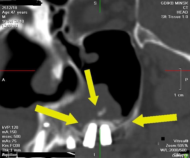
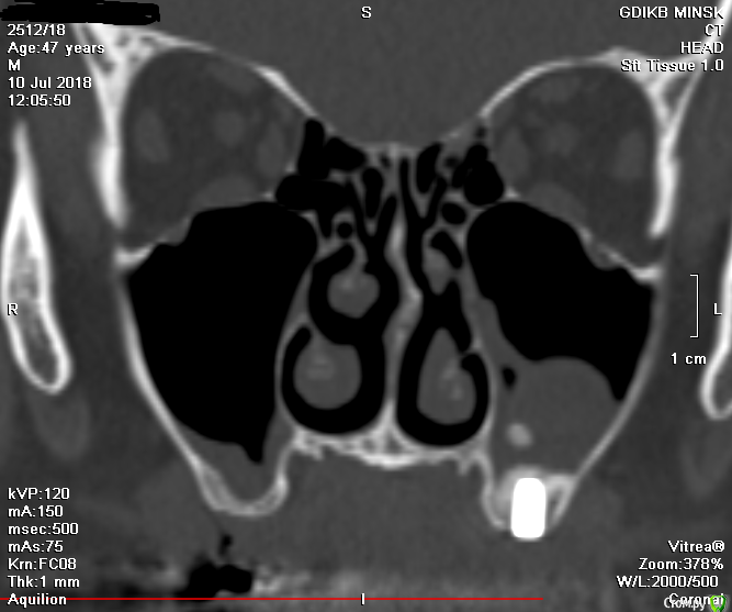
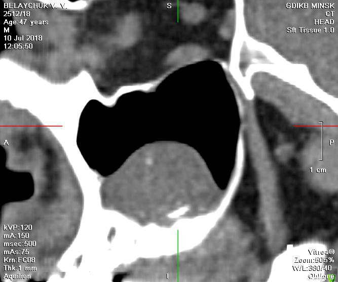
V20 Опубликовано 28 апреля, 2019 Поделиться Опубликовано 28 апреля, 2019 (изменено) Доброго времени суток , помогите пожалуйста разобраться с ситуацией.В мае 2018 года был проведен синус лифтинг с одновременной установкой 3 имплантов, Спустя 5-7 дней на фоне приема антибиотиков(Аугментин), развился левосторонний гайморит. Прошел курс консервативного лечения, пазуха успокоилась.Было решено протезироваться . В феврале 2019 года при откручивании ФД выкрутился имплант (по центру ) и образовался свищ, . Была сделана пластика свища. Сообщение закрылось.На настоящий момент сохраняется чуть заметная припухлость щеки в проекции пазухи и немного поднывает десна.(больше в районе крайнего импланта) На ощупь языком в месте соприкосновения десны и щеки небольшая припухлость ( похоже по проекции разреза).Что интересно с утра десна не болит начинается дискомфорт чуть позже. Уважаемые доктора , помогите пожалуйста в дальнейшей тактике - мнения врачей кардинально расходятся(снимки через неделю после синус лифтинга Снимок 3 месяца назад после консервативного лечения у ЛОРа Последний снимок (2 месяца назад) И еще хотелось бы услышать Ваше мнение о импланте на месте 24 зуба Заранее спасибо. Изменено 28 апреля, 2019 пользователем V20 Ссылка на комментарий
Bier Опубликовано 29 апреля, 2019 Поделиться Опубликовано 29 апреля, 2019 сейчас там синусит, я бы влез туда, посмотрел. Ссылка на комментарий
V20 Опубликовано 30 апреля, 2019 Автор Поделиться Опубликовано 30 апреля, 2019 Влезли бы каким методом? Раскрыть все как при синус листинге? Дело доктор в том ,что хирург когда делал пластику свища, перед ушиванием лоскута шерудил- шкоябал там чем то, через свищ , и сказал что все что было плохое таи вычистил. И сказал что вкрутит имплант на месте 8 ки и будем ставить мост... 2 скажите если все там чистить, при отсутствии кости не появится ли опять там свищ? Очень переживаю . Спасибо. Ссылка на комментарий
Bier Опубликовано 1 мая, 2019 Поделиться Опубликовано 1 мая, 2019 Я бы раскрыл как при синуслифтинге, чтобы оценить что там такое. По КТ все не очень хорошо. Ссылка на комментарий
V20 Опубликовано 1 мая, 2019 Автор Поделиться Опубликовано 1 мая, 2019 (изменено) Я бы раскрыл как при синуслифтинге, чтобы оценить что там такое. По КТ все не очень хорошо.Доктор, не могли бы вы уточнить что именно нехорошо, просто лечащие стоматологи говорят что кроме синусита все норма... Изменено 1 мая, 2019 пользователем V20 Ссылка на комментарий
Bier Опубликовано 1 мая, 2019 Поделиться Опубликовано 1 мая, 2019 синусит и есть не хорошо. У него есть причина. 1 Ссылка на комментарий
V20 Опубликовано 16 мая, 2019 Автор Поделиться Опубликовано 16 мая, 2019 синусит и есть не хорошо. У него есть причина.Здравствуйте! Пойду настаивать на ревизии,хотел бы услышать еще Ваше мнение по поводу импланта рядом с клыком (не в пазухе ли он) и еще если удалять дальний имплант, (там где был синус лифтинг) что делать если образуется сообщение между пазухой, опять лоскутным методом или по свежему достаточно просто ушить лункку? Ссылка на комментарий
Рекомендуемые сообщения
Для публикации сообщений создайте учётную запись или авторизуйтесь
Вы должны быть пользователем, чтобы оставить комментарий
Создать аккаунт
Зарегистрируйте новый аккаунт в нашем сообществе. Это очень просто!
Регистрация нового пользователяВойти
Уже есть аккаунт? Войти в систему.
Войти