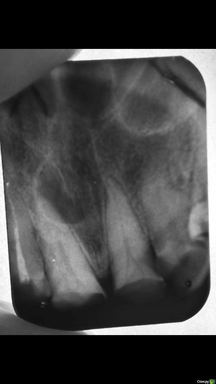
stomatpavel Опубликовано 16 апреля, 2019 Поделиться Опубликовано 16 апреля, 2019 (изменено) Добрый день коллеги, обратился пациент с целью подготовки под ортопедическое лечение. Необходимо депульпировать 1.1 и 2.1. И тут самое интересное для меня это на прицельном снимке. И также форма канала, который начинался двумя устьями и по ходу разработки слился в один. Доктора, прошу совета что это может быть (пациент отказывается делать кт). Переделали прицельный снимок и ситуация повторилась. Это может быть киста резцового канала или связана с зубом? Или это периодонтит? Как поступить с зубом 2.1? Во рту отмечается пат. стираемость и двухсторонний дистально неограниченный дефект зубного ряда. Спасибо) Изменено 16 апреля, 2019 пользователем stomatpavel Ссылка на комментарий
Дмитрий Л. Опубликовано 16 апреля, 2019 Поделиться Опубликовано 16 апреля, 2019 Это два канала, сливающиеся в один. (с)Пишите статью!) Ссылка на комментарий
stomatpavel Опубликовано 16 апреля, 2019 Автор Поделиться Опубликовано 16 апреля, 2019 (изменено) Это два канала, сливающиеся в один. (с)Пишите статью!)А почему статью?)Потому что по данным литературы я находил что в резце 1 канал в 100% случаев с возможными латеральными ответвлениями и раздвоением на верхушке? Изменено 16 апреля, 2019 пользователем stomatpavel Ссылка на комментарий
___49___ Опубликовано 17 апреля, 2019 Поделиться Опубликовано 17 апреля, 2019 (изменено) Дентикли уберите из устьевой части обоих зубов , и будет Вам счастье . (это третичный дентин в пульповой камере из-за пат.стираемости). резцовый канал не трогайте - пусть будет . Изменено 17 апреля, 2019 пользователем ___49___ 3 Ссылка на комментарий
vse32 Опубликовано 17 апреля, 2019 Поделиться Опубликовано 17 апреля, 2019 резцовый канал не трогайте - пусть будет А что тогда обозначает на снимке "кругленькая хрень"? Ссылка на комментарий
___49___ Опубликовано 17 апреля, 2019 Поделиться Опубликовано 17 апреля, 2019 (изменено) А что тогда обозначает на снимке "кругленькая хрень"? "кругленькая хрень" своими размерами в пограничном состоянии ( порядка 6мм) для того чтоб назваться кистой , диагноз поставить можно либо по КЛКТ , либо клинически ( постоперационный диагноз) как я понимаю пациент отказывается что либо из этого делать, доктор ему уже объяснил и он проинформирован (в карточке отказ, подпись ) на данный момент у Павла стоит задача подготовить зубы, пусть готовит (периодонтальная щель судя по снимку классически с "каналом-кистой" не сообщается ). если потом этого пациента все же жареный петух догонит , то с большей долей вероятности хирург отработает небно , без каких либо последствий для ортопедической конструкции и каких-то проблем со стороны пролеченных единичек( если конечно все будет пролечено как положено ) . ... P\S: Если бы пациенты разделяли со мной , взгляды в необходимости того или иного метода лечения или диагностики ..... Но к сожалению есть "товарисчи" которые думают , что с остеомиелитом ходить лучше , чем шинироваться, что подчелюстная флегмона с свищями в одноименной области тоже может подождать оперативного лечения, или явное ЗНО - это все выдумки врача (мои) с ним (пациентом) такого просто не может быть . ..а ведь с ними разговариваешь почти как с детьми , все по полочкам , на ложечку в рот.... Боюсь у ТС подобный пациент, максимум , что может сделать терапевт для установки точного диагноза он уже сделал - предложил КТ , пациент отказался( предположения есть - диагноза нет) Изменено 17 апреля, 2019 пользователем ___49___ Ссылка на комментарий
vse32 Опубликовано 17 апреля, 2019 Поделиться Опубликовано 17 апреля, 2019 Я помню что отказ. Я для себя спрашиваю. Если вдруг увижу такое у своего пациента - могу ли я предварительный диагноз "киста носонебного канала" поставить? Ссылка на комментарий
___49___ Опубликовано 17 апреля, 2019 Поделиться Опубликовано 17 апреля, 2019 Я помню что отказ. Я для себя спрашиваю. Если вдруг увижу такое у своего пациента - могу ли я предварительный диагноз "киста носонебного канала" поставить?Все верно , классический вариант - обосновываете направление пациента к хир.стоматологу предварительным диагнозом "киста носонебного канала" ? а там как говориться уже разберутся. (киста по хорошему - гистологический диагноз) . Ссылка на комментарий
stomatpavel Опубликовано 18 апреля, 2019 Автор Поделиться Опубликовано 18 апреля, 2019 (изменено) Добрый день, пациента удалось направить на кт. Будем ждать информации) Вот еще один прицельный снимок, пока ждем... Изменено 18 апреля, 2019 пользователем stomatpavel Ссылка на комментарий
Евгений Ходыкин Опубликовано 19 апреля, 2019 Поделиться Опубликовано 19 апреля, 2019 (пациент отказывается делать кт) Слать лесом такого пациента Ссылка на комментарий
Дмитрий Л. Опубликовано 19 апреля, 2019 Поделиться Опубликовано 19 апреля, 2019 ))) вот именно. Ссылка на комментарий
Рекомендуемые сообщения
Для публикации сообщений создайте учётную запись или авторизуйтесь
Вы должны быть пользователем, чтобы оставить комментарий
Создать аккаунт
Зарегистрируйте новый аккаунт в нашем сообществе. Это очень просто!
Регистрация нового пользователяВойти
Уже есть аккаунт? Войти в систему.
Войти