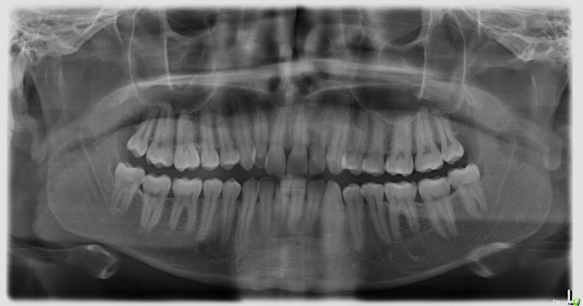
Alex999 Опубликовано 16 апреля, 2019 Поделиться Опубликовано 16 апреля, 2019 (изменено) Здравствуйте! Ничего особо не беспокоит кроме скученности зубов. Посмотрел свой снимок возникли вопросы.Эта правда, что судя по снимку, корни зубов 17 26 и 27 вышли из кости и упираются в слизистую пазухи? Хотя тьфу-тьфу-тьфу пока ничего не беспокоит.У 48 и 38 вроде есть небольшое рассасывание кости у свода челюсти.Нет ли кист у зубов нижней челюсти. Вроде что-то такое наблюдается, но на кисту не похоже. Может структура кости такая. Спасибо. Изменено 16 апреля, 2019 пользователем Alex999 Ссылка на комментарий
АнтонТЛТ Опубликовано 16 апреля, 2019 Поделиться Опубликовано 16 апреля, 2019 Между корнями и слизистой пазухи есть тонкая прослойка костной ткани.Кист нет.38 и 48 пользоваться ирригаторов и наблюдать, если начнет воспаляется за ними, то их лучше удалить вместе с 18 и 28. 2 Ссылка на комментарий
Рекомендуемые сообщения
Для публикации сообщений создайте учётную запись или авторизуйтесь
Вы должны быть пользователем, чтобы оставить комментарий
Создать аккаунт
Зарегистрируйте новый аккаунт в нашем сообществе. Это очень просто!
Регистрация нового пользователяВойти
Уже есть аккаунт? Войти в систему.
Войти