jm3300 Опубликовано 20 мая, 2019 Поделиться Опубликовано 20 мая, 2019 Добрый день. Пациент не мой, причины удаления, а так же о ходе удаления сказать ничего не могу. Известно лишь, что после удаления из лунки получили много зеленоватой жидкости. Удаляли с месяц назад. До сих пор имеется не сильно зияющая дырка. Нужно что то делать или просто ждать пока вторичным затянется. И если имплант планировать- ожидать ли там самостоятельного появления обьема кости? Ссылка на комментарий
Дмитрий Л. Опубликовано 20 мая, 2019 Поделиться Опубликовано 20 мая, 2019 Направьте в члх. 1 Ссылка на комментарий
jm3300 Опубликовано 20 мая, 2019 Автор Поделиться Опубликовано 20 мая, 2019 Направьте в члх.Зачем в члх? Амбулаторно никак? Ссылка на комментарий
Дмитрий Л. Опубликовано 20 мая, 2019 Поделиться Опубликовано 20 мая, 2019 А что именно вы хотите сделать амбулаторно? Ссылка на комментарий
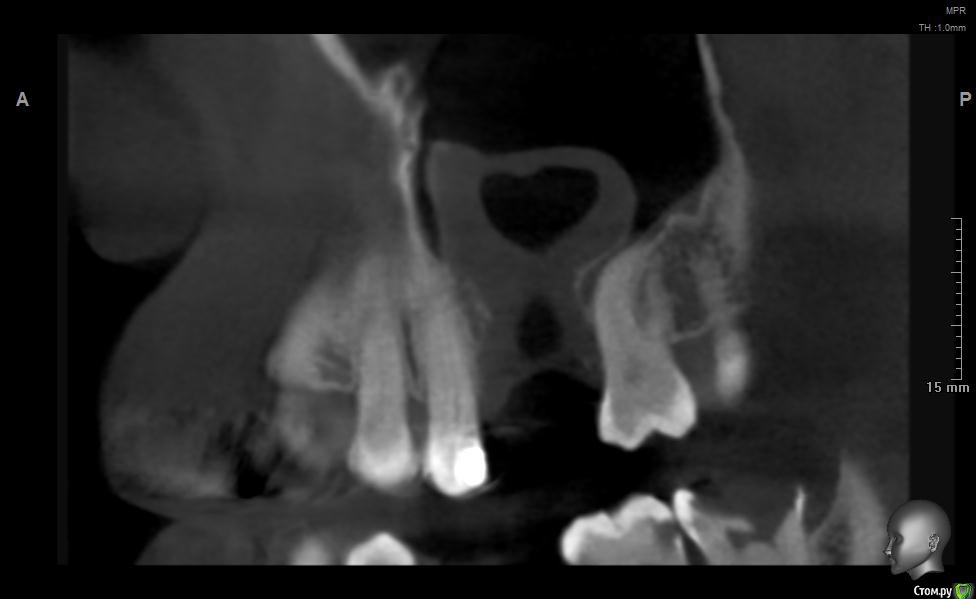
L.E.S.I.K. Опубликовано 20 мая, 2019 Поделиться Опубликовано 20 мая, 2019 Я бы сделал ревизию через лунку, убрал оболочку кисты (похоже что она там осталась, или это эпителий врос - не важно) и провел бы закрытие небным лоскутом. При направлении в ЧЛХ есть вероятность, что наведут "разруху"(по Колддвел-Люк) и пациент получит проблему при дальнейшей реабилитации. З.Ы. На данных срезах не видно остиомеатальный комплекс- крайне желательно, чтобы он был не блокирован. 3 Ссылка на комментарий
Irouil Опубликовано 20 мая, 2019 Поделиться Опубликовано 20 мая, 2019 Я бы дождался эпитлизации (2 месяца), потом 2 варианта: В пазуху свистит - первым этапом разобщить, вторым этапом синусить В пазуху не свистит - сразу синусить Судя по наблюдаемой картине, соустье чистое 2 Ссылка на комментарий
Дмитрий М Опубликовано 21 мая, 2019 Поделиться Опубликовано 21 мая, 2019 месяц прошел, уже ничего не дождетесь, кость там не вырастет т.к. уже пошла эпителизация. так и останется не сильно зияющая дырка только вы видите клиническую картину, поэтому вам решать какой вариант лучше выбрать.в любом случае удалять кисту, оболочку, вероятно будет сообщение, которое необходимо закрывать и по ситуации готовиться к обоим вариантам по снимкам это скорее киста, (прослеживается кортикальная по контуру) 1 Ссылка на комментарий
Дмитрий Л. Опубликовано 21 мая, 2019 Поделиться Опубликовано 21 мая, 2019 Там уже есть сообщение с гайморовой. Возможно не функционирующее. Вяло текущий хронический воспалительный процесс. Ждать мало смысла. Если стремиться сделать всё как можно менее инвазивно, можно пойти по такому пути:1. Недельку попромывать соустье антисептиками. Воспаление стихнет. Десны добавится.2. Расскрыться. Аспирировать слизистую слюноотсосом. Кюретаж, всё через лунку. Если функционирующего соустья не было, оно появится.3. Небный лоскут, чтоб ушить соусье. Сосудосуживающие в нос, антибиотики. Ссылка на комментарий
jm3300 Опубликовано 21 мая, 2019 Автор Поделиться Опубликовано 21 мая, 2019 Ну по КТ и клинически сообщения с пазухой нет. Пациента,кроме наличия самой лунки, вообще ничего не беспокоит. Ссылка на комментарий
Рекомендуемые сообщения
Для публикации сообщений создайте учётную запись или авторизуйтесь
Вы должны быть пользователем, чтобы оставить комментарий
Создать аккаунт
Зарегистрируйте новый аккаунт в нашем сообществе. Это очень просто!
Регистрация нового пользователяВойти
Уже есть аккаунт? Войти в систему.
Войти