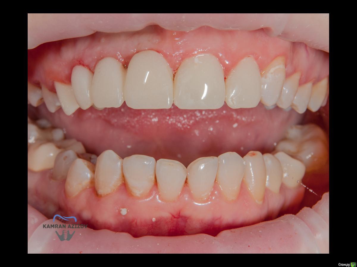
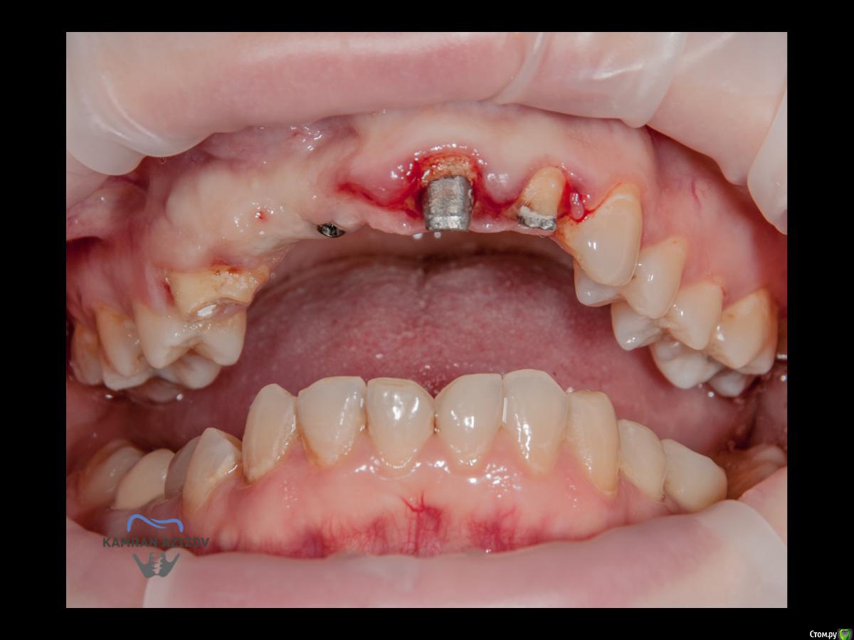
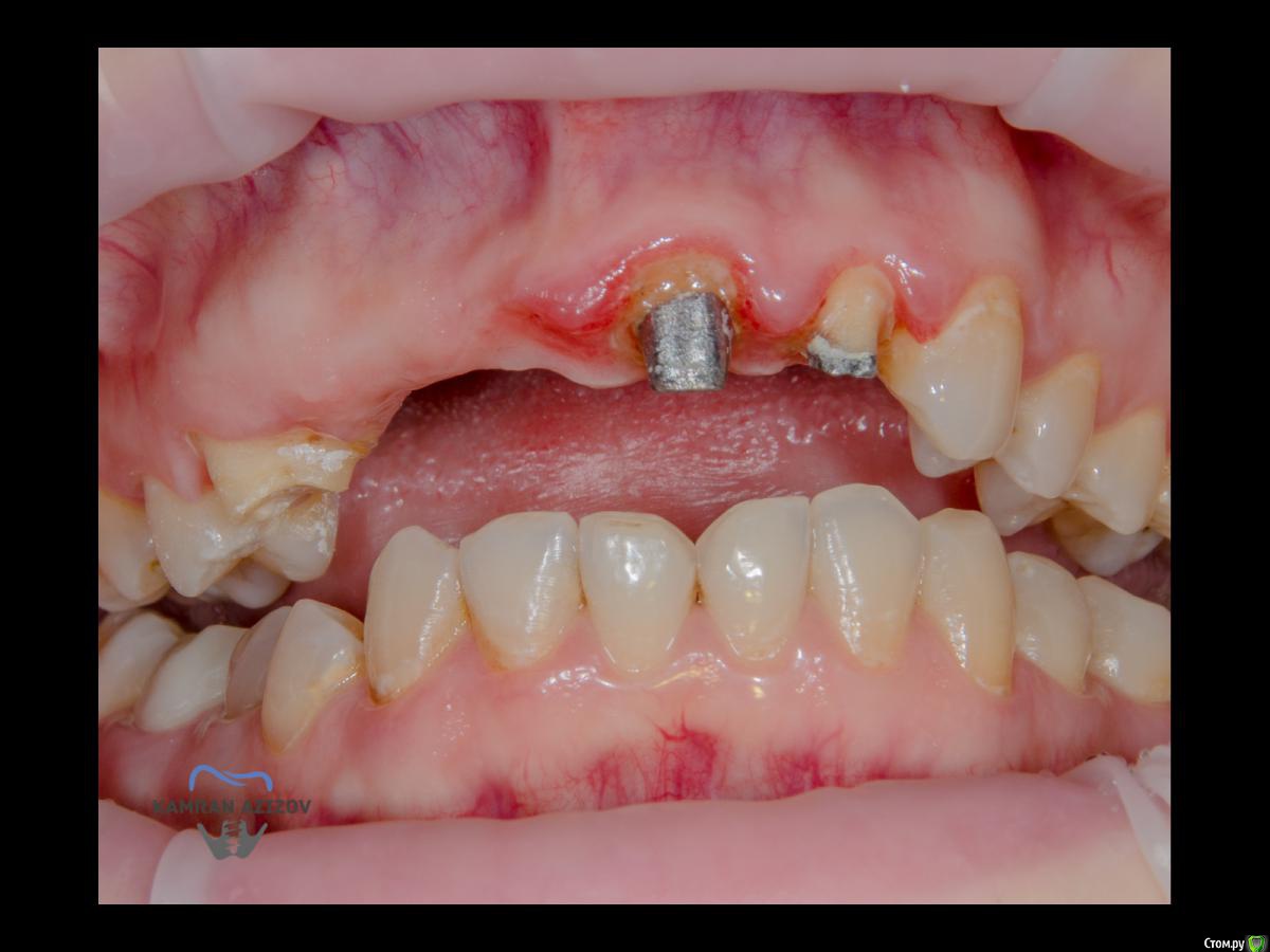
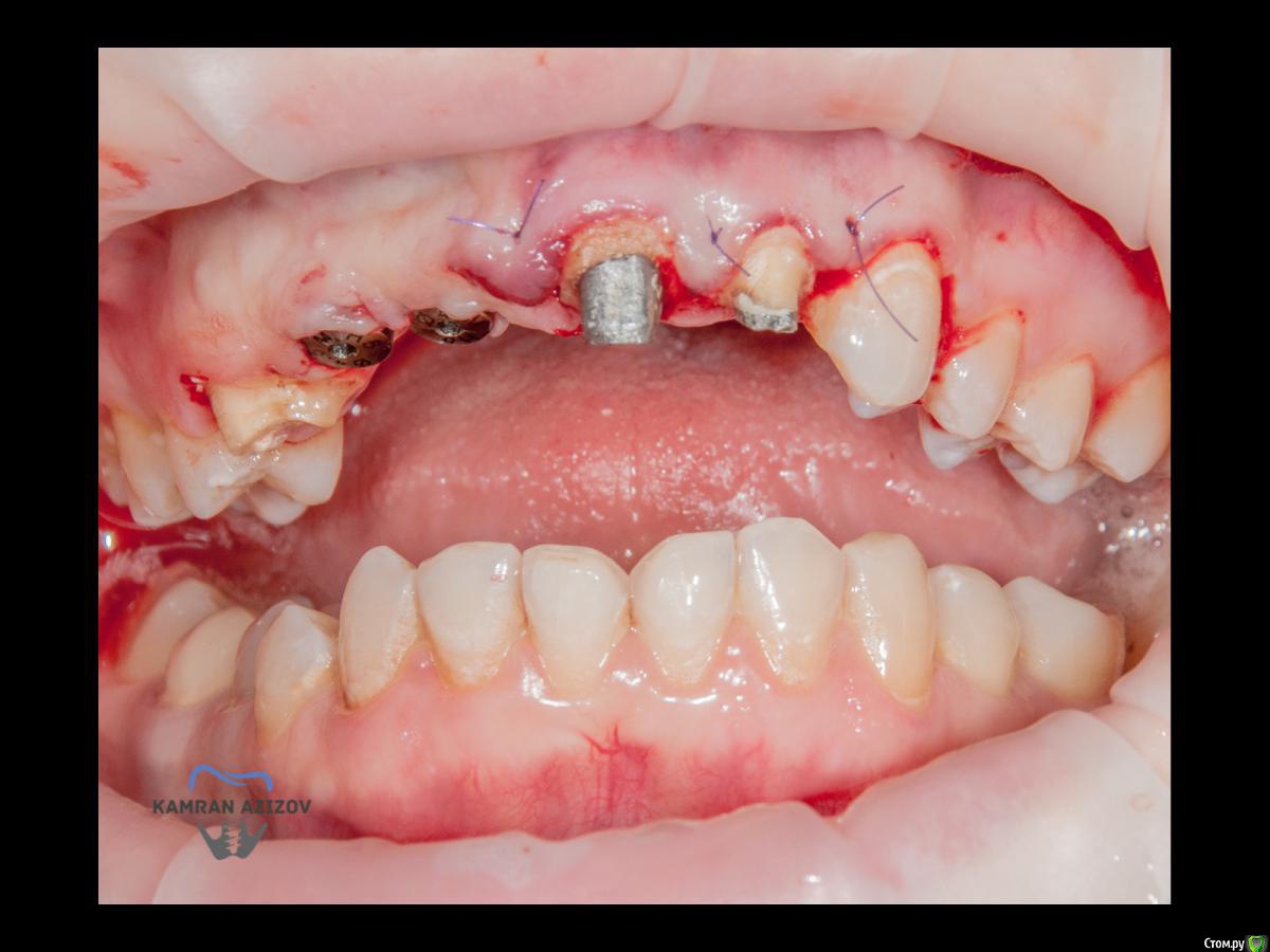
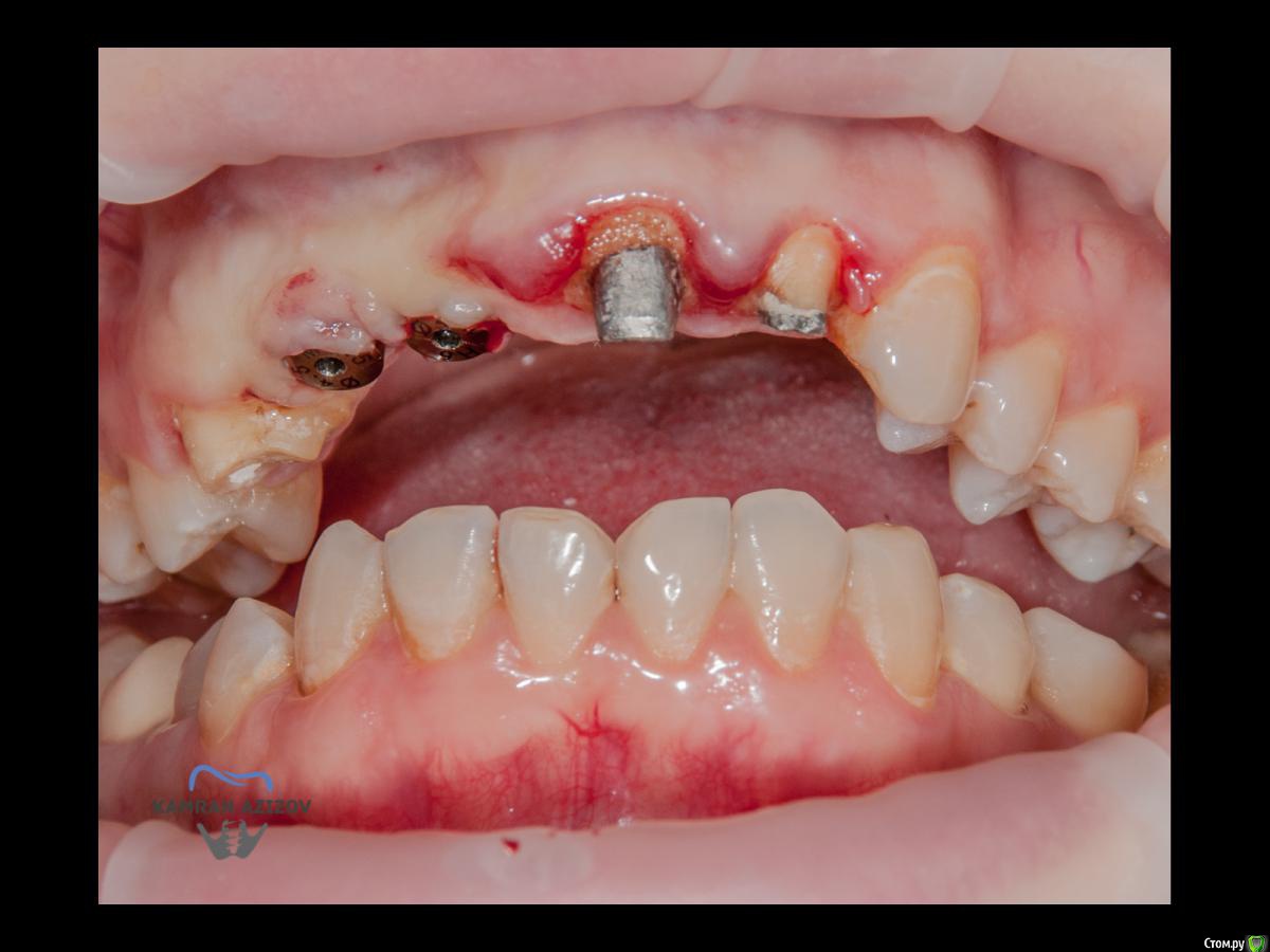
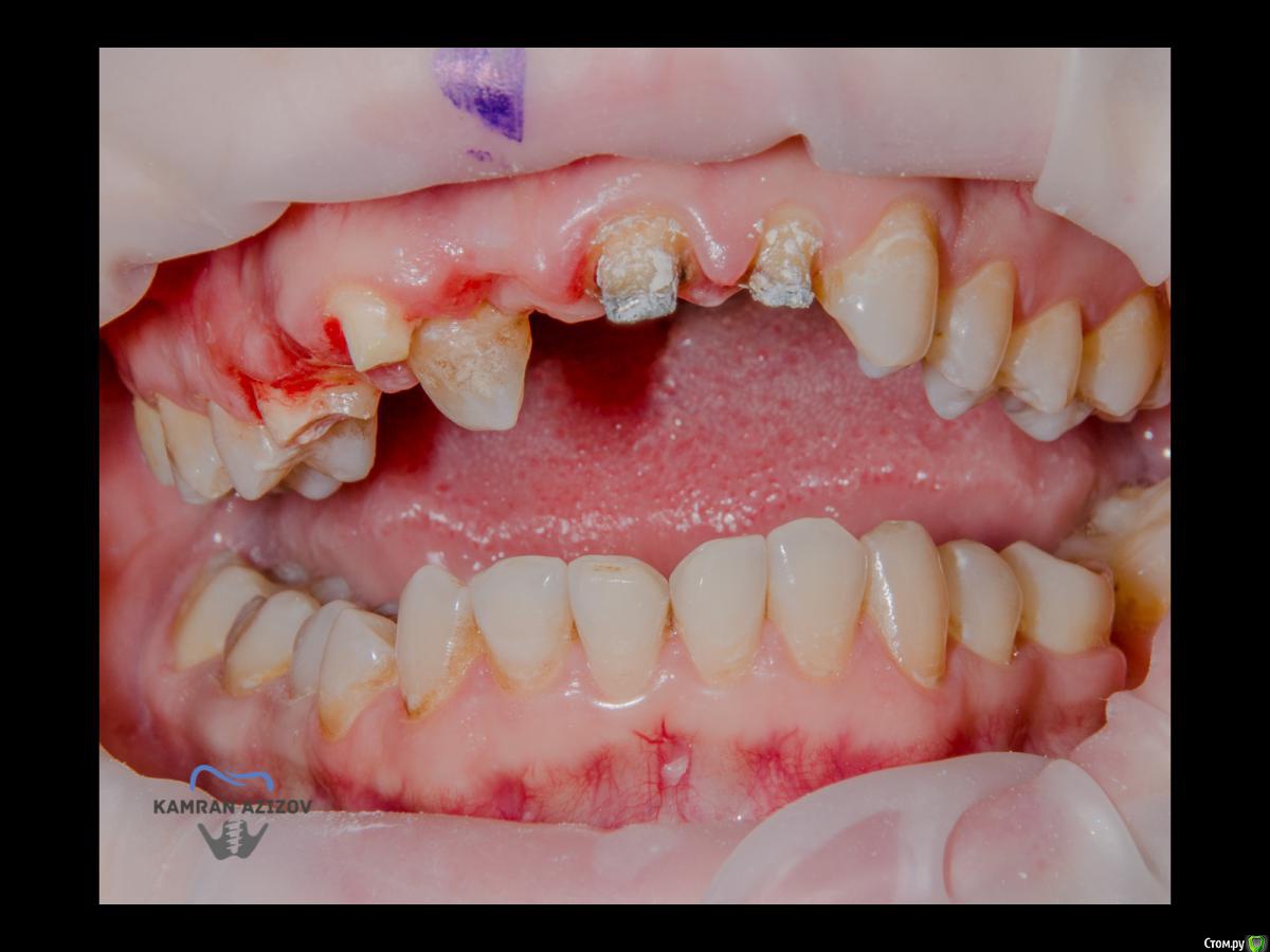
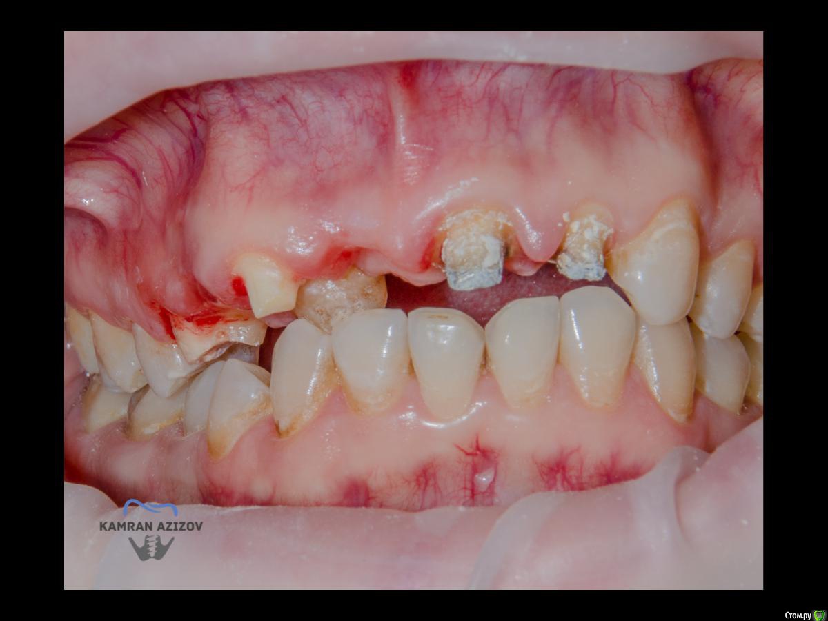
kamranchick Опубликовано 6 апреля, 2019 Поделиться Опубликовано 6 апреля, 2019 (изменено) Хай Гайсдавно ничего не комментировал и не выкладывал, что то настроения не было, да и муза не посещалаСитуация следующаяпришла пациентка, жалобы на неприятный запах из рта, сначала не понял что за хрень, ну как распилил мост понял че к чему... халтура.Ну и по кейсуУдаление клыка и 2ки, через 2 месяца навигация, имплантация + Шашлыки по карлоссу, смена формиков, временное протезирование. только мягкие ткани, Изменено 6 апреля, 2019 пользователем kamranchick 7 1 Ссылка на комментарий
Astronaft Опубликовано 6 апреля, 2019 Поделиться Опубликовано 6 апреля, 2019 Назвали тему некрасиво. Все ваши высказывания таки формируют имидж докторов в интернете.За кейс спасибо. 8 Ссылка на комментарий
