Перейти к содержанию
Стоматология для всех

Ищу ортодонта.


e_as_y

Рекомендуемые сообщения

Добрый день, уважаемые специалисты.
30 лет, жен. 

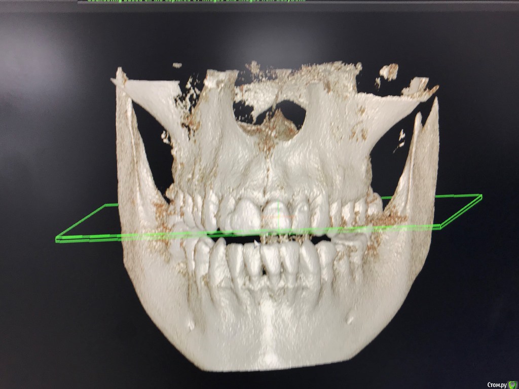
Решилась на исправление прикуса. Была консультация с ортодонтом 15 лет назад, рекомендовали операцию.
Сейчас на паре консультаций противоречивые и неуверенные ответы, может помогут брекеты, может нет.  
Хочу понимать нужна ли ЧЛХ. Может сейчас системы позволят сделать прикус правильным без хирургии.

Верхних 8к нет, нижние стоят
6го нижнего нет с 10 лет, в последствии планируется имплантация.
Куча работы по санации. 

Также вопрос по ценообразованию. На сколько я понимаю есть цена системы и ее установки. Еще клиники озвучивают цену лечения, и цена лечения в 2-3 раза больше самой системы вместе с установкой. 
Что подразумевается под лечением в этом случае?  

Есть ли практика частной работы без пафоса клиник? Хочется найти крепкого практика. 

Заранее благодарю.
post-57831-0-13521200-1559162307_thumb.jpg post-57831-0-63906900-1559162316_thumb.jpg post-57831-0-91130000-1559162581_thumb.jpeg post-57831-0-53729100-1559162664_thumb.jpeg post-57831-0-75857000-1559162676_thumb.jpg

Изменено пользователем e_as_y
Ссылка на комментарий

Для публикации сообщений создайте учётную запись или авторизуйтесь

Вы должны быть пользователем, чтобы оставить комментарий

Создать аккаунт

Зарегистрируйте новый аккаунт в нашем сообществе. Это очень просто!

Регистрация нового пользователя

Войти

Уже есть аккаунт? Войти в систему.

Войти
×
×
  • Создать...
Вверх