Dashik Опубликовано 8 мая, 2019 Поделиться Опубликовано 8 мая, 2019 Добрый день всем присутствующим на форуме! 21 апреля установила имплантат Aстра Тек 3,5 мм в диаметре и 8 мм длиной в районе 15 зуба. Операция проводилась безлоскутным методом, длилась 20 мин., крови толком не было, после была установлена заглушка без формирования лоскута (ФДМ ставить вообще не будет, потом сразу абатмент), швов не было, и десна проколота траумгелем. Антибиотики назначены не были, обезволивающие по необходимости. Найз я не пила, т.к. не было боли, мазала место операции Метрогил Дентой и капала в нос три раза в день. Заложенность носа сохранялась в правой ноздре в течение 6 дней, каплей хватало только на час. На 4-й день поднялась температура 37,3 градусов, заныло в месте имплантата, приняла ибупрофен. На 5-й день была на осмотре, врач сказал, что все отлично, отпустил. Сейчас волнуют следующие вопросы: Уже 1,5 недели держится очень низкая температура в районе 35,2-35,8 градусов. После прогулки по лесу температура повышается до 35,8, потом опять падает до 35,2. Питаюсь фруктами, овощами, рыбой. Шоколада съела за эту неделю столько, сколько за весь год не ела. Самочувствие не очень. Про повышенную температуру все понятно, а что делать с такой низкой? Это нормальное состояние после имплантации? Прошло 2,5 недели, никаких признаков зарастания заглушки. Я правильно понимаю, что заглушка должна быть скрыта в десне, в отличие от ФДМ, и мне врач не докрутил имплантат? Нужно ли теперь, спустя столько времени, с неба брать кусочек и закрывать заглушку? Я так понимаю, она уже и не зарастёт самостоятельно. Не опасно ли, так ходить 4 месяца, врач сказал: «Не обижайся, но буду тянуть до последнего»? В другой теме прочитала, что на открытой заглушке будут постоянно скапливаться остатки пищи, как бы я не чистила зубы, что может вызвать воспаление. Также вопрос с эстетикой очень волнует. 1 1 Ссылка на комментарий
red_butler Опубликовано 8 мая, 2019 Поделиться Опубликовано 8 мая, 2019 http://forum.stom.ru/topic/20613-sovety-patcientam-obiazatelno-k-prochteniiu/ Ссылка на комментарий
Dashik Опубликовано 9 мая, 2019 Автор Поделиться Опубликовано 9 мая, 2019 Есть снимок только 2-летней давности, прикрепляю ниже. После операции никаких снимков не делалось, врач сказал, что нужно будет сделать через 2 месяца. 1 1 Ссылка на комментарий
red_butler Опубликовано 9 мая, 2019 Поделиться Опубликовано 9 мая, 2019 Сделайте прицельный снимок Ссылка на комментарий
Dashik Опубликовано 16 сентября, 2019 Автор Поделиться Опубликовано 16 сентября, 2019 Добрый день, уважаемые стоматологи!Имплантация проводилась 5 месяцев назад без 3 трех дней. До сих пор хожу с заглушкой, мой врач не спешит продолжать лечение. Сегодня сделала снимок имплантата.Хотелось услышать ваше мнение, и ответы на вопросы, заданные вначале темы.Заранее спасибо! Ссылка на комментарий
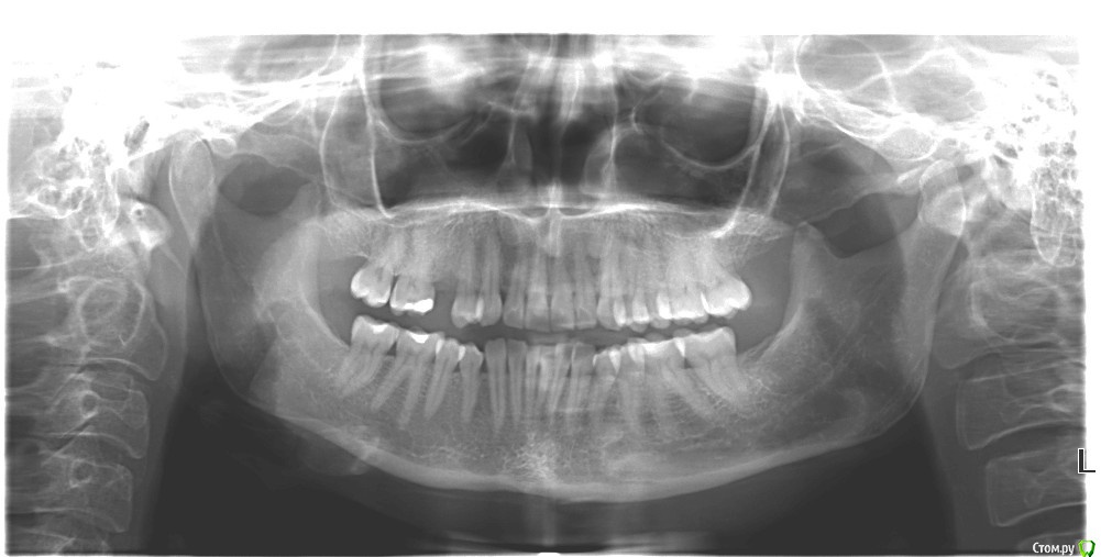
Dashik Опубликовано 17 сентября, 2019 Автор Поделиться Опубликовано 17 сентября, 2019 Такая тишина! Снимок не информативный? Есть ещё серенький, рентгенолог поиграл с контрастом. Или так всё плохо? Я так понимаю, что произошла резорбция кости у шейки имплантата рядом с 14 зубом? Имплантат выкручивать? Лечащий врач в отпуске до октября. Ссылка на комментарий