kamranchick Опубликовано 6 апреля, 2019 Автор Поделиться Опубликовано 6 апреля, 2019 Назвали тему некрасиво. Все ваши высказывания таки формируют имидж докторов в интернете.За кейс спасибо.Спасибо за комментарий. ( просто от этого врача уже не первый пациент приходит, как только я не называл его работы тут, и халтура и.т.д) но люди продолжают к нему ходить вновь и вновь. тему назвал в шуточной форме здесь, так как здесь мы многие общаемся на профессиональном сленге, используем различные речевые обороты, ну как то так 2 Ссылка на комментарий
АнтонТЛТ Опубликовано 6 апреля, 2019 Поделиться Опубликовано 6 апреля, 2019 Чё то двойку слишком небно запилил 2 Ссылка на комментарий
kamranchick Опубликовано 6 апреля, 2019 Автор Поделиться Опубликовано 6 апреля, 2019 Ориентировались тут в основном по кости... Ссылка на комментарий
Smileee Опубликовано 6 апреля, 2019 Поделиться Опубликовано 6 апреля, 2019 Хай Гайсдавно ничего не комментировал и не выкладывал, что то настроения не было, да и муза не посещалаСитуация следующаяпришла пациентка, жалобы на неприятный запах из рта, сначала не понял что за хрень, ну как распилил мост понял че к чему... халтура.