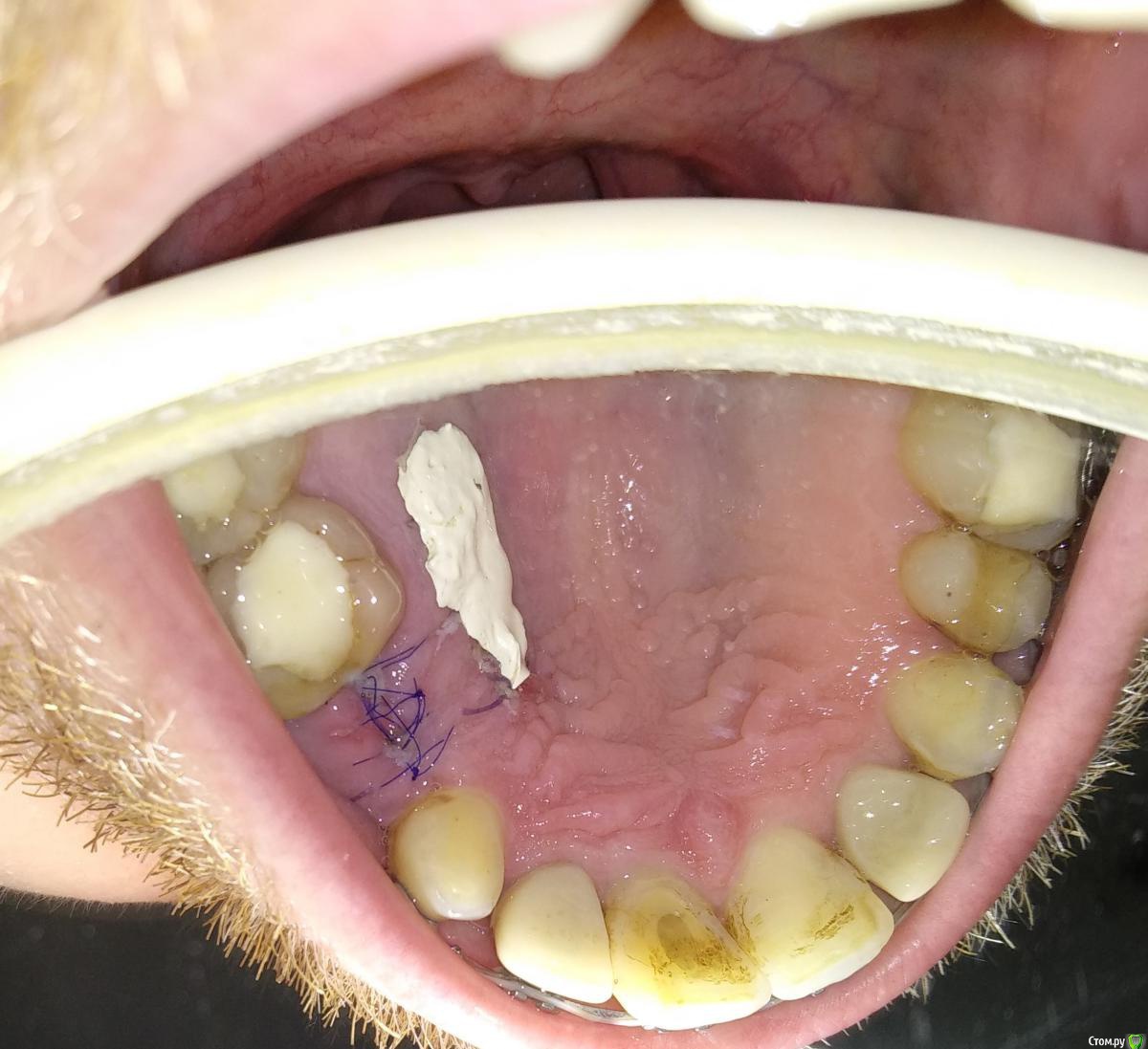
Al..ks Опубликовано 2 июня, 2019 Поделиться Опубликовано 2 июня, 2019 Прошла 30 мая имплантация 14 (3,5*9 Astra + заглушка - торк слабый. Изначально планировался сразу формирователь, но этот вариант мне больше по душе) + подсаживали десну к 16 (снимки КТ чуть позже добавлю). Пил сумамед, немисил (гадость походу - кишки крутило с него), лоратадин - три дня. Сейчас только ванночки хлоргексидина (хотя хирургическая щетка лежит с 12тыс щетинками, но забыл когда ей пользоваться начинать) Была слегка припухлость - на сегодня начала спадать остался только желтый синяк (как его побыстрее свести?)Вопрос по десне я правильно понимаю, что в районе швов это фибриновый налет? А вокруг 16-17 это тоже самое или пора панику наводить? Спасибо за ответы Ссылка на комментарий
Pavel-Pskov Опубликовано 3 июня, 2019 Поделиться Опубликовано 3 июня, 2019 Всё норм. 1 Ссылка на комментарий
Al..ks Опубликовано 6 июня, 2019 Автор Поделиться Опубликовано 6 июня, 2019 Вот и снимок Ссылка на комментарий
red_butler Опубликовано 6 июня, 2019 Поделиться Опубликовано 6 июня, 2019 Все нормально Ссылка на комментарий
Al..ks Опубликовано 7 июня, 2019 Автор Поделиться Опубликовано 7 июня, 2019 спасибо Ссылка на комментарий
Рекомендуемые сообщения
Для публикации сообщений создайте учётную запись или авторизуйтесь
Вы должны быть пользователем, чтобы оставить комментарий
Создать аккаунт
Зарегистрируйте новый аккаунт в нашем сообществе. Это очень просто!
Регистрация нового пользователяВойти
Уже есть аккаунт? Войти в систему.
Войти