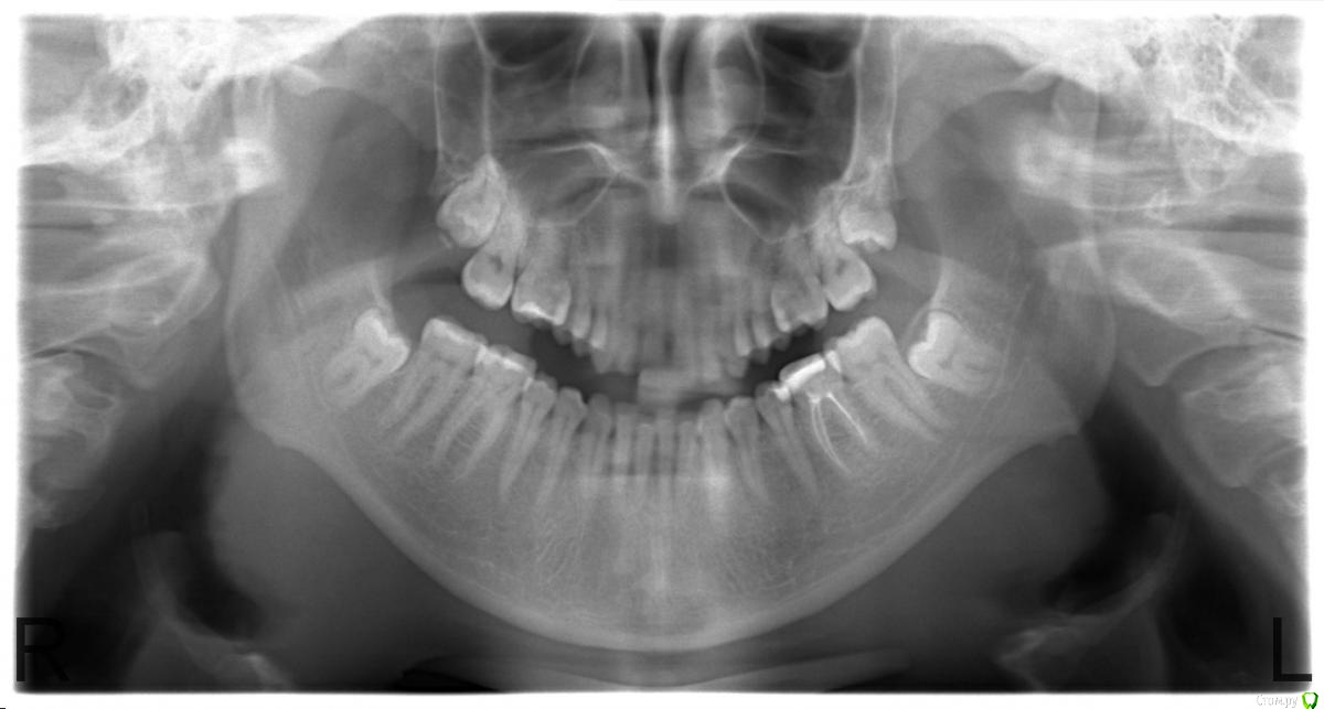
Katerina2019 Опубликовано 4 апреля, 2019 Поделиться Опубликовано 4 апреля, 2019 Здравствуйте !Побывала в двух клиниках с жалобой на частую (раз в 3-4 месяца) ноющую боль в области нижних зубов мудрости. В одной мне сказали, что удалить все 4 зуба мудрости можно относительно легко, и "только после этого можно будет поставить каппы/брекеты, т.к. сейчас из-за зубов мудрости остальные зубы сдвинуты друг к другу а после удаления 8-ок могут поменять свое положение". Во второй - что с одной стороны (слева на снимке) это очнеь трудно, а с другой стороны (справа на снимке) это невозможно, цитирую: "зубы сидят глубоко, и хирург может задеть челюстной нерв в нижней челюсти, т.к. неясно где точно он проходит. в результате чего могут быть проблемы с мимикой в дальнейшем. рекомендуем оставить все как есть. вам уже 30 лет, зубы мудрости не будут расти раз до исх пор ни один не показался из десны". Нижние зубы продолжают иногда ныть, в области 7 зуба(слева на снимке)дважды ставилась пломба, сейчас чувствую им холодное и кислое, но в двух клиниках сказали что не видят там под пломбой кариеса, только "кариозное пятно". Планирую на днях сделать КТ для полной картины, но пока решила написать сюда т.к. есть панорамный снимок. Ссылка на комментарий
red_butler Опубликовано 4 апреля, 2019 Поделиться Опубликовано 4 апреля, 2019 Все четыре удалять, для квалифицированного хирурга удаление не представляет сложности 1 Ссылка на комментарий
___49___ Опубликовано 5 апреля, 2019 Поделиться Опубликовано 5 апреля, 2019 Коллега абсолютно прав , ищите того доктора для которого такие зубы обычная рутина. Ссылка на комментарий
Katerina2019 Опубликовано 11 апреля, 2019 Автор Поделиться Опубликовано 11 апреля, 2019 Спасибо всем! Ссылка на комментарий
Рекомендуемые сообщения
Для публикации сообщений создайте учётную запись или авторизуйтесь
Вы должны быть пользователем, чтобы оставить комментарий
Создать аккаунт
Зарегистрируйте новый аккаунт в нашем сообществе. Это очень просто!
Регистрация нового пользователяВойти
Уже есть аккаунт? Войти в систему.
Войти