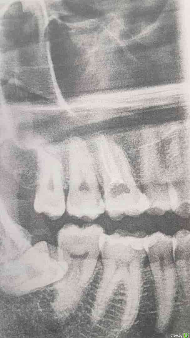
aleksei_sataev Опубликовано 21 апреля, 2019 Поделиться Опубликовано 21 апреля, 2019 (изменено) Добрый вечер уважаемые стоматологи. Примерно месяц назад на верхней 6-ке произошел скол небольшой. Обратился не сразу, спустя 2-3 недели, когда 2 раза ночью тревожили ноющие боли. У стоматолога выяснилось, что за это время нерв погиб, его убрали, оставили лекарство на 2 недели с временной пломбой. Сегодня прочистили 2 канала из 3, в 2 поставили пломбы-штифт, в 3-ю не стали, т.к. там были следы воспаления, секрет. Поставили временную пломбу на зуб и сказали 3 канал завершим через 2 недели, мол пока нельзя пломбировать, т.к. может воспалиться челюстьПри этом до скола зуба с этой стороны иногда был пузырь под десной, откуда переодически выходила жидкость с запахомВопрос в следующем, нормально ли что месяц лечим зуб? Снимок сделал сам, в другой клинике.Всё ли в порядке сейчас?https://cloud.mail.ru/public/48ND/2Rn6BcMY1 Изменено 21 апреля, 2019 пользователем aleksei_sataev Ссылка на комментарий
aleksei_sataev Опубликовано 24 апреля, 2019 Автор Поделиться Опубликовано 24 апреля, 2019 Который лечется зуб фиг с ним))) А вот который лежит зуб мудрости его под удаление или можно походить с ним? Ссылка на комментарий
red_butler Опубликовано 30 апреля, 2019 Поделиться Опубликовано 30 апреля, 2019 А вот который лежит зуб мудрости его под удаление или можно походить с ним? удалять Ссылка на комментарий
Рекомендуемые сообщения
Для публикации сообщений создайте учётную запись или авторизуйтесь
Вы должны быть пользователем, чтобы оставить комментарий
Создать аккаунт
Зарегистрируйте новый аккаунт в нашем сообществе. Это очень просто!
Регистрация нового пользователяВойти
Уже есть аккаунт? Войти в систему.
Войти