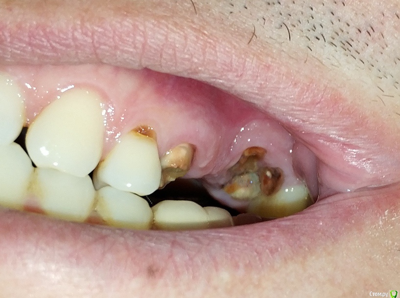
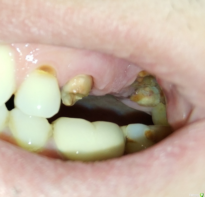
LTD Опубликовано 12 апреля, 2019 Поделиться Опубликовано 12 апреля, 2019 Мужчинка, 45 годов Слетел верхний мост 5-7 . Корень 7 (основание зуба ) отделился / разделился. «Целые» зубы 4, 8 не хочу трогать (обтачивать), решение зависит от бюджета. Просьба высказать мнение :а) Без имплантологии1 - делается ли вкладка на 7ку под дальнейший мост в таком состоянии? 2 - какие варианты восстановления возможны (съемные, бюгель и тд)?3 - какие варианты восстановления наиболее практичны по Вашему? б) хотя имплантация пока не по зубам Хочу понять:3 - на противоположной стороне 7-8 удачно стоит МК консоль на одном 7 зубе. Делается ли имплант с такой же конструкцией консоли на один 7-мой (который разрушен)?4 - делается ли одноэтапная имплантация на 7?5 - имеет ли смысл не удалять корни 7го с этой целью?6 - если 7 имплант + 567 мост (ставится ли мост - конструкция на 5й "свой") ?7 - возможность установки 7 без открытого лифта? Заранее спасибо! Ссылка на комментарий
chervoncevdaniil Опубликовано 12 апреля, 2019 Поделиться Опубликовано 12 апреля, 2019 7 удаление точно и в случае ее удаления установка 2х имплантология в позиции 6-7(если 5 удастся сохранить)Варианты со съёмным протезированием конечно возможны,но маловероятно что вы будете носить съемный протез на 2 зуба 6 Ссылка на комментарий
Doc Опубликовано 13 апреля, 2019 Поделиться Опубликовано 13 апреля, 2019 Копите деньги на имплантацию. Как накопите - семерку удалять и два имплантата. Если пятерка годная, то ее под коронку. Если нет, то удалять и все равно два имплантата, только мостом. Консоль здесь делать нельзя. Перегрузка слишком большая будет, потеряете имплантат. 1 Ссылка на комментарий
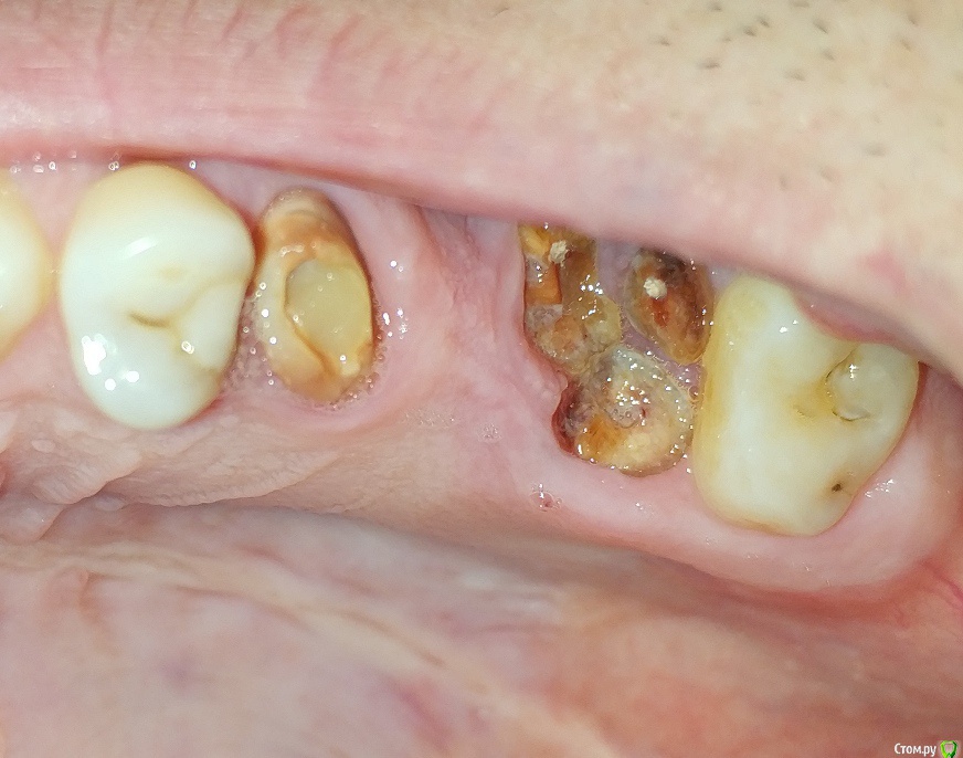
krokomot Опубликовано 13 апреля, 2019 Поделиться Опубликовано 13 апреля, 2019 Вот могут же пациенты, себя хорошо сфотографировать, что всё видно и понятно, присоединяюсь к коллегам, но нижний зуб под коронкой тоже от жил свое... 2 Ссылка на комментарий
Doc Опубликовано 13 апреля, 2019 Поделиться Опубликовано 13 апреля, 2019 Вот могут же пациенты, себя хорошо сфотографировать, что всё видно и понятно, присоединяюсь к коллегам, но нижний зуб под коронкой тоже от жил свое...Современные телефоны снимают чуть ли не лучше, чем вся наша техника со вспышками прошлого века )) Кстати, топикстартер, расскажите на что снимали?! А по нижнему зубу да, я тоже заметил, но, как понимаю, человеку с верхними бы пока разобраться, не до низа. 1 Ссылка на комментарий