dok1 Опубликовано 17 сентября, 2019 Поделиться Опубликовано 17 сентября, 2019 Прошло прилично времени. В идеале срезы томограммы по оси импланта желательны. Этот снимок неинформативен. Какие либо жалобы на дискомфорт есть? Ссылка на комментарий
dok1 Опубликовано 17 сентября, 2019 Поделиться Опубликовано 17 сентября, 2019 По этому снимку о резорбции говорить сложно. Ссылка на комментарий
Dashik Опубликовано 18 сентября, 2019 Автор Поделиться Опубликовано 18 сентября, 2019 17.09.2019 в 20:02, dok1 сказал: Прошло прилично времени. В идеале срезы томограммы по оси импланта желательны. Этот снимок неинформативен. Какие либо жалобы на дискомфорт есть? Очень низкая температура, с утра 35,1 и поднмающаяся к вечеру до 35,7. С сентября начало поднывать в зоне имплантата, дискомфорт не постоянный, в разное время суток, длительность от 1 часа до несколько часов, потом само собой проходит. Эти 5 месяцев постоянно сижу на травяных чаях, никакого черного чая, только ромашка, шалфей, ладанник и прочее. 2 сентября была у врача на осмотре, поковырял крючком заглушку, сказал, что тут смотреть нечего. Отправил. Ссылка на комментарий
dok1 Опубликовано 19 сентября, 2019 Поделиться Опубликовано 19 сентября, 2019 Выложите снимок прицельный хорошего качества, как писали коллеги выше Ссылка на комментарий
Dashik Опубликовано 19 сентября, 2019 Автор Поделиться Опубликовано 19 сентября, 2019 19.09.2019 в 04:30, dok1 сказал: Выложите снимок прицельный хорошего качества, как писали коллеги выше А как узнать какого он качества? Мой врач сделал только один снимок 23 июня, снимок остался на его компьютере, попросила скинуть на почту, ответа не получила, сфоткать тоже не дал, сказал: "Давай потом, не до этого, снимок сейчас искать". Я сходила в только что открывшуюся клинику, подумала, что там оборудование должно быть точно хорошим. Есть ещё такой снимок. Мне сходить туда заново и попросить поменять на нужные настройки? А какой тогда должен быть контраст? Ещё снимки весят 4,5 Мбайт, я их ужимаю до разрешенного размера. Ссылка на комментарий
red_butler Опубликовано 19 сентября, 2019 Поделиться Опубликовано 19 сентября, 2019 19.09.2019 в 09:01, Dashik сказал: Есть ещё такой снимок. на этом снимке все нормально Ссылка на комментарий
Dashik Опубликовано 1 октября, 2019 Автор Поделиться Опубликовано 1 октября, 2019 Добрый день, уважаемые стоматологи! В воскресенье 29 Сентября установили ФДМ. Сегодня 3 день, беспокоят следующие симптомы: Язык упирается прямо на часть формирователя, вызывая огромный дискомфорт. На языке вчера было только покраснение, а сегодня отпечаток круглой формы, это место болит, как при образовании язвочек на языке при стоматите. В течение дня пытаюсь язык класть на левую часть зубов или на нижнюю челюсть, но ночью и во время еды я этот процесс контролировать не могу. В первый день этот кусочек языка даже немел, передавая боль по всей правой части лица. Из-за постоянного прикосновения