Перейти к содержанию
Стоматология для всех

Возможно ли сохранить зуб?


-Алексей-

Рекомендуемые сообщения

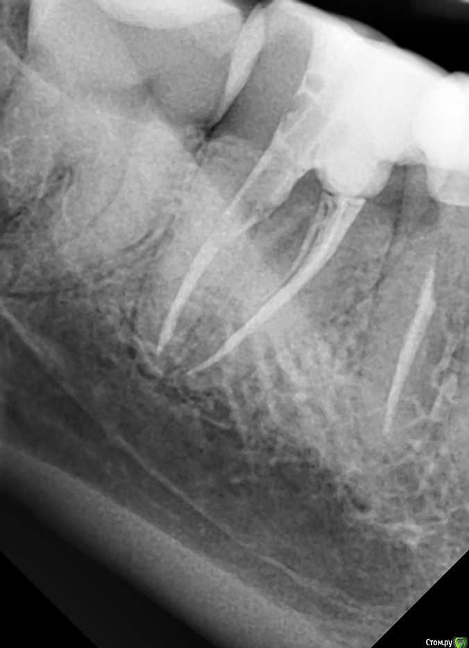
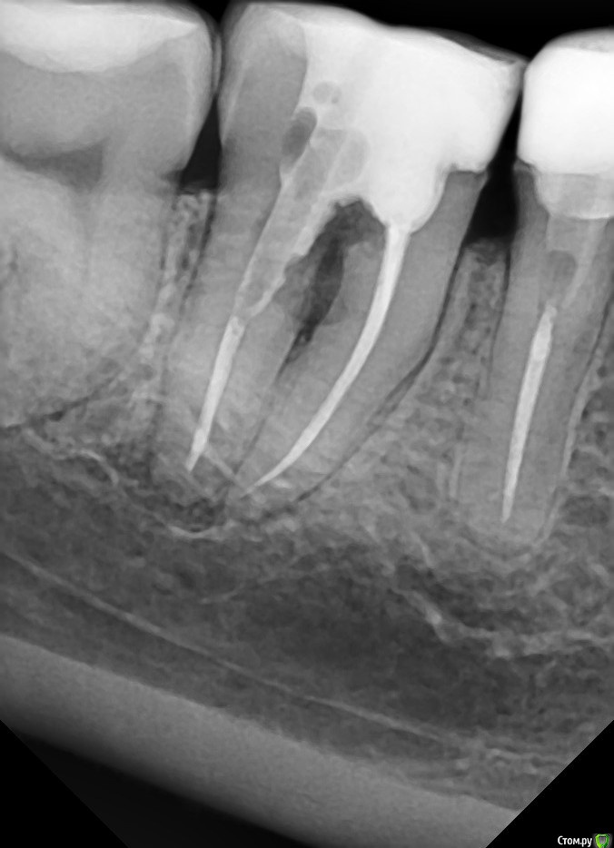
Возможно ли сохранить зуб 4.7? Прикрепляю 2 снимка: 1 - через месяц после эндодонтического лечения, 2 - через 5 месяцев после эндодонтического лечения. 

post-56693-0-92746100-1555232937_thumb.jpg

post-56693-0-65726800-1555232938_thumb.jpg

Изменено пользователем -Алексей-
Ссылка на комментарий
  • 2 недели спустя...

Для публикации сообщений создайте учётную запись или авторизуйтесь

Вы должны быть пользователем, чтобы оставить комментарий

Создать аккаунт

Зарегистрируйте новый аккаунт в нашем сообществе. Это очень просто!

Регистрация нового пользователя

Войти

Уже есть аккаунт? Войти в систему.

Войти
×
×
  • Создать...
Вверх