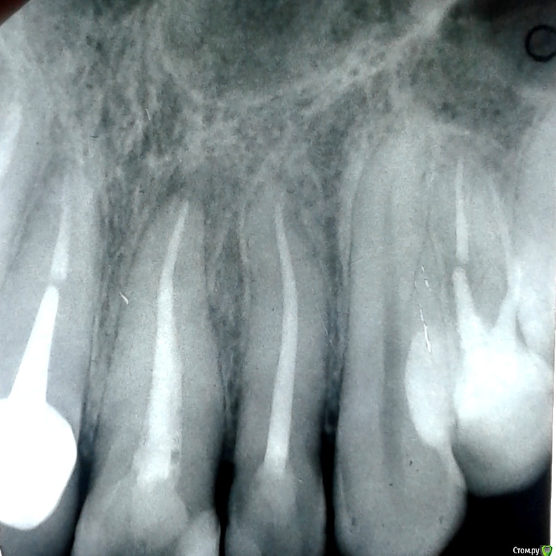
Евгения Григорьева Опубликовано 29 апреля, 2019 Поделиться Опубликовано 29 апреля, 2019 Киста на первом зубе рядом с коронкой (и возможно на втором?) Не беспокоила вообще, в конце марта возникла острая боль именно в нем. Снимок сделан до начала лечения. По обращении врач прочистил канал, поставил метапекс на неделю под временную (розовую) пломбу. От метапекса зуб ныл (м.б. аллергия, но это неважно). После этого проверил сиреневым штифтом (не знаю, как называется) нет ли воспаления - его не было. Поставил коласепт на две недели, тоже под розовую пломбу. После этого опять проверил сиреневым штифтом - он обесцветился (врач сказал "значит есть воспаление") и опять поставил коласепт под розовую пломбу, теперь на три недели. Нормально ли по времени такое длительное лечение воспаления, да еще и под розовой пломбой? Оба раза после коласепта ощущение сладковатого геля во рту между первым и вторым зубом (но не на месте пломбы). Это протечка или эффект от вмешательства? Целесообразно ли найти клинику с депофорезом? Нужно ли лечить второй и нужно ли делать это сейчас, одновременно с первым? Ссылка на комментарий
DmitrySH Опубликовано 30 апреля, 2019 Поделиться Опубликовано 30 апреля, 2019 Целесообразно ли найти клинику с депофорезом? этот метод не работает. Нормально ли по времени такое длительное лечение воспаления, да еще и под розовой пломбой? Время лечения каждого отдельного зуба рассматривается из условий состояния самого зуба. Лечение периодонтита может быть длительным если нет условий для пломбирования корневого канала. Ссылка на комментарий
Евгения Григорьева Опубликовано 1 мая, 2019 Автор Поделиться Опубликовано 1 мая, 2019 Большое спасибо! Ссылка на комментарий
Рекомендуемые сообщения
Для публикации сообщений создайте учётную запись или авторизуйтесь
Вы должны быть пользователем, чтобы оставить комментарий
Создать аккаунт
Зарегистрируйте новый аккаунт в нашем сообществе. Это очень просто!
Регистрация нового пользователяВойти
Уже есть аккаунт? Войти в систему.
Войти