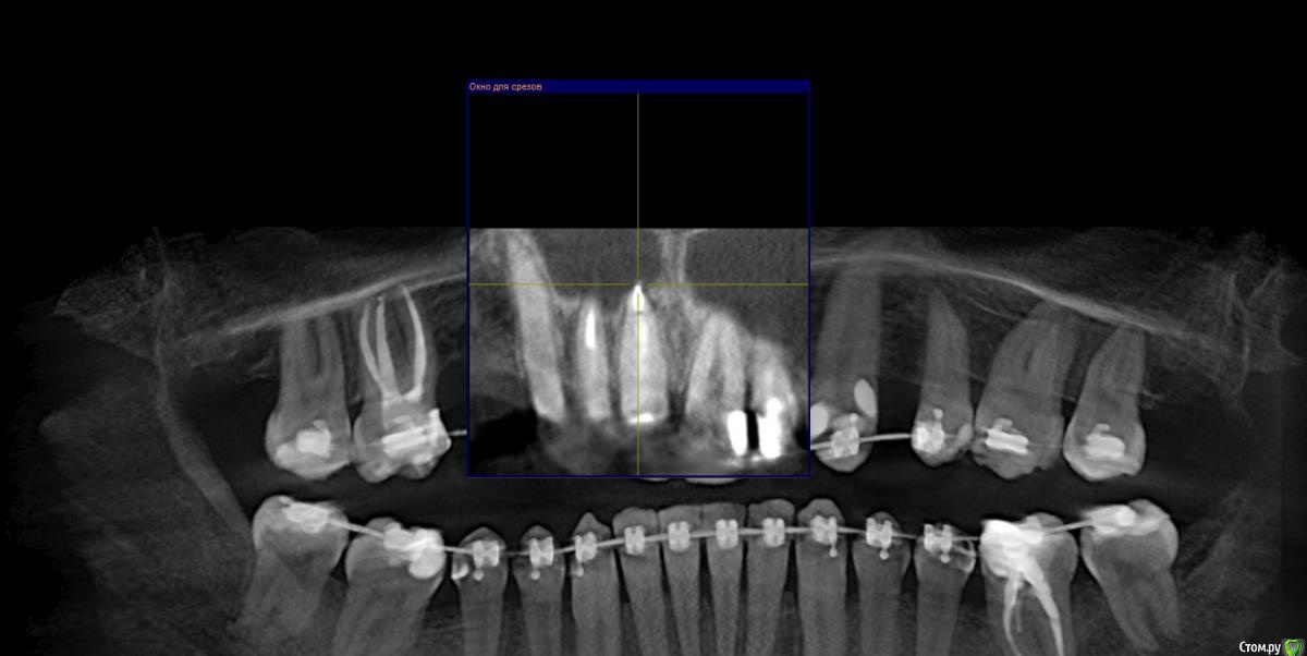
Al..ks Опубликовано 18 апреля, 2019 Поделиться Опубликовано 18 апреля, 2019 Добрый день. Планируется имплантация(15 или 14. брекеты ношу, поэтому не знаю какой будет)+аугментация (в области кармана 17 и при имплантации в случае недостатка кости)+пластика десны+установка формирователя. Все за раз.На выбор dentium, Astra, Nobel, Straumann. Подходят любые и выбор за мной(я склоняюсь к Астре). Правильный выбор? . Плюс ко всему по КТ там отсутствует кортикальный слой( по словам врача) я так понял с наружней стороны, поможет ли аугментация?И поможет ли она с карманом 17? И так как двигали зубы в области корня 11 появилась пустота (толи уже было)в середине лечения и на данный момент Надо ли делать резекцию корня - или канал перелечивать (там ставили СВШ перед брекетами) перед протезирование? Ссылка на комментарий
suballex Опубликовано 19 апреля, 2019 Поделиться Опубликовано 19 апреля, 2019 Добрый день. Планируется имплантация(15 или 14. брекеты ношу, поэтому не знаю какой будет)+аугментация (в области кармана 17 и при имплантации в случае недостатка кости)+пластика десны+установка формирователя. Все за раз.На выбор dentium, Astra, Nobel, Straumann. Подходят любые и выбор за мной(я склоняюсь к Астре). Правильный выбор?Правильный Плюс ко всему по КТ там отсутствует кортикальный слой( по словам врача) я так понял с наружней стороны, поможет ли аугментация?И поможет ли она с карманом 17?Аугментация с карманом не поможет. В остальном - да И так как двигали зубы в области корня 11 появилась пустота (толи уже было)в середине леченияи на данный момент Надо ли делать резекцию корня - или канал перелечивать (там ставили СВШ перед брекетами) перед протезирование?Нужно сравнить КТ начала лечения и последнее. Рентгенологически, канал 11 пролечен хорошо. Возможно, это остаточные явления. Ссылка на комментарий
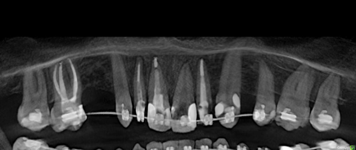
Al..ks Опубликовано 19 апреля, 2019 Автор Поделиться Опубликовано 19 апреля, 2019 Правильный Аугментация с карманом не поможет. В остальном - да Нужно сравнить КТ начала лечения и последнее. Рентгенологически, канал 11 пролечен хорошо. Возможно, это остаточные явления.Спасибо за ответ. В отношении 17 мне планировали там подрезать десну (типо лучше будет возможность чистить и дольше зуб сохранить. Хотя думаю чувствительность поднимется блин(() и этот материал использовать для пластики десны у 16 и заодно подсыпать туда костного материала .Хотя когда еще давно (года три назад) удаляли 18 и чистили там грануляции, стенки между 17-18 не было.И там уже был этот карман и ничем закрыть его нельзя - пустая трата денег и кость вниз не нарастет. Хорошо хоть подвижность уменьшилась - наверное благодаря брекетам). Не нанесет ли вред аугментация зубу 17? Ссылка на комментарий
suballex Опубликовано 19 апреля, 2019 Поделиться Опубликовано 19 апреля, 2019 Спасибо за ответ. В отношении 17 мне планировали там подрезать десну (типо лучше будет возможность чистить и дольше зуб сохранить. Хотя думаю чувствительность поднимется блин(() и этот материал использовать для пластики десны у 16 и заодно подсыпать туда костного материала .Хотя когда еще давно (года три назад) удаляли 18 и чистили там грануляции, стенки между 17-18 не было.И там уже был этот карман и ничем закрыть его нельзя - пустая трата денег и кость вниз не нарастет. Хорошо хоть подвижность уменьшилась - наверное благодаря брекетам). Не нанесет ли вред аугментация зубу 17?Нет, не нанесет. Возможно, наступит временное улучшение. Через какое то время вернетесь к изначальной ситуации. Ссылка на комментарий
Al..ks Опубликовано 19 апреля, 2019 Автор Поделиться Опубликовано 19 апреля, 2019 Нет, не нанесет. Возможно, наступит временное улучшение. Через какое то время вернетесь к изначальной ситуации.Ясно. Спасибо Ссылка на комментарий
Рекомендуемые сообщения
Для публикации сообщений создайте учётную запись или авторизуйтесь
Вы должны быть пользователем, чтобы оставить комментарий
Создать аккаунт
Зарегистрируйте новый аккаунт в нашем сообществе. Это очень просто!
Регистрация нового пользователяВойти
Уже есть аккаунт? Войти в систему.
Войти