LTD Опубликовано 14 апреля, 2019 Автор Поделиться Опубликовано 14 апреля, 2019 (изменено) Спасибо за бесперспективный прогноз ! Кстати, топикстартер, расскажите на что снимали?! Телефон выбирался для девочки, коим фото стоит на 1-м месте Аппарат Mi Note3 (линейка Xiaomi) Если важно фото при выборе смотрите на характеристику "СВЕТОСИЛА" она же по старинке ДИАФРАГМА ( F - показатель которой должен быть МЕНЬШЕ 2) . Их два показателя F смотрите на нижний. В этом аппарате f/1.8 как в Iphone XS. Cоветую всегда сравнивать то что ищите через крутой ресурс https://www.kimovil.ru/ru/compare/apple-iphone-xs-64gb-a1920,xiaomi-mi-note-3 надеюсь это не реклама. Количество Мегапикселей это ниочем! PS на фотоэкспертность не претендую, но поверьте от этого показателя сильно зависит стоимость телефона зачастую больше чем от проца , оперативки и внутренней памяти. с верхними бы пока разобраться Это да , Пока думаю - мост втыкаю без нагрузки чтоб не "заросло и не двигалось ". Изменено 14 апреля, 2019 пользователем LTD 1 Ссылка на комментарий
LTD Опубликовано 14 апреля, 2019 Автор Поделиться Опубликовано 14 апреля, 2019 Варианты со съёмным протезированием конечно возможны, Какие именно ? может это то что нужно, на срок пока будет накапливаться деньга Ссылка на комментарий
LTD Опубликовано 14 апреля, 2019 Автор Поделиться Опубликовано 14 апреля, 2019 Копите деньги на имплантацию. А без импланта как выжить ? Ссылка на комментарий
Doc Опубликовано 15 апреля, 2019 Поделиться Опубликовано 15 апреля, 2019 А без импланта как выжить ? Съемный протез, если считаете, что для Вас это приемлемо. Но съемный протез убьет остатки кости под ним, потом, даже если наследство получите, то в разы сложнее будет имплантацию делать. Мост 4-7 получится слишком длинным. Угробите еще два зуба и со временем съемный станет еще длиннее. 1 Ссылка на комментарий
LTD Опубликовано 15 апреля, 2019 Автор Поделиться Опубликовано 15 апреля, 2019 Мост 4-7 получится слишком длинным Я правильно понял Вы про мост 5-8? и как вариант 4-8 ? Ссылка на комментарий
