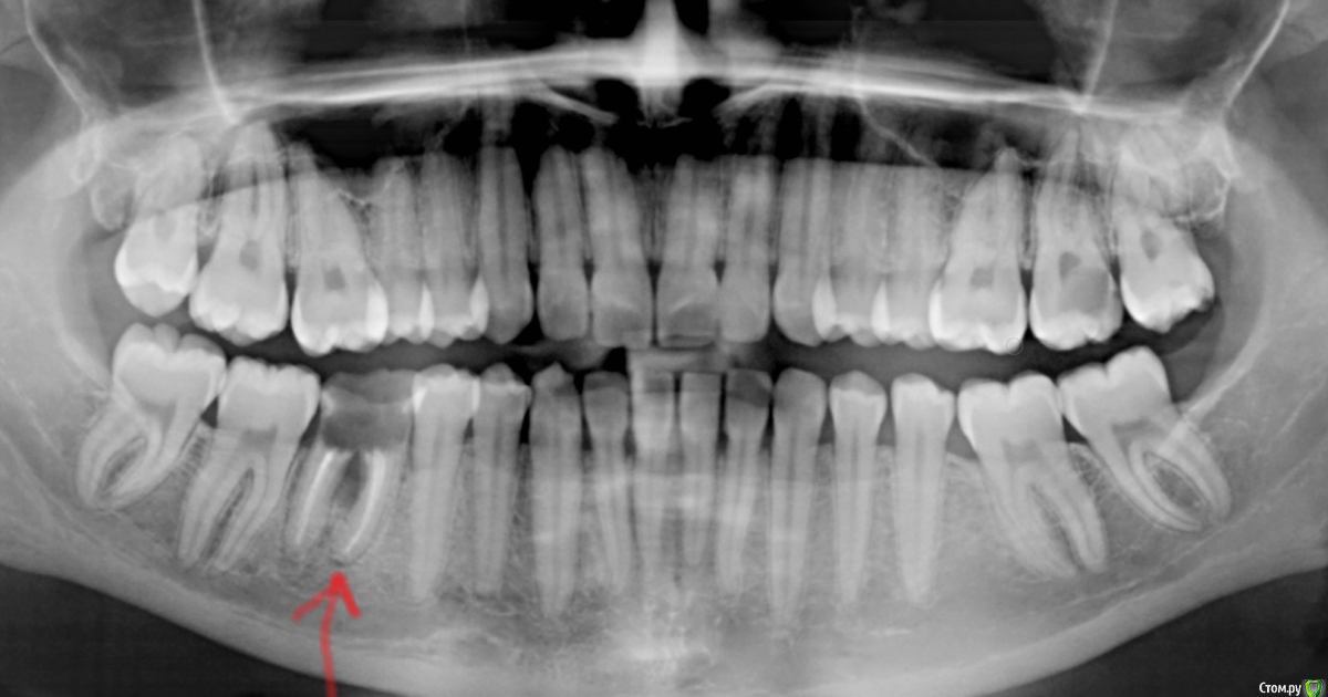
Оксана1318 Опубликовано 26 мая, 2019 Поделиться Опубликовано 26 мая, 2019 Добрый вечер! Подскажите, пожалуйста, у меня полностью разрушился зуб (шестерка на снимке - на нее направлена красная стрелка) полтора года назад. То есть остался только корень, а стенки сломались и выпали. За это время соседние зубы т.е. 5 и 7 не переместились друг к другу вроде бы, хотя же шестерки нет, если не считать корень. Получается корень шестого зуба их пока держит и не дает перемещаться???Я слышала, что организм человека не терпит пустоты и это же касается зубов? Я хочу на днях вырвать этот корень и ставить имплант. Но очень переживаю, что если вырву корень, он больше не будет сдерживать соседние зубы и нужно будет ждать три-четыре месяца перед постановкой импланта, за это время 5-ый и 7-й зуб начнут перемещаться в сторону к друг другу и у меня образовываться начнут расстояния между зубами некрасивые. Возможно ли что за 3-4 месяца перемещение произойдет? Может есть конструкции, которые не дадут этому произойти??? Заранее спасибо! Ссылка на комментарий
Зубоволок 36 Опубликовано 27 мая, 2019 Поделиться Опубликовано 27 мая, 2019 За 3-4 месяца,даже за пол года ,врядли сместятся. Если по мнению вашего лечащего врача условия подходящие,лучше сделать имплантацию одномоментно. 1 Ссылка на комментарий
Оксана1318 Опубликовано 27 мая, 2019 Автор Поделиться Опубликовано 27 мая, 2019 За 3-4 месяца,даже за пол года ,врядли сместятся. Если по мнению вашего лечащего врача условия подходящие,лучше сделать имплантацию одномоментно.Спасибо за ответ! Я же с таким корнем вместо зуба хожу уже полтора года и один врач говорил уже, что в данном случае одномоментно не стоит. А вообще есть какие-либо конструкции, которые помогают держать зубы? Ссылка на комментарий
krokomot Опубликовано 28 мая, 2019 Поделиться Опубликовано 28 мая, 2019 на период удаления и установки имплантата не стоит беспокоиться о перемещении зубов, срок слишком маленький, по поводу решения вопроса о возможности одномоментной имплантаци сомневаюсь, так как слишком мало заапикальной кости, в любом случае придется сделать томограмму где всё можно измерить в миллиметрах, В случае удаления без установки имплантата следует обязательно проводить мероприятия по консервации лунки, для получения наибольшего объема костной ткани после заживления. Конкретно я в данной ситуации, удалил бы зуб с аугментацией лунки, через 2 месяца установка имплантата и через 2-4 месяца его протезирование. 1 Ссылка на комментарий
Рекомендуемые сообщения
Для публикации сообщений создайте учётную запись или авторизуйтесь
Вы должны быть пользователем, чтобы оставить комментарий
Создать аккаунт
Зарегистрируйте новый аккаунт в нашем сообществе. Это очень просто!
Регистрация нового пользователяВойти
Уже есть аккаунт? Войти в систему.
Войти