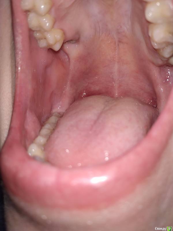
Инна1232 Опубликовано 4 апреля, 2019 Поделиться Опубликовано 4 апреля, 2019 Здравствуйте! Может ли зуб мудрости вырости в этом месте? На фото беспокоящаяся область обведена, и фото без обработки. Болит периодически, отдает в лимфоузлы и горло, боль ноющая. При прощупывании мягкая ткань сверху движется, а внутри что-то твердое, очень твердое похожее на кость. Но место для зуба мудрости не свойственное. И вот что это, зуб мудрости или опухоль? Что это такое может быть, если на противоположной стороне такого нету. Подскажите пожалуйста, очень переживаю. К врачу ближайшее время не смогу сходить, так как в городе только через неделю буду, изведусь вся ( ( Ссылка на комментарий
___49___ Опубликовано 4 апреля, 2019 Поделиться Опубликовано 4 апреля, 2019 Доброго, не могли бы вы более конкретно описать сроки появления. 1 Ссылка на комментарий
Инна1232 Опубликовано 4 апреля, 2019 Автор Поделиться Опубликовано 4 апреля, 2019 (изменено) Доброго, не могли бы вы более конкретно описать сроки появления.То, на что вы указываете- уже года 2, не беспокоит. Походу 7 зуб (считала от центрального), большая его часть под капюшоном и немного торчит со стороны щеки. Беспокоит только шишка обведенная кругом. Изменено 4 апреля, 2019 пользователем Инна1232 Ссылка на комментарий
___49___ Опубликовано 4 апреля, 2019 Поделиться Опубликовано 4 апреля, 2019 Думаю что без объективных данных мы с Вами не обойдемся - снимок ( лучше КТ данной области ) . В том месте где вы указываете анатомически расположен костный отросток , и он не всегда симметричен левой стороне ( как в принципе все в человеке не симметрично) и может находиться чуть "глубже" или же наоборот "выступать " сильнее отростка с противоположной стороны. 1 Ссылка на комментарий
Инна1232 Опубликовано 4 апреля, 2019 Автор Поделиться Опубликовано 4 апреля, 2019 Думаю что без объективных данных мы с Вами не обойдемся - снимок ( лучше КТ данной области ) . В том месте где вы указываете анатомически расположен костный отросток , и он не всегда симметричен левой стороне ( как в принципе все в человеке не симметрично) и может находиться чуть "глубже" или же наоборот "выступать " сильнее отростка с противоположной стороны. Благодарю Вас за ответ! Через неделю только смогу это все сделать, как приеду. То есть можно не беспокоится насчет того что это рак? И со спокойной душой идти к стоматологу? Ссылка на комментарий
___49___ Опубликовано 4 апреля, 2019 Поделиться Опубликовано 4 апреля, 2019 Благодарю Вас за ответ! Через неделю только смогу это все сделать, как приеду. То есть можно не беспокоится насчет того что это рак? И со спокойной душой идти к стоматологу? Рак это заболевание , диагноз которого можно выставить на основании гистологического ( цитологического) исследования. В том кружке, что вы обвели на фотографии нет признаков изменения слизистой характерных для злокачественных образований определяемых Макроскопически( на сколько естественно позволяет разгядеть разрешение фото) под слизистый слой я прощупать не могу, КТ у вас нет , состояние 7ки и 8ки мы не знаем .....слишко много неизвестных.. Начать Вам стоит именно с очного приема у стоматолога хирурга. 4 Ссылка на комментарий
Инна1232 Опубликовано 4 апреля, 2019 Автор Поделиться Опубликовано 4 апреля, 2019 Рак это заболевание , диагноз которого можно выставить на основании гистологического ( цитологического) исследования. В том кружке, что вы обвели на фотографии нет признаков изменения слизистой характерных для злокачественных образований определяемых Макроскопически( на сколько естественно позволяет разгядеть разрешение фото) под слизистый слой я прощупать не могу, КТ у вас нет , состояние 7ки и 8ки мы не знаем .....слишко много неизвестных.. Начать Вам стоит именно с очного приема у стоматолога хирурга.Спасибо Вам огромное за помощь! 2 Ссылка на комментарий
Рекомендуемые сообщения
Для публикации сообщений создайте учётную запись или авторизуйтесь
Вы должны быть пользователем, чтобы оставить комментарий
Создать аккаунт
Зарегистрируйте новый аккаунт в нашем сообществе. Это очень просто!
Регистрация нового пользователяВойти
Уже есть аккаунт? Войти в систему.
Войти