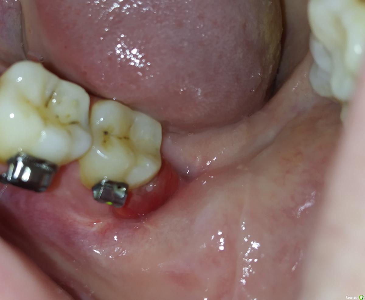
Anastasiamuur Опубликовано 17 мая, 2019 Поделиться Опубликовано 17 мая, 2019 (изменено) 2.04.19 удалили ретинированный зуб мудрости ,28.04 ставили брекеты на НЧ, ортодонт сказал ,что у меня кровит в месте удаления ,я пошла к стоматологу .сделали снимки ,сказали ,что а лунке все хорошо заживает .НО десна в месте удаление красная ,опухшая .Со временем она стала багрово-красной. Кровит ,даже когда дотрагиваюсь щеткой до нее. Ванночки хлоргексидина и Метрогил дента не помогают .отек стал больше за последние 2 недели Изменено 17 мая, 2019 пользователем Anastasiamuur Ссылка на комментарий
red_butler Опубликовано 17 мая, 2019 Поделиться Опубликовано 17 мая, 2019 Сделайте Rg Ссылка на комментарий
Anastasiamuur Опубликовано 17 мая, 2019 Автор Поделиться Опубликовано 17 мая, 2019 Сделайте RgА что это за анализ? Ссылка на комментарий
kramer Опубликовано 17 мая, 2019 Поделиться Опубликовано 17 мая, 2019 Надо лунку почистить да и всё 1 Ссылка на комментарий
Anastasiamuur Опубликовано 17 мая, 2019 Автор Поделиться Опубликовано 17 мая, 2019 Надо лунку почистить да и всёДелали снимок ,сказали ,сто в лунке все отлично ,затягивается ,осколков нет и других посторонних предметов ,альвеолита и ТД тоже нет Ссылка на комментарий
kramer Опубликовано 17 мая, 2019 Поделиться Опубликовано 17 мая, 2019 Делали снимок ,сказали ,сто в лунке все отлично ,затягивается ,осколков нет и других посторонних предметов ,альвеолита и ТД тоже нетСнимок показывает только состояние кости и зубов. Вялотекущий воспалительный процесс мягких тканей не будет виден (кстати покажите снимок). Надо сделать кюретаж лунки. Ссылка на комментарий
red_butler Опубликовано 17 мая, 2019 Поделиться Опубликовано 17 мая, 2019 А что это за анализ?Рентген. Покажите свой снимок Ссылка на комментарий
Anastasiamuur Опубликовано 17 мая, 2019 Автор Поделиться Опубликовано 17 мая, 2019 Снимок показывает только состояние кости и зубов. Вялотекущий воспалительный процесс мягких тканей не будет виден (кстати покажите снимок). Надо сделать кюретаж лунки.Снимка, к сожалению, на руках у меня нет. В клинике в электронном виде остался. Без кюретажа не обойтись? Хирург заглядывал в лунку, сказал, что не хочет пускать кровь... Ссылка на комментарий
Anastasiamuur Опубликовано 17 мая, 2019 Автор Поделиться Опубликовано 17 мая, 2019 Рентген. Покажите свой снимокСнимка на руках нет, распечатку не делала. Ссылка на комментарий
Anastasiamuur Опубликовано 17 мая, 2019 Автор Поделиться Опубликовано 17 мая, 2019 Снимок показывает только состояние кости и зубов. Вялотекущий воспалительный процесс мягких тканей не будет виден (кстати покажите снимок). Надо сделать кюретаж лунки. Причём, я была ни у одного хирурга. У двух. И оба, как один, утверждают, что все хорошо... Ссылка на комментарий
red_butler Опубликовано 18 мая, 2019 Поделиться Опубликовано 18 мая, 2019 Снимка на руках нет, распечатку не делала.Сделайте новый Ссылка на комментарий
Рекомендуемые сообщения
Для публикации сообщений создайте учётную запись или авторизуйтесь
Вы должны быть пользователем, чтобы оставить комментарий
Создать аккаунт
Зарегистрируйте новый аккаунт в нашем сообществе. Это очень просто!
Регистрация нового пользователяВойти
Уже есть аккаунт? Войти в систему.
Войти