Dr.Stomatolog Опубликовано 21 мая, 2019 Поделиться Опубликовано 21 мая, 2019 Помогите с проблемкой, по сути она не моя, но есть знакомые которые попали. Доктор наставил имплантов , и свалил на, связь не выходит. Пациентам не сказал и не дал ни какой информации. Предположительно импланты Ренова. Шестигранник 2,2 мм по граням. Ссылка на комментарий
Дмитрий М Опубликовано 21 мая, 2019 Поделиться Опубликовано 21 мая, 2019 вы описали только проблему, о какой помощи просите? снимки? Ссылка на комментарий
Dr.Stomatolog Опубликовано 21 мая, 2019 Автор Поделиться Опубликовано 21 мая, 2019 Если бы сам знал как решить тогда не спрашивал. Может есть кто работал и работает на этой системе. Ссылка на комментарий
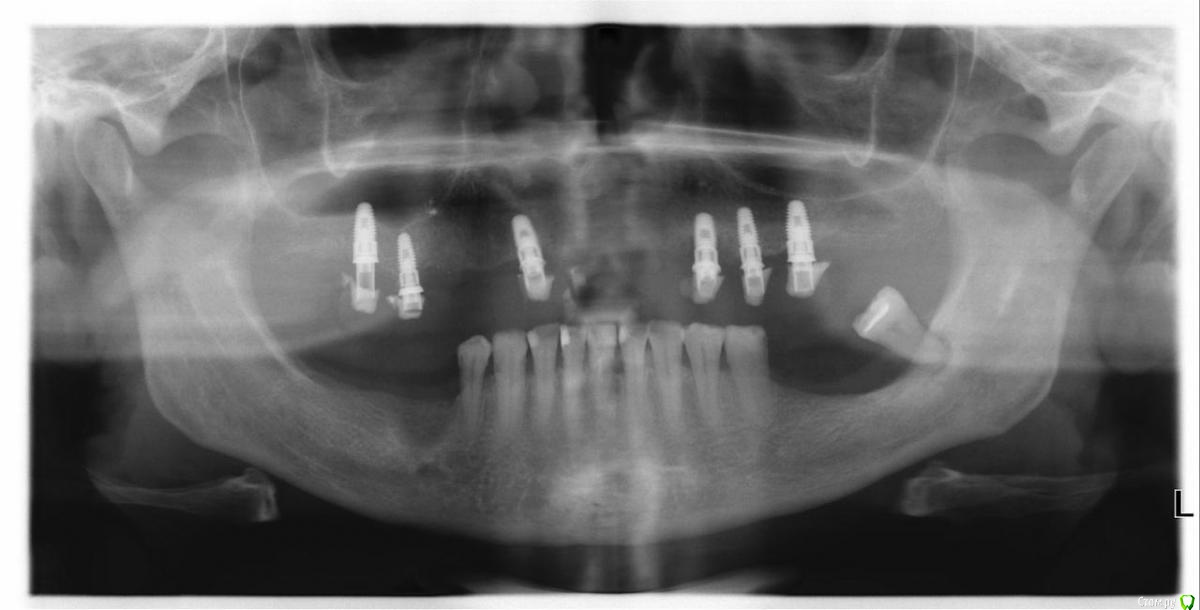
Dr.Stomatolog Опубликовано 21 мая, 2019 Автор Поделиться Опубликовано 21 мая, 2019 Для любителей снимков. Есть и КТ. Давайте только по делу, что и как все знают. Мне бы про РЕНОВК информации. Есть ещё другие уже отпротезированные. Ссылка на комментарий
Kotyara Опубликовано 21 мая, 2019 Поделиться Опубликовано 21 мая, 2019 Для любителей снимков. Есть и КТ. Давайте только по делу, что и как все знают. Мне бы про РЕНОВК информации. Есть ещё другие уже отпротезированные.так в чем вопрос то?? 1 Ссылка на комментарий
Dr.Stomatolog Опубликовано 21 мая, 2019 Автор Поделиться Опубликовано 21 мая, 2019 Вопрос есть ли менеджеры торгующие запчастями. И какой трансфер и аналог идёт для импланта с шестигранником 2,2. Похожи ли данные импланты на ренова. Ссылка на комментарий
Kotyara Опубликовано 22 мая, 2019 Поделиться Опубликовано 22 мая, 2019 Вопрос есть ли менеджеры торгующие запчастями. И какой трансфер и аналог идёт для импланта с шестигранником 2,2. Похожи ли данные импланты на ренова.Все есть. Там 2 диаметра : 3,75 - зелёный цвет и 4,5- синего цвета. Менеджера надо искать в компании Altra core , которая и занимается Реновой. За частностями пишите в личку Ссылка на комментарий
stommm Опубликовано 22 мая, 2019 Поделиться Опубликовано 22 мая, 2019 Если бы сам знал как решить тогда не спрашивал. Может есть кто работал и работает на этой системе.Не знаю ренова или нет, но Вы возьмёте эти импланты на протезирование? Резорбция уже у многих имплантов, проблемы будут... Ссылка на комментарий
Dr.Stomatolog Опубликовано 22 мая, 2019 Автор Поделиться Опубликовано 22 мая, 2019 Не знаю ренова или нет, но Вы возьмёте эти импланты на протезирование? Резорбция уже у многих имплантов, проблемы будут...От этой работы я сразу отмахнулся, я бы один . Есть ещё ещё пациенты там чуть лучше, и переставлять не хотят. А так я даже не могу понять почему так плохо всё. Ссылка на комментарий
Рекомендуемые сообщения
Для публикации сообщений создайте учётную запись или авторизуйтесь
Вы должны быть пользователем, чтобы оставить комментарий
Создать аккаунт
Зарегистрируйте новый аккаунт в нашем сообществе. Это очень просто!
Регистрация нового пользователяВойти
Уже есть аккаунт? Войти в систему.
Войти