Перейти к содержанию
Стоматология для всех

Нужна ли вестибулопластика?


Рекомендуемые сообщения

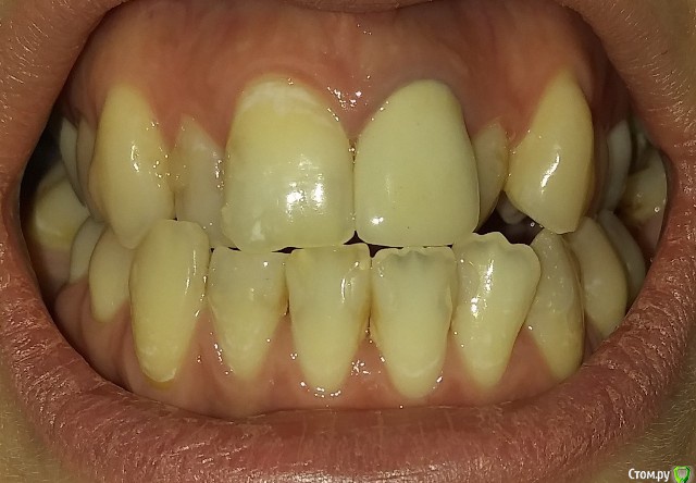
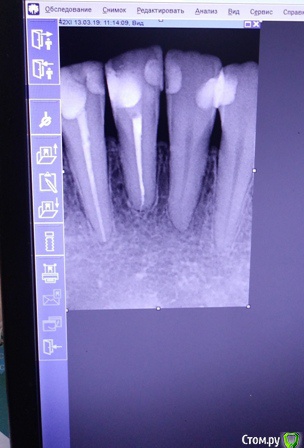
Есть рецессии на нижних зубах и на верхнем клыке слева и резорбция. Ортодонты говорят, что это последствия неправильного прикуса, травмирующего смыкания и с брекетами все стабилизируется, но из-за движения зубов может и усугубиться, как повезет. Вестибулопластику никто не предлагал, а один вообще сказал, что в моем случае она бесполезна. У хирурга-парадонтолога другое мнение: нужно сделать сначала операцию на нижних зубах (углубить преддверие, устранить тяжи и положить какой-то там замещающий материал), а потом поставить брекеты, иначе без операции брекеты спровоцируют еще большее оголение и рецессии станут просто огромными.  А после брекетов уже закрывать, если нужно, рецессии.  Прошу поделиться вашим мнением? В чем причина рецессий и резорбции? Поможет ли в моем случае вестибулопластика? 

post-56391-0-48716900-1556554116_thumb.jpg

post-56391-0-38396100-1556554124_thumb.jpg

post-56391-0-52196900-1556554131_thumb.jpg

post-56391-0-03466800-1556554137_thumb.jpg

post-56391-0-05330000-1556554142_thumb.jpg

post-56391-0-87685500-1556554179_thumb.jpg

post-56391-0-42435100-1556554185_thumb.jpg

post-56391-0-60864400-1556554190_thumb.jpg

Ссылка на комментарий

Спасибо за ответ. То есть можно (нужно) ставить брекеты, и ситуация не усугубится? И никакие предварительные вмешательства не нужны?

Ссылка на комментарий

Для публикации сообщений создайте учётную запись или авторизуйтесь

Вы должны быть пользователем, чтобы оставить комментарий

Создать аккаунт

Зарегистрируйте новый аккаунт в нашем сообществе. Это очень просто!

Регистрация нового пользователя

Войти

Уже есть аккаунт? Войти в систему.

Войти
×
×
  • Создать...
Вверх