Maxkub90 Опубликовано 13 мая, 2019 Поделиться Опубликовано 13 мая, 2019 Добрый Вечер, от второго маляра остался только корень, последнюю стенку удалили пару недель назад. На снимке терапевт сказал что не может определить можно восстановить зуб или нет, я обратился к специалисту он сказал что зуб спасти не удастся. Стоит вопрос что дальше делать, с у меня частые рецедивы стоматита особенно в периоды с низким иммунитеом, сейчас прямо стоматит на стоматит, один за другим и лечатся оч долго, более 2ух недель, думаю нет сомнентй то что происходит в этом зубе влияет на их появления + естественно ужасный запах из ротовой полости. Вопросы такие-зуб спасти точно нельзя? Для того что бы определить можно ли сделать одномоментную имплантацию нужно сначала удалить зуб, что бы было виден объем кости? И можно ли проводить все эти манипуляции в период наличия стоматита во рту? Ссылка на комментарий
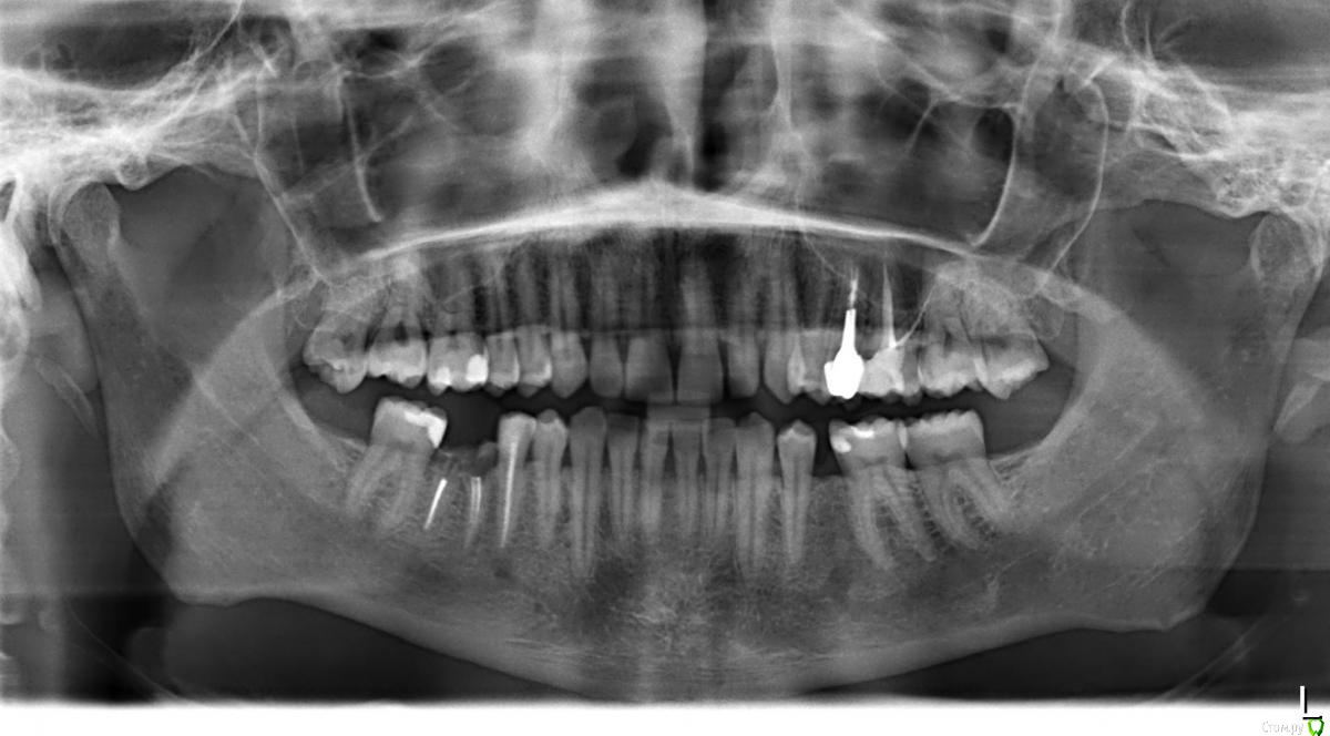
Maxkub90 Опубликовано 13 мая, 2019 Автор Поделиться Опубликовано 13 мая, 2019 (изменено) Забыл рентген Изменено 13 мая, 2019 пользователем Maxkub90 Ссылка на комментарий
Bier Опубликовано 13 мая, 2019 Поделиться Опубликовано 13 мая, 2019 Зуб на удаление. Верхние 8ки - тоже. Можно пересадить кстати. Верхний в нижний. Ссылка на комментарий
Maxkub90 Опубликовано 14 мая, 2019 Автор Поделиться Опубликовано 14 мая, 2019 Зуб на удаление. Верхние 8ки - тоже. Можно пересадить кстати. Верхний в нижний.Благодарю вас)Еще хотелось бы узнать как врач определяет состояние кости и возможна ли одномоментная имплантация, все зависит от того насколько аккуратно удалили зуб? Ссылка на комментарий
Bier Опубликовано 15 мая, 2019 Поделиться Опубликовано 15 мая, 2019 в вашем случае возможно сразу ставить. По снимку определяет состояние кости. Ссылка на комментарий
Рекомендуемые сообщения
Для публикации сообщений создайте учётную запись или авторизуйтесь
Вы должны быть пользователем, чтобы оставить комментарий
Создать аккаунт
Зарегистрируйте новый аккаунт в нашем сообществе. Это очень просто!
Регистрация нового пользователяВойти
Уже есть аккаунт? Войти в систему.
Войти