языка с металлом появился привкус металла во рту, особенно обостряется после питья простой воды и еды (в связи с этим стараюсь особо ничего не есть). Общее самочувствие не очень, первая ночь была бессонной из-за сильной боли в челюсти, врачу пришлось потрудиться в выкручивании заглушки. Сначала хотел даже без анестезии выкручивать, да не тут-то было. Таблетки не принимаю, предписаний никаких не было. Вчера и сегодня постельный режим. Боли перешли на тянущие, ноет вся правая часть лица. Можно ли что-то сделать с этим дискомфортом, чтобы больше не натирало язык? Или, стиснув зубы, терпеть боль до начала протезирования? Нужен ли мне вообще теперь формирователь, после того, как я отходила с заглушкой 5 месяцев? И почему он так неровно стоит, разве он не должен быть как-то посередине и не мешать естественному положению языка? Да и вообще, десна вещь капризная, нарастет ли там теперь спустя столько времени? Ссылка на комментарий
Irouil Опубликовано 1 октября, 2019 Поделиться Опубликовано 1 октября, 2019 Судя по снимкам, формирователь с небной стороны расположен на одном уровне с рядом стоящими зубами. Если он Вам и мешает, то только потому, что язык привык к "дырке" в этом месте. Со временем должно пройти. Ссылка на комментарий
Dashik Опубликовано 5 октября, 2019 Автор Поделиться Опубликовано 5 октября, 2019 Добрый вечер, всем присутствующим на форуме!Сегодня неделя после установки формирователя. Пытаюсь привыкнуть к формирователю. Чтобы не натирало язык, который упирается о край шляпки формирователя, прикрепляю шарик из восковой полоски для брекетов, помогает, язык проходит, если не прикрепляю, опять ранка появляется. Можно воск клеить или все-таки не стоит? Со вчерашнего утра появилась боль при нажатии на формирователь. Посмотрела в зеркало, там увидела оголившуюся шейку то ли имплантата, то ли ножку формирователя с нёбной стороны на 2-3 мм от шляпки. Что это: шейка имплантата или формирователь? Это нормальное явление, и ещё рано времени прошло для заживления? Сегодня проснулась в 5 утра от тянущей боли в области имплантата, оголённый металл был покрыт белой плёнкой, поласкаю шалфеем. Фото не выкладываю, очень плохое качество, ничего не видно. Сегодня начала забиваться пища под шляпку формирователя. Ем только 2 раза в день: с утра кашу гречневую, вечером суп пюрированный из тыквы, так как привкус металл сохраняется и усиливается с пищей и водой. Беспокоит ноющая боль, чувство остатков пищи под шляпкой в деснах и скачущая температура, за день может скакать от 35,1 до 37,3. Формирователь стоит вплотную к 16 зубу, нить не пролезает, еду не могу оттуда вычистить. Не подскажите, пожалуйста, если кто знает, можно ли использовать ирригатор через 7 дней с моими симптомами? И как эту еду вычищать? К своему врачу в среду. Ссылка на комментарий
Рекомендуемые сообщения
Для публикации сообщений создайте учётную запись или авторизуйтесь
Вы должны быть пользователем, чтобы оставить комментарий
Создать аккаунт
Зарегистрируйте новый аккаунт в нашем сообществе. Это очень просто!
Регистрация нового пользователяВойти
Уже есть аккаунт? Войти в систему.
Войти