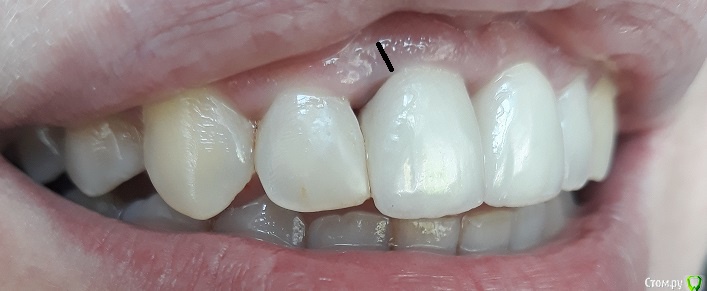
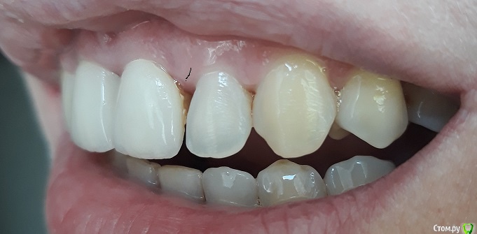
nata* Опубликовано 1 мая, 2019 Поделиться Опубликовано 1 мая, 2019 Добрый день. 5 лет назад на правую 1 ставила коронку, а на левую 1 винир. Изначально между левым виниром и 2-ой была щель, и туда цепляется налет. На правой коронке между коронкой и десной - потемнение( почему потемнение, раньше не замечала?). Что можно сделать? Спасибо. Ссылка на комментарий
AndyAndy Опубликовано 1 мая, 2019 Поделиться Опубликовано 1 мая, 2019 Если есть возможность, снимки предоставьте. Винир я бы переделал, возможно на коронку, возможно из того же материала что и винир На правом резце заметного потемнения не видно по вашей фото. Там нужно проверить прилегание коронки к зубу (это делает врач посредством зондирования и рентгенконтроля), и решить менять или нет Ссылка на комментарий
nata* Опубликовано 1 мая, 2019 Автор Поделиться Опубликовано 1 мая, 2019 Спасибо большое за ответ. На днях заберу из клиники снимок, ортопантограмму, и выложу. Ссылка на комментарий
Рекомендуемые сообщения
Для публикации сообщений создайте учётную запись или авторизуйтесь
Вы должны быть пользователем, чтобы оставить комментарий
Создать аккаунт
Зарегистрируйте новый аккаунт в нашем сообществе. Это очень просто!
Регистрация нового пользователяВойти
Уже есть аккаунт? Войти в систему.
Войти