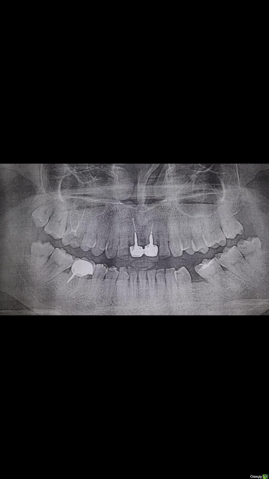
БабаКлава Опубликовано 17 апреля, 2019 Поделиться Опубликовано 17 апреля, 2019 (изменено) Подскажите пожалуйста план лечения и куда обратиться. Выпадают передние коронки со штифтами.Советуют ставить имплантанты или возможны еще варианты? Так же часто ноет нижняя сторона,возле коронки. Изменено 17 апреля, 2019 пользователем БабаКлава Ссылка на комментарий
БабаКлава Опубликовано 18 апреля, 2019 Автор Поделиться Опубликовано 18 апреля, 2019 Что лучше в моем случаи? Имплантант,мостовидный протез на 4 коронки ( с обточкой соседних ) или одномоментный адгезивный мостовидный протез . Ссылка на комментарий
kramer Опубликовано 19 апреля, 2019 Поделиться Опубликовано 19 апреля, 2019 Мостовидный протез на 4 единицы не получится, боковые резцы не выдержат, надо будет обтачивать ещё и клыки, так что это 6 единиц. Лучше 2 имплантата. Ссылка на комментарий
БабаКлава Опубликовано 20 апреля, 2019 Автор Поделиться Опубликовано 20 апреля, 2019 Мостовидный протез на 4 единицы не получится, боковые резцы не выдержат, надо будет обтачивать ещё и клыки, так что это 6 единиц. Лучше 2 имплантата. Спасибо за ответ,тоже к этому склоняюсь. Осталось только найти врача. Ссылка на комментарий
Дмитрий Л. Опубликовано 21 апреля, 2019 Поделиться Опубликовано 21 апреля, 2019 Нужен прицельный (маленький) снимок двух зубов. По возможности стремитесь сохранить зубы или удалить 1. Ссылка на комментарий
БабаКлава Опубликовано 22 апреля, 2019 Автор Поделиться Опубликовано 22 апреля, 2019 Ходила на консультацию, говорят могут зафиксировать коронки обратно, пока позволяют корни.В дальнейшем как придут в негодность уже ставить импланты на два .Год на поиски врача хорошего будет . Ссылка на комментарий
Дмитрий Л. Опубликовано 22 апреля, 2019 Поделиться Опубликовано 22 апреля, 2019 Идея компромиссная. Найдите хорошего ортопеда. Я бы рассмотрел вариант ортодонтического вытягивания резцов с последующим их нормальным протезированием, если на то есть условия. На форуме можно найти таких специалистов. Ссылка на комментарий
Рекомендуемые сообщения
Для публикации сообщений создайте учётную запись или авторизуйтесь
Вы должны быть пользователем, чтобы оставить комментарий
Создать аккаунт
Зарегистрируйте новый аккаунт в нашем сообществе. Это очень просто!
Регистрация нового пользователяВойти
Уже есть аккаунт? Войти в систему.
Войти