Doc Опубликовано 17 апреля, 2019 Поделиться Опубликовано 17 апреля, 2019 Я правильно понял Вы про мост 5-8? и как вариант 4-8 ? Не уверен, что эту пятерку можно будет сохранить даже под одиночную коронку, А под мост и подавно. 1 Ссылка на комментарий
LTD Опубликовано 29 мая, 2019 Автор Поделиться Опубликовано 29 мая, 2019 Удалил зуб, решил ставить мост. Два мнения :- 8-ку депульпировать и весь мост МК ;- 8-ку обточить без депульпации, на живую 8-ку концевым зубом в мосту поставить металл, а остальную конструкцию из МК. Как Вы относитесь к установке на живую, в 45 лет и с моим, относительно ровненьким 8-мым зубом? Заранее спасибо! Ссылка на комментарий
red_butler Опубликовано 29 мая, 2019 Поделиться Опубликовано 29 мая, 2019 Удалил зуб, решил ставить мост. Два мнения :- 8-ку депульпировать и весь мост МК ;- 8-ку обточить без депульпации, на живую 8-ку концевым зубом в мосту поставить металл, а остальную конструкцию из МК. Как Вы относитесь к установке на живую, в 45 лет и с моим, относительно ровненьким 8-мым зубом? Заранее спасибо!имплантация или съемный протез, мостовидный протез такой протяженности это выброшенные деньги Ссылка на комментарий
LTD Опубликовано 29 мая, 2019 Автор Поделиться Опубликовано 29 мая, 2019 это выброшенные деньги Спасибо, понял! А к " на живую " как относитесь? Ссылка на комментарий
red_butler Опубликовано 29 мая, 2019 Поделиться Опубликовано 29 мая, 2019 А к " на живую " как относитесь? зубы (за редким исключением) под коронки не депульпируют нуу можно сказать, не должны депульпировать 3 Ссылка на комментарий
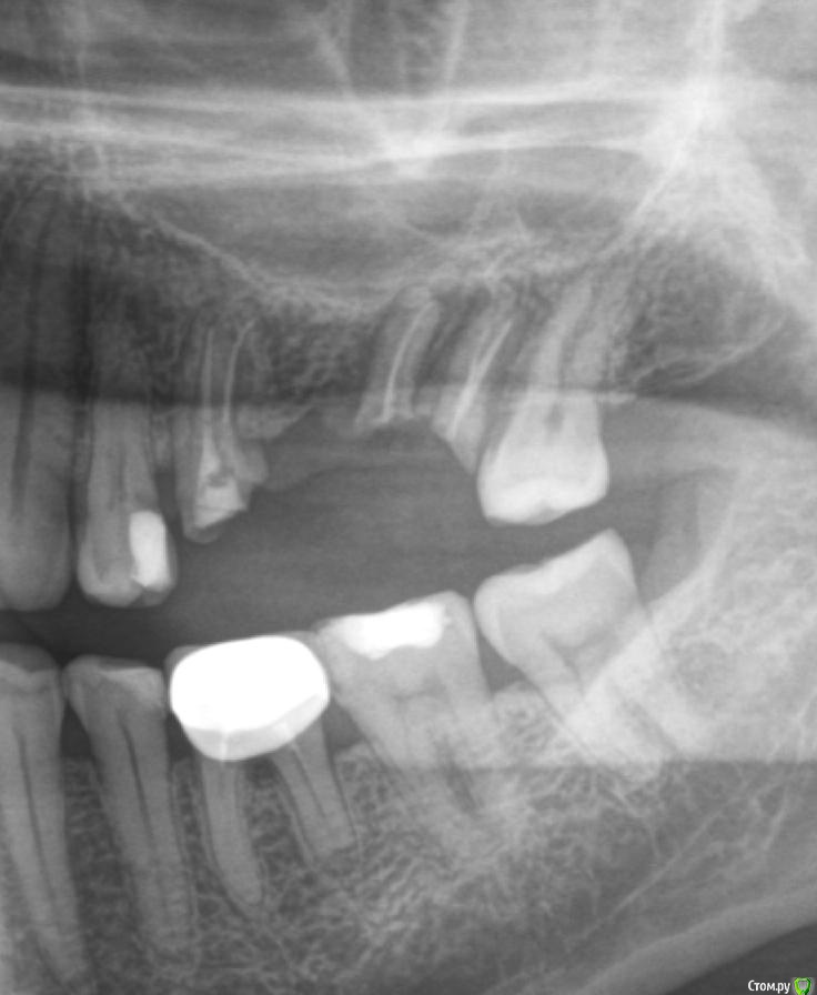
LTD Опубликовано 9 июня, 2019 Автор Поделиться Опубликовано 9 июня, 2019 (изменено) зубы (за редким исключением) под коронки не депульпируют нуу можно сказать, не должны депульпировать спасибо!А через какой срок после удаления 7ки рекомендуется приступать к мосту (делать слепки), если заживление без восполений и осложнений? Инет размыто "говорит" 2 недели, и 4 недели ...? Но в это время лунка в десне просто затягивается и остается лункой Изменено 9 июня, 2019 пользователем LTD Ссылка на комментарий
Рекомендуемые сообщения
Для публикации сообщений создайте учётную запись или авторизуйтесь
Вы должны быть пользователем, чтобы оставить комментарий
Создать аккаунт
Зарегистрируйте новый аккаунт в нашем сообществе. Это очень просто!
Регистрация нового пользователяВойти
Уже есть аккаунт? Войти в систему.
Войти