Перейти к содержанию
Стоматология для всех

Имплант или всё же лечение? SOS


Рекомендуемые сообщения

Здравствуйте. Ситуация долгая, но попробую изложить очень кратко. 

 

Откололся кусочек запломбированного зуба (6-го), совсем немного. Решила, что залить пломбой лучше, чем просто подточить. Ох, как же я ошибалась...

После пломбировки я узнала, что такое болят зубы. Вернулась в клинику, сделали рентген, погрешили на пульпу, что не так далеко до неё. Анестезия не сработала, поставили мышьяк, ну и он не помог, вкололи другую анестезию - удалили, запломбировали. Из-за того что я менее чувствительна к болям, решила перепроверить в другой клинике, где выяснилось, что у меня не запломбирован канал на более 2мм, не герметичная пломба, не анатомическая - вернулась, признали лечение некорректным, уволили врача, заменив на "более лучшего", сделал рентген, перелечил каналы - переборщив с пломбировочным материалом, началось воспаление, назначил ибупрофен на 3 дня, переделывали каналы раза 3, один раз с анестезией, два раза без рентгена и анестезии. 

 

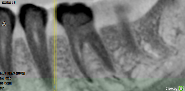
В общем, сходила я в другую клинику, сделали рентген, посмотрели, выписали антибиотики, дали месяц зубу, коронку на него нельзя, и по их словам даже если выживет, то около года протянет. На сегодняшний день, изменения не особо: в определенном смыкании боль осталась, бывает даже от прикосновения к зубу, не сильная, либо я за полгода лечения привыкла к ней. На днях сделала 3д снимок, хотелось бы узнать мнение профи: делать имплант, одноэтапный? надо наращивать кость? или всё же ещё раз перелечить зуб?

post-57643-0-51490300-1555936940_thumb.png

post-57643-0-56729500-1555936944_thumb.png

post-57643-0-17270100-1555936949_thumb.png

post-57643-0-20629800-1555936953_thumb.png

Ссылка на комментарий

 

 

На днях сделала 3д снимок, хотелось бы узнать мнение профи: делать имплант, одноэтапный? надо наращивать кость? или всё же ещё раз перелечить зуб?

Где делать? С таким опытом я бы не рискнул возвращаться в такую шарашкину контору 

Ссылка на комментарий

Для публикации сообщений создайте учётную запись или авторизуйтесь

Вы должны быть пользователем, чтобы оставить комментарий

Создать аккаунт

Зарегистрируйте новый аккаунт в нашем сообществе. Это очень просто!

Регистрация нового пользователя

Войти

Уже есть аккаунт? Войти в систему.

Войти
×
×
  • Создать...
Вверх