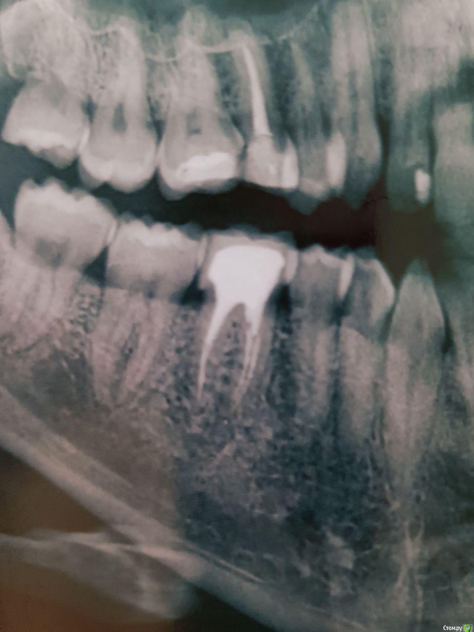
kungfucius Опубликовано 30 апреля, 2019 Поделиться Опубликовано 30 апреля, 2019 (изменено) Здравствуйте! Менее года назад ставил коронку на нижнюю шестерку. Где-то через полгода стало больно кусать что-либо твердое. Косточки от смородины или малины и кусочки черного перца вызывают боль. Иногда чувствую этот зуб от вибрации голоса когда говорю, иногда когда дотрагиваюсь до щеки. Стоматолог, который ставил коровку говорит, что он болеть не должен и с ним все нормально. Насколько хорошо запломбированы каналы (канал, который на снимке справа) и в чем еще может быть причина? Фото прилагаю: Изменено 30 апреля, 2019 пользователем kungfucius Ссылка на комментарий
red_butler Опубликовано 30 апреля, 2019 Поделиться Опубликовано 30 апреля, 2019 На пятом зубе нет коронки. Шестой нужно сделать прицельный снимок или Кт 1 Ссылка на комментарий
kungfucius Опубликовано 30 апреля, 2019 Автор Поделиться Опубликовано 30 апреля, 2019 (изменено) На пятом зубе нет коронки. Шестой нужно сделать прицельный снимок или КтПрошу прощения. Исправил. Спасибо за ответ. Изменено 30 апреля, 2019 пользователем kungfucius Ссылка на комментарий
Рекомендуемые сообщения
Для публикации сообщений создайте учётную запись или авторизуйтесь
Вы должны быть пользователем, чтобы оставить комментарий
Создать аккаунт
Зарегистрируйте новый аккаунт в нашем сообществе. Это очень просто!
Регистрация нового пользователяВойти
Уже есть аккаунт? Войти в систему.
Войти