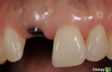
Ирина-Максимова Опубликовано 2 апреля, 2019 Поделиться Опубликовано 2 апреля, 2019 Протезировала передний зуб, вставляли мне титановый имплант. Имплант долго не приживался. Были воспаления, температура и боль, месяц сидела на антибиотиках. А потом воспаление прошло. По итогу очень довольна тем, как смотрится мой зуб. И тут простыла сильно, начали болеть все зубы, в том числе и новый. Я запаниковала, может ли у импланта быть отторжение уже спустя 4 месяца после установки? Выглядит вроде здоровым. Ссылка на комментарий
red_butler Опубликовано 2 апреля, 2019 Поделиться Опубликовано 2 апреля, 2019 Здравствуйте, как дышит нос?И покажите rg 1 Ссылка на комментарий
Рекомендуемые сообщения
Для публикации сообщений создайте учётную запись или авторизуйтесь
Вы должны быть пользователем, чтобы оставить комментарий
Создать аккаунт
Зарегистрируйте новый аккаунт в нашем сообществе. Это очень просто!
Регистрация нового пользователяВойти
Уже есть аккаунт? Войти в систему.
Войти