Ну и по кейсуУдаление клыка и 2ки, через 2 месяца навигация, имплантация + Шашлыки по карлоссу, смена формиков, временное протезирование. только мягкие ткани,Красивая работа! Просвети непосвященного, что за шашлыки по Карлосу?) Ссылка на комментарий
kamranchick Опубликовано 6 апреля, 2019 Автор Поделиться Опубликовано 6 апреля, 2019 Тут на форуме был, ну и для многих остаётся в сердцах и головах доктор CarlossЛибо Дядя Карлен)Он делился интересными и не совсем понятными( на тот момент для многих) кейсами.И одни из работ были насаживании мягкотканного графта(сст) на фдм.А потом уже пошли Техники пончо, гамборнены, и т дК большой радости Большой зелёный( администратор) создал тему работы доктора Карлосса: там много что интересного есть, не поленись, посмотри. Много что можно на вооружение взять. Ссылка на комментарий
Smileee Опубликовано 6 апреля, 2019 Поделиться Опубликовано 6 апреля, 2019 Тут на форуме был, ну и для многих остаётся в сердцах и головах доктор CarlossЛибо Дядя Карлен)Он делился интересными и не совсем понятными( на тот момент для многих) кейсами.И одни из работ были насаживании мягкотканного графта(сст) на фдм.А потом уже пошли Техники пончо, гамборнены, и т дК большой радости Большой зелёный( администратор) создал тему работы доктора Карлосса: там много что интересного есть, не поленись, посмотри. Много что можно на вооружение взять.Хорошо, спасибо! Обязательно гляну его работы! Ссылка на комментарий
jm3300 Опубликовано 6 апреля, 2019 Поделиться Опубликовано 6 апреля, 2019 А 12- на винтовой? Ссылка на комментарий
kamranchick Опубликовано 7 апреля, 2019 Автор Поделиться Опубликовано 7 апреля, 2019 Тут все на винтовой фиксации Ссылка на комментарий
pit Опубликовано 7 апреля, 2019 Поделиться Опубликовано 7 апреля, 2019 Четыре вопроса.Почему нельзя было прибегнуть к ортодонтии? Почему нельзя было просто удалить 13 зуб и сделать новый мост?Почему нельзя было удалить еще и 14 зуб, установить 2 винта в позиции 14 и 12 (или11) и сделать все за один хирургический этап, и сразуже нагрузить?Почему были использованы позиции имплантов 13 и 12, а не 13 и 11? 3 Ссылка на комментарий
Nazim_NV86 Опубликовано 7 апреля, 2019 Поделиться Опубликовано 7 апреля, 2019 Пятый Без пина шаблон не держался? Ссылка на комментарий
annda Опубликовано 8 апреля, 2019 Поделиться Опубликовано 8 апреля, 2019 (изменено) Вы еще не уточнили,сколько пациентке лет . Изменено 8 апреля, 2019 пользователем annda Ссылка на комментарий
kamranchick Опубликовано 8 апреля, 2019 Автор Поделиться Опубликовано 8 апреля, 2019 ТакУважаемый Петр) начнем по порядку1. пациентка отказалась от нее, как только не уговаривал ее, просто танцы с бубном были)2. после удаления клыка сразу ушел хиленький резец, делать мост 14-21-22 как то страшновато было из-за протяженности дефекта3. 1.4 зуб жалко было удалять, зачем удалять еще один зуб если так и так 2 имплантата, ну как вариант можно было бы, было бы легче позиционировать имлпнтататы4. в позиции 1.1 был большой резцовый канал, не захотелось проводить какие то манипуляции вокруг него и с ним, ну как то так)) Ссылка на комментарий
kamranchick Опубликовано 8 апреля, 2019 Автор Поделиться Опубликовано 8 апреля, 2019 Пятый Без пина шаблон не держался? держался) но сделали на всякий случай) Ссылка на комментарий
kamranchick Опубликовано 8 апреля, 2019 Автор Поделиться Опубликовано 8 апреля, 2019 А 12- на винтовой?ага Ссылка на комментарий
pit Опубликовано 9 апреля, 2019 Поделиться Опубликовано 9 апреля, 2019 ТакУважаемый Петр) начнем по порядку1. пациентка отказалась от нее, как только не уговаривал ее, просто танцы с бубном были)2. после удаления клыка сразу ушел хиленький резец, делать мост 14-21-22 как то страшновато было из-за протяженности дефекта3. 1.4 зуб жалко было удалять, зачем удалять еще один зуб если так и так 2 имплантата, ну как вариант можно было бы, было бы легче позиционировать имлпнтататы4. в позиции 1.1 был большой резцовый канал, не захотелось проводить какие то манипуляции вокруг него и с ним, ну как то так))Поняно По пункту 4, если формировались лоскуты, почему бы не убрать содержимое резцового канала и не использовать позицию 11з? Ведь, с точки зрения эстетики, позиция 11 з выгоднее. Между двумя рядом стоящими имплантами сосочка никогда не будет. Ссылка на комментарий
Дмитрий М Опубликовано 9 апреля, 2019 Поделиться Опубликовано 9 апреля, 2019 kamranchick11з консоль, или это единая конструкция? Ссылка на комментарий
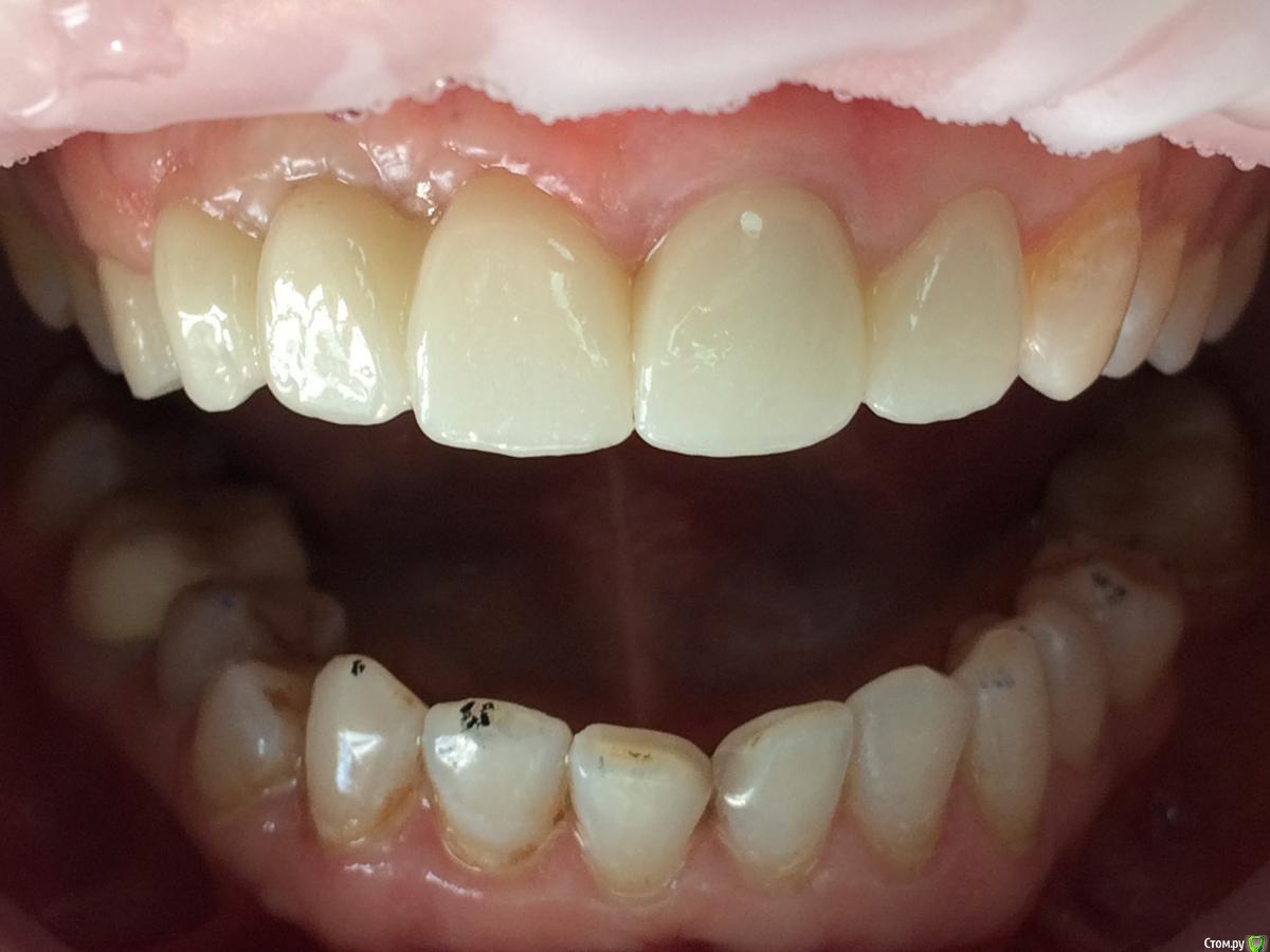
kamranchick Опубликовано 9 апреля, 2019 Автор Поделиться Опубликовано 9 апреля, 2019 kamranchick11з консоль, или это единая конструкция?13-12 с консолью на 11 Ссылка на комментарий
kamranchick Опубликовано 9 апреля, 2019 Автор Поделиться Опубликовано 9 апреля, 2019 Поняно По пункту 4, если формировались лоскуты, почему бы не убрать содержимое резцового канала и не использовать позицию 11з? Ведь, с точки зрения эстетики, позиция 11 з выгоднее. Между двумя рядом стоящими имплантами сосочка никогда не будет.Да можно было быНаверное из за нехватки опыта работы с резцовым каналомОдин раз делал Ну и мнения расходятсяКто то говорит что пациенты теряют частично чувствительность, кто то говорит что все нормально... взвесив все на чаше весов, решили канал не трогать Ссылка на комментарий
Smileee Опубликовано 9 апреля, 2019 Поделиться Опубликовано 9 апреля, 2019 Поняно По пункту 4, если формировались лоскуты, почему бы не убрать содержимое резцового канала и не использовать позицию 11з? Ведь, с точки зрения эстетики, позиция 11 з выгоднее. Между двумя рядом стоящими имплантами сосочка никогда не будет.То есть откюретажить нерв и сосуды? Это никак не повлияет на фронтальную область верхней челюсти (питание, иннервация)? Ссылка на комментарий
pit Опубликовано 10 апреля, 2019 Поделиться Опубликовано 10 апреля, 2019 Да можно было быНаверное из за нехватки опыта работы с резцовым каналомОдин раз делалНу и мнения расходятсяКто то говорит что пациенты теряют частично чувствительность, кто то говорит что все нормально... взвесив все на чаше весов, решили канал не трогатьпонял. Все проблемы с резцовым нервом возникают при его сдавлении. При полном удалении бывают незначительные участки ( очень маленькие по площади) выпадения чувствительности, но пациенты их не замечают Ссылка на комментарий
pit Опубликовано 10 апреля, 2019 Поделиться Опубликовано 10 апреля, 2019 То есть откюретажить нерв и сосуды? Это никак не повлияет на фронтальную область верхней челюсти (питание, иннервация)?да Ссылка на комментарий
kamranchick Опубликовано 11 апреля, 2019 Автор Поделиться Опубликовано 11 апреля, 2019 Рекол 6 месяцев Ссылка на комментарий
Рекомендуемые сообщения
Для публикации сообщений создайте учётную запись или авторизуйтесь
Вы должны быть пользователем, чтобы оставить комментарий
Создать аккаунт
Зарегистрируйте новый аккаунт в нашем сообществе. Это очень просто!
Регистрация нового пользователяВойти
Уже есть аккаунт? Войти в систему.
Войти