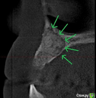
Дмитрий М Опубликовано 14 апреля, 2019 Поделиться Опубликовано 14 апреля, 2019 Пациент из другой клиники.До меня было удаление 12,11, 22 зубовВременная конструкция 13-11-23 Сделали цистэктомию 12, 22, резекцию 13, 23 после снятия швов пациент пропал на 9 месяцев, недавно пришел со снимком ) ОПГ область 12з область13з область 22з (зеленой стрелкой: непонятная "бяка" на снимке, в реале что-то вроде фиброзной капсулы было) область 23з Ссылка на комментарий
Дмитрий М Опубликовано 14 апреля, 2019 Автор Поделиться Опубликовано 14 апреля, 2019 вопрос к знатокам, что это может быть? жалоб нет Ссылка на комментарий
Дмитрий М Опубликовано 18 апреля, 2019 Автор Поделиться Опубликовано 18 апреля, 2019 кисты апексы 1 Ссылка на комментарий
Рекомендуемые сообщения
Для публикации сообщений создайте учётную запись или авторизуйтесь
Вы должны быть пользователем, чтобы оставить комментарий
Создать аккаунт
Зарегистрируйте новый аккаунт в нашем сообществе. Это очень просто!
Регистрация нового пользователяВойти
Уже есть аккаунт? Войти в систему.
Войти