Norton Опубликовано 14 апреля, 2019 Поделиться Опубликовано 14 апреля, 2019 (изменено) Доброго времени суток уважаемые коллеги. Ко мне обратилась пациентка с установленным импл. в области верхней 6 (XIVE 3.8 / 11 мм). Сейчас назревает вопрос нужна ли мягкотканная пластика или нет? Cмутило то, что несколько коллег в моем городе порекомендовали сделать. Изменено 14 апреля, 2019 пользователем Norton Ссылка на комментарий
kramer Опубликовано 14 апреля, 2019 Поделиться Опубликовано 14 апреля, 2019 Покажите фото внутриротовое 3 Ссылка на комментарий
Aquarius Опубликовано 15 апреля, 2019 Поделиться Опубликовано 15 апреля, 2019 Думаю, имплант надежен в плане долгосрока. Коллагена с небной стороны вагон 3 Ссылка на комментарий
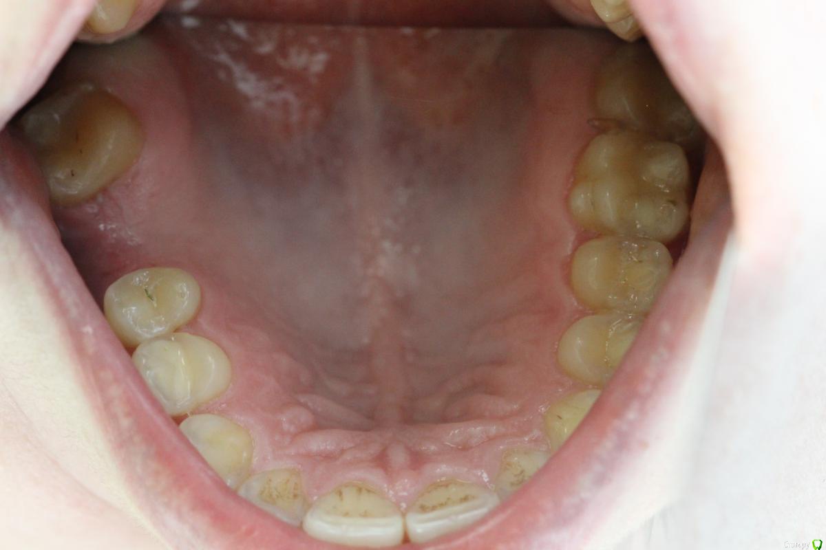
Norton Опубликовано 17 апреля, 2019 Автор Поделиться Опубликовано 17 апреля, 2019 (изменено) Покажите фото внутриротовоеФото Изменено 17 апреля, 2019 пользователем Norton Ссылка на комментарий
Norton Опубликовано 17 апреля, 2019 Автор Поделиться Опубликовано 17 апреля, 2019 Думаю, имплант надежен в плане долгосрока. Коллагена с небной стороны вагонСпасибо, абсолютно с вами согласен, просто смутило мнение коллег. Ссылка на комментарий
Дмитрий М Опубликовано 18 апреля, 2019 Поделиться Опубликовано 18 апреля, 2019 (изменено) отлом вестибулярной или миграция графта?похоже свободный фрагмент, пальпируется нет? Изменено 18 апреля, 2019 пользователем Дмитрий М Ссылка на комментарий
Magadalina Опубликовано 19 апреля, 2019 Поделиться Опубликовано 19 апреля, 2019 Похоже на выход графта сразу после синус- лифтинга через окно. Это никакого значения не имеет Ссылка на комментарий
Norton Опубликовано 20 апреля, 2019 Автор Поделиться Опубликовано 20 апреля, 2019 что это.jpg отлом вестибулярной или миграция графта?похоже свободный фрагмент, пальпируется нет?Нет, я на это тоже обратил внимание Ссылка на комментарий
Рекомендуемые сообщения
Для публикации сообщений создайте учётную запись или авторизуйтесь
Вы должны быть пользователем, чтобы оставить комментарий
Создать аккаунт
Зарегистрируйте новый аккаунт в нашем сообществе. Это очень просто!
Регистрация нового пользователяВойти
Уже есть аккаунт? Войти в систему.
Войти