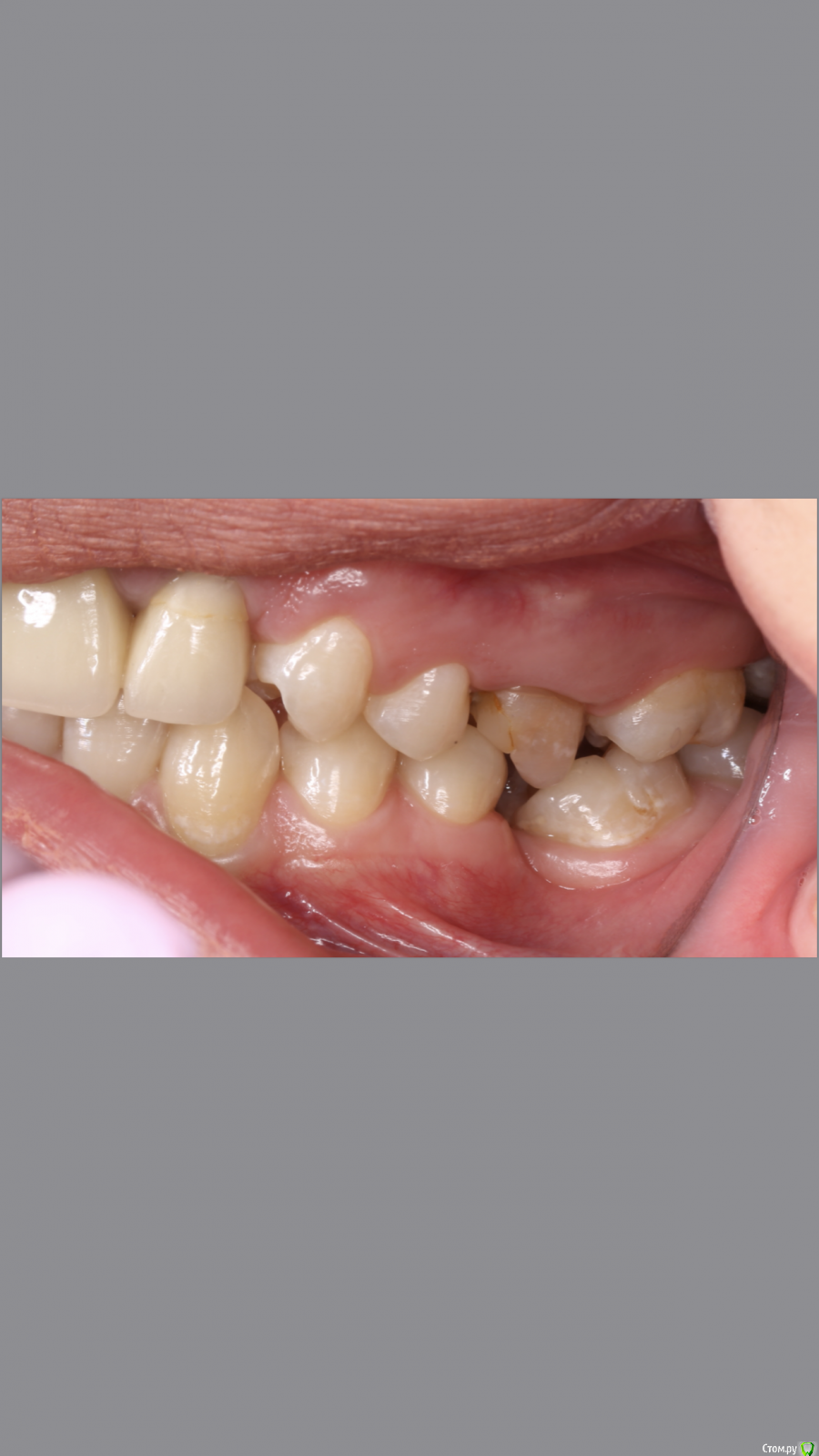
dr.Dre Опубликовано 8 июня, 2019 Поделиться Опубликовано 8 июня, 2019 Добрый вечер.Коллеги помогите грамотно скласть план лечения?С чего начинать ,терапия,ортодонтия ортопедия Ссылка на комментарий
johniola Опубликовано 8 июня, 2019 Поделиться Опубликовано 8 июня, 2019 Реэндо+орто+протезирование 1 Ссылка на комментарий
Monkey Опубликовано 19 июня, 2019 Поделиться Опубликовано 19 июня, 2019 Добрый вечер.Коллеги помогите грамотно скласть план лечения?С чего начинать ,терапия,ортодонтия ортопедияСанация, удаление 8-х, ортодонтическое лечение с раскрытием места 36,23 (заодно и среднюю линию откорректируете), протезирование Ссылка на комментарий
Рекомендуемые сообщения
Для публикации сообщений создайте учётную запись или авторизуйтесь
Вы должны быть пользователем, чтобы оставить комментарий
Создать аккаунт
Зарегистрируйте новый аккаунт в нашем сообществе. Это очень просто!
Регистрация нового пользователяВойти
Уже есть аккаунт? Войти в систему.
Войти