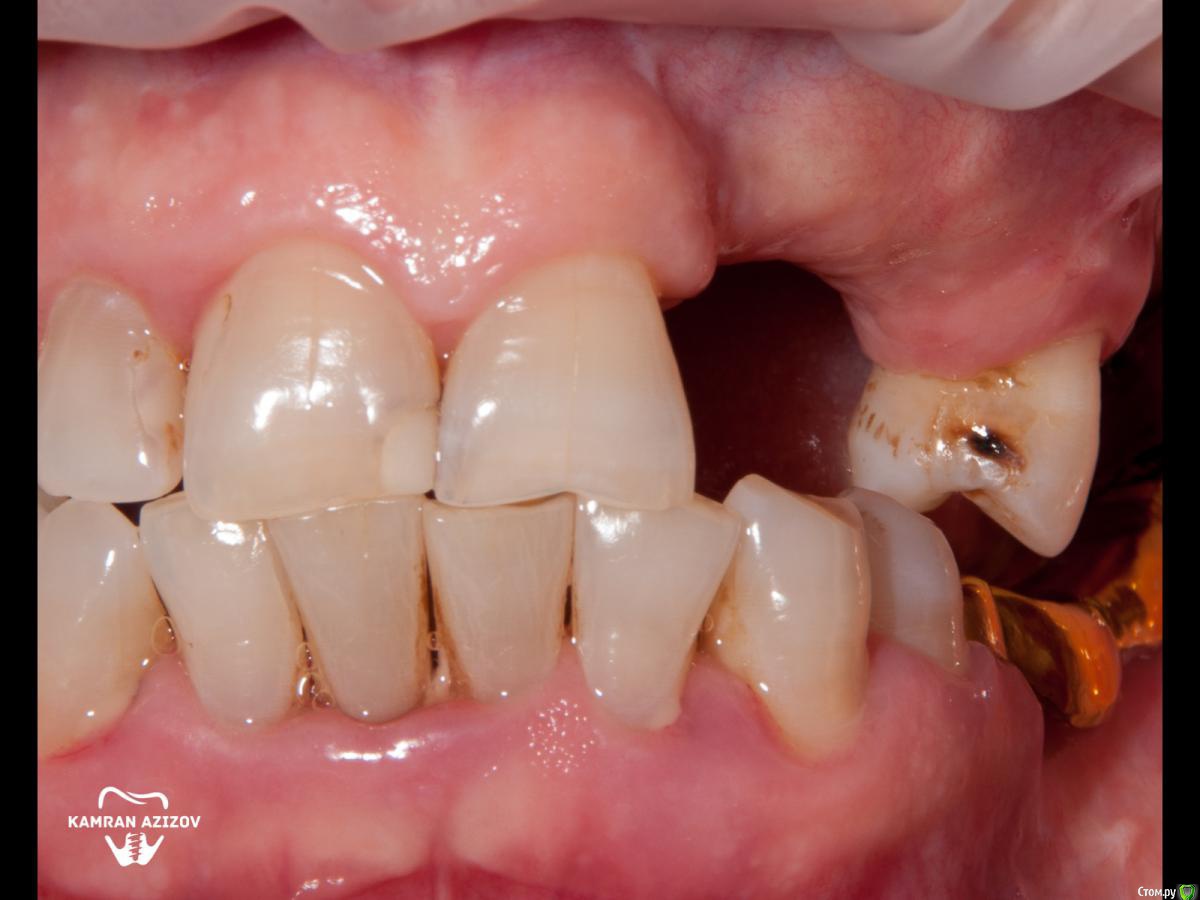
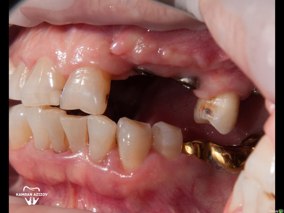
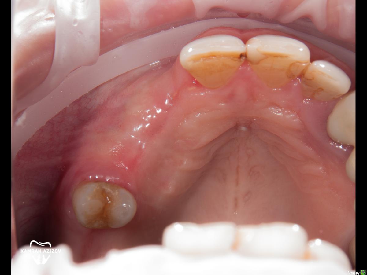
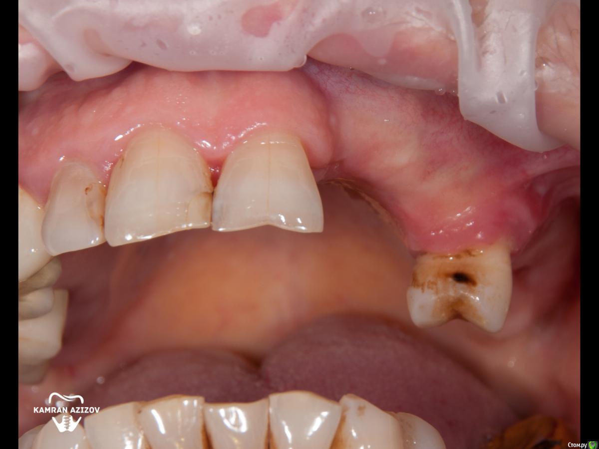
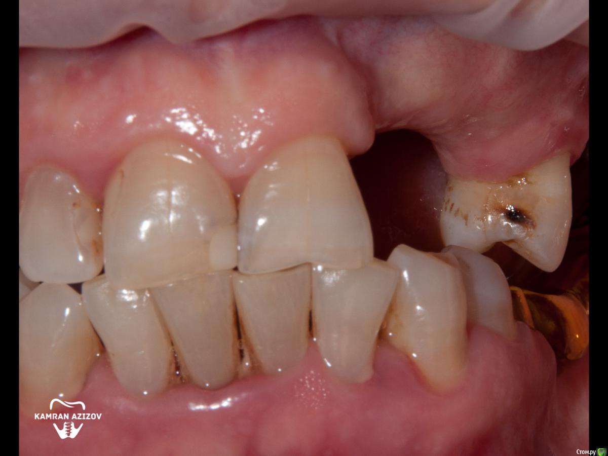
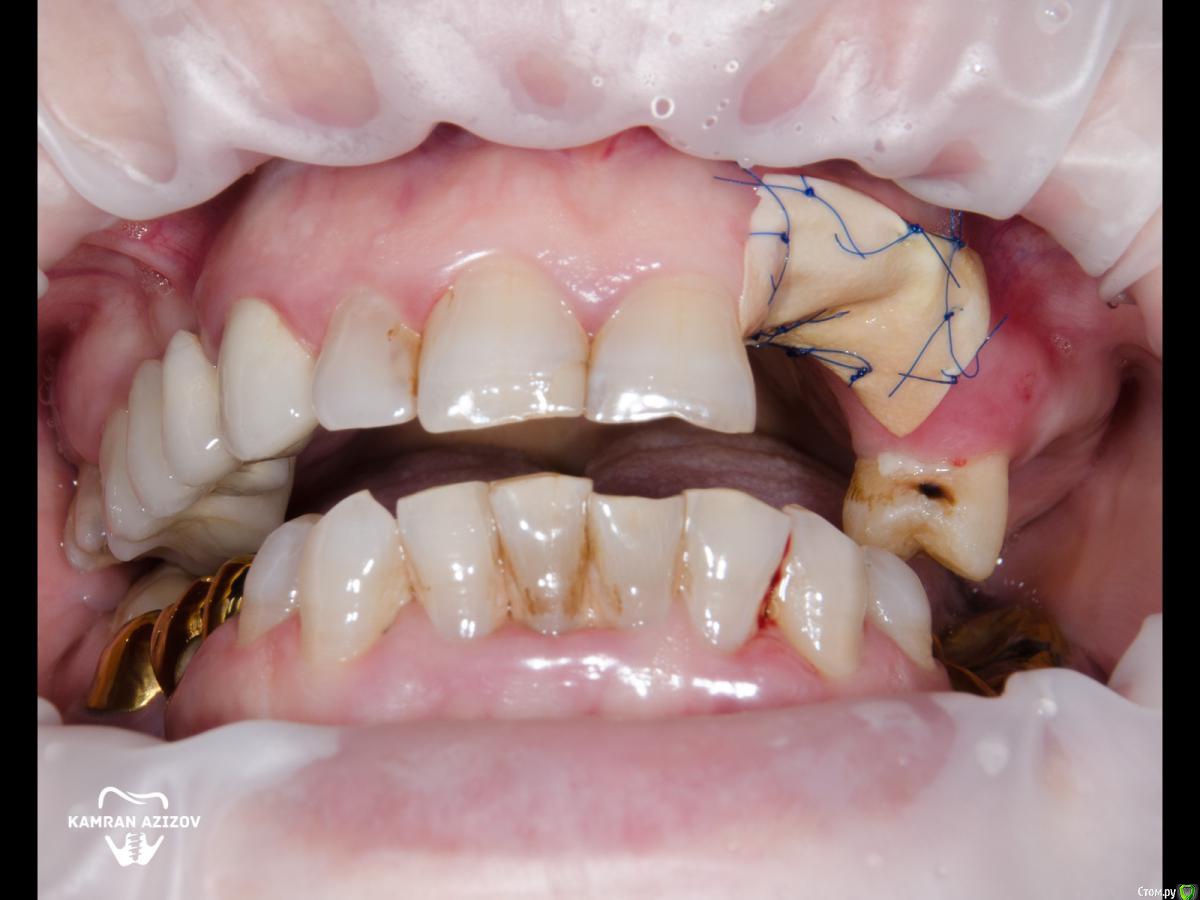
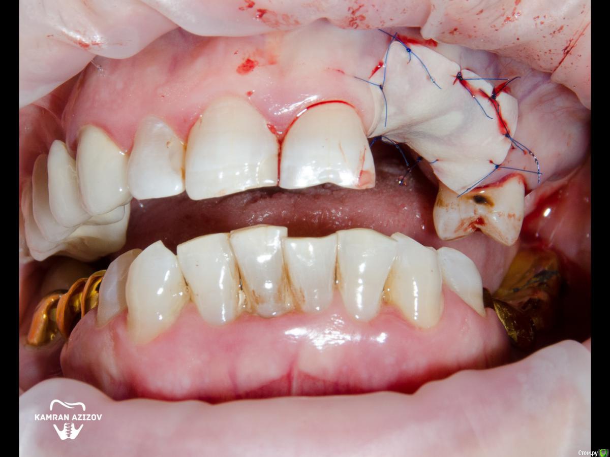
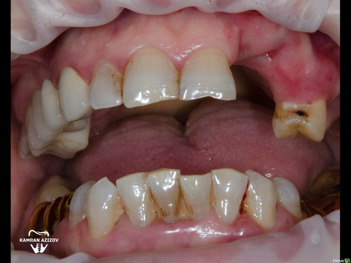
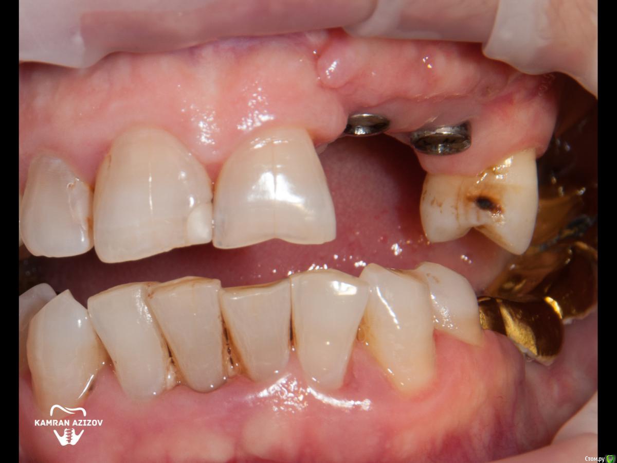
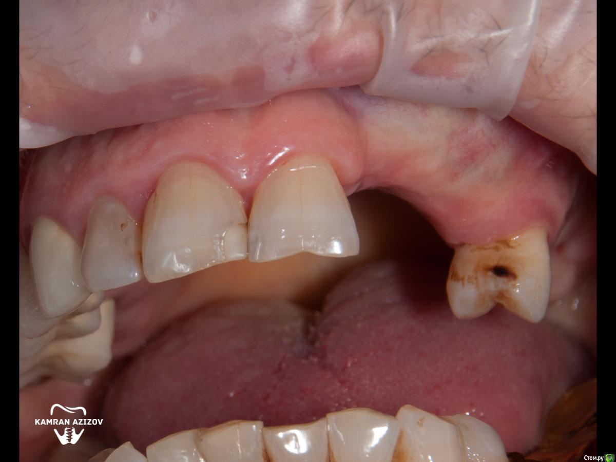
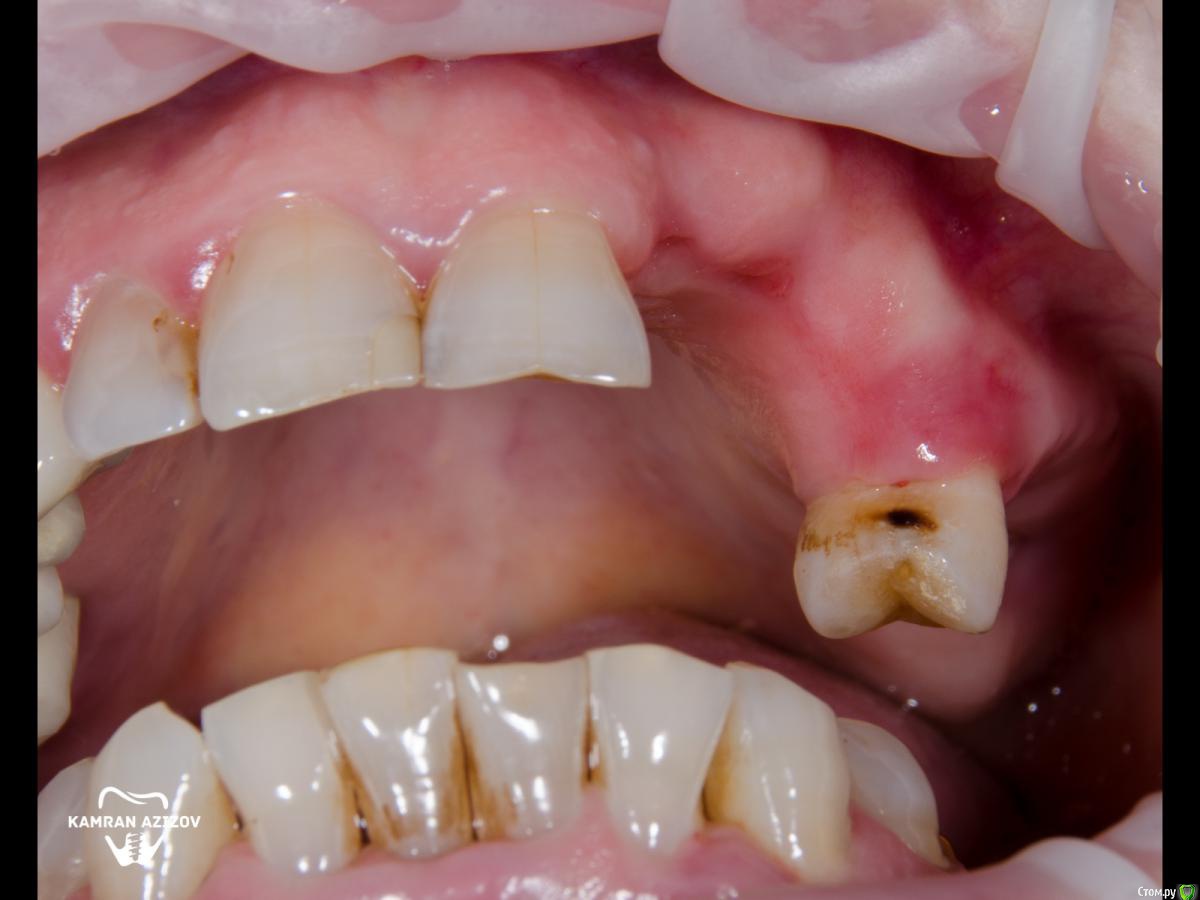
kamranchick Опубликовано 25 апреля, 2019 Поделиться Опубликовано 25 апреля, 2019 Реабилитация длиною в год. Удаление Через 2 месяца НКРЧерез 6 месяцев Имплантация Через 4 месяца Работа с мягкими тканями 4 Ссылка на комментарий
Nazim_NV86 Опубликовано 25 апреля, 2019 Поделиться Опубликовано 25 апреля, 2019 Остались времяшки и ждать пока мяско наползёт и разровняется. Ссылка на комментарий
kamranchick Опубликовано 26 апреля, 2019 Автор Поделиться Опубликовано 26 апреля, 2019 ну да) ну врядли что то можно будет выдавить, маловато тканей я думаю Ссылка на комментарий
егорджан Опубликовано 26 апреля, 2019 Поделиться Опубликовано 26 апреля, 2019 На сетку надо было закинуть сразу с жирком! Ссылка на комментарий
Рекомендуемые сообщения
Для публикации сообщений создайте учётную запись или авторизуйтесь
Вы должны быть пользователем, чтобы оставить комментарий
Создать аккаунт
Зарегистрируйте новый аккаунт в нашем сообществе. Это очень просто!
Регистрация нового пользователяВойти
Уже есть аккаунт? Войти в систему.
Войти