Перейти к содержанию
Стоматология для всех

Пломбировочный материал "невидимка"


ТатьянаS

Рекомендуемые сообщения

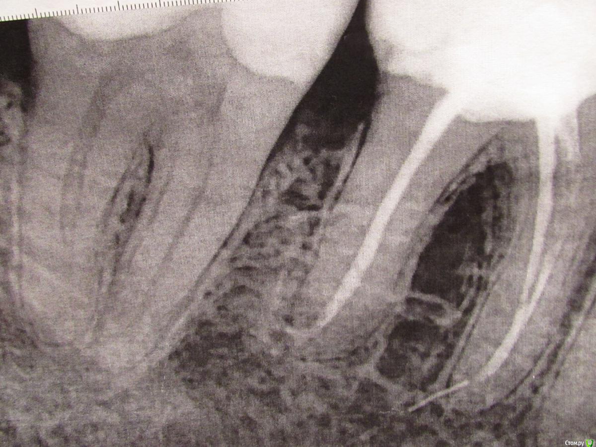
Подскажите, пожалуйста, действительно ли бывает такой пломбировочный материал для коней, который не виден на рентгеновских снимках? Я делала протезирование коронками с металлическими культевыми вкладками. Когда примеряли вкладки, доктор спиливал длинную "ножку". Зачем он изначально сделал ее именно такой длинной не знаю. Но стало быть под эту "ножку" был убран пломбировочный материла из канала. После окончания работ я попросила сделать контрольный снимок. Сделали. И я увидела, что канал пустой. Я спросила доктора, почему канал пустой. На это он мне ответил (как мне показалось, заметно нервничая), что канал не пустой, а там есть материла (или цемент, не помню точно), но его просто не видно на снимке. Вот такой рентгенонейтральный, что-ли материал. У меня есть поводы беспокоится или доктор говорит правду? На первом снимке зуб до ортопедических работ. Спасибо.

 

post-57653-0-88653900-1555892796_thumb.jpg

post-57653-0-17761800-1555892806_thumb.jpg

Ссылка на комментарий

Для публикации сообщений создайте учётную запись или авторизуйтесь

Вы должны быть пользователем, чтобы оставить комментарий

Создать аккаунт

Зарегистрируйте новый аккаунт в нашем сообществе. Это очень просто!

Регистрация нового пользователя

Войти

Уже есть аккаунт? Войти в систему.

Войти
×
×
  • Создать...
